视频加载中...
“26年前,我就是在盐城市第三人民医院心胸外科做的手术,现在我还是相信你们!”日前,市三院胸外科团队成功救治了一位特殊的病人刘阿姨,完成了一次两代胸科人跨越26年的手术“接力”。

(患者刘阿姨和妹妹)
1994年,当时年仅30岁的刘阿姨因胸闷心悸,夜间不能平卧,从老家阜宁县前往盐城市三院住院接受治疗,被诊断为风湿性心脏病,二尖瓣重度狭窄。当时接诊她的是张霖主任医师,经过周密计划和准备,张主任主刀为刘阿姨施行了经心尖的二尖瓣扩张术。术后刘女士的症状得到了很大的缓解,而对于风湿性心脏病二尖瓣狭窄患者来讲,二尖瓣的扩张仅为姑息性手术,一般5-8年一定会复发。张霖主任当时即对刘女士讲,随着现代医学的进步,到时候一定会有新的技术帮你彻底解决心脏瓣膜的问题。

(26年前的病案首页)
时间一晃过去了26年。不久前,刘阿姨再次出现胸闷心悸,无法平卧,当地医院心超提示二尖瓣重度狭窄,瓣口的面积仅为正常人的十分之一大小,左心房直径达100mm,而正常人的左心房仅30mm左右。于是她在第一时间想到前来盐城市第三人民医院就诊。“对于当年那场手术,我一直感激至今,26年来能拥有那么好的生活质量,全要归功于专家的妙手仁术。”这一次,刘阿姨依旧相信新一代医生能够给她最优的医疗救治。

(刘阿姨和女儿在一起)
心胸外科副主任医师施展表示,刘阿姨目前心脏明显扩大,大小超过正常人的三倍,几乎达到了牛心脏的大小,胸腔都快被心脏填满了,这是病情恶化的重要表现,目前手术势在必行,再加上患者有过开胸手术史,心包容易存在致密粘连,无疑增加了手术难度。
胸外科手术团队随即组织了多学科“头脑风暴”,进行了周密的术前讨论,并于6月23日进行手术二尖瓣置换+三尖瓣成形手术。肩负着患者的信任与期待,张亚军院长的手术团队与袁从虎主任率领的麻醉体外灌注团队共同配合开始了手术,有着2000例心脏手术经验的张院长凭借对手术理念的精准认识和高超娴熟的手法,耗时三个半小时,顺利完成。术后,刘阿姨转入监护病房继续治疗,因患者病程长,病情重,术后循环一度不稳定,重症医学科张国培主任团队为其精确调整血管活*药性**物的使用量,确保血压循环的稳定。术后两天,刘阿姨顺利转入普通病房进行康复治疗,目前已顺利出院。

(团队手术中)

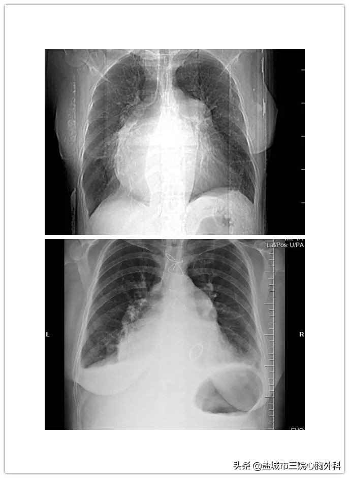
(上图为术前胸片,下图为术后胸片,心脏已基本恢复正常大小)

(术后的刘阿姨和女儿)
26年时光流转,从青年到中年,刘阿姨很欣慰,“我经历了人生两场重要的手术,也见证了两代优秀医生薪火相传、医术延续的传奇。”因刘阿姨出院后就回老家县城休养,市三院副院长、心胸外科主任医师宋建祥还指导她加入了心胸外科的瓣友俱乐部的微信群,通过这种形式随时可以得到心胸外科专家的专业指导,方便术后的随访。

“一生济世情,几代行医人”,经历70余年的岁月峥嵘,盐城市三院正昂首阔步、日夜兼程地努力向前发展着。有了医院的发展,才会有科室的发展,作为医院一份子,市三院心胸外科从无到有,从小到大,技术力量日益雄厚,诊治水平不断提高,目前已经成为盐城首个省重点专科,而不变的是心胸外科人始终孜孜不倦耕耘在属于自己的那一片净土:“接力”行医,守护健康。