据《太阳报》当地时间2020年2月5日报道,一名意大利女子,因患上了一种非常罕见的疾,导致她牙龈中长出了睫毛状的毛发,后立即被送往医院。

据悉,这位不愿透露姓名的女士19岁时第一次出现这种症状。当时,她被诊断为多囊卵巢综合征(PCOS)——一种由体内性激素水平失衡引起的疾病。多囊卵巢综合征可导致毛发过度生长。

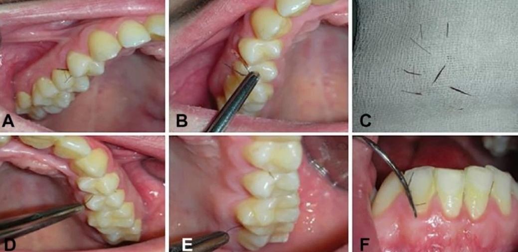
当时医生对患者进行了口腔手术,清除了牙龈上的汗毛,并让她服用避孕药来帮助调节激素水平。
然而,6年后,25岁的她又因停止服用处方避孕药回到了同一家诊所。医生发现她的下巴和脖子上也长出了多余的毛发,牙龈上还出现了“睫毛状”的棕色毛发。

这名女子再次接受了口腔手术,摘除了毛发。
但一年后病情只增不减,她的牙龈上长出了更多的毛发。医生再次替她去除了头发,还是那个*毛老**病,头发异常生长是由于多囊卵巢综合征引起的荷尔蒙失衡。

在2月份的《口腔外科、口腔医学、口腔病理学和口腔放射学》(Oral Surgery, Oral Medicine, Oral Pathology and Oral Radiology)杂志上,他们指出,头发重新生长是因为该女子停服了避孕药。

那么嘴巴里怎么能长出毛发呢?那是由于口腔内有皮脂腺,皮脂腺是皮肤上的腺体,分泌一种油性物质,通常环绕在毛囊周围,所以牙龈组织能够长出毛发。

福贾(Foggia)大学的临床牙科研究员赫里斯蒂纳·茹拉基夫斯卡(Khrystyna Zhurakivska)博士告诉记者,多囊暖巢综合征目前还没有治愈的方法,所以这名妇女仍然面临着病情反复的风险。但不可否认持续使用激素避孕药确实能够减轻她的症状。
图片来源:《太阳报》,必应