

金秋十月,来自河北的王某,终于可以堂堂正正的走出门头沟区医院了。想想这十几年的痛苦和花费,早知道可以这么容易的解决,真应该早点手术,这是王某的感慨:“ 早知道这么容易,我早来手术啦!扛了这么多年,多受了多少罪、多花多少钱呀! ”
王某来自农村,家里活重,不知不觉中,这腰就歪了,总是倾着身子、提着跨走路。无奈,家里上有老下有小,作为家里的掌柜,只能硬扛,疼的受不了就到处寻偏方,可最后,钱花了不少,罪也没少受,但根本问题却没解决。眼瞧着步入了老年,家里的事可以放放了,可自己这点苦楚却没人能替代。
早就知道腰椎有问题,可就是不敢去做手术,前两年家里搬迁,本想去手术,但隔壁邻居在当地医院反复做了四次腰椎手术,最后,还是瘫在炕上了,而且,每天疼的直叫,这让患者心里忐忑的要命,一直没敢手术。
这次听说*警武**总医院的大夫来门头沟区医院了,患者经过再三考虑,还是决定“试一把”,来门头沟区医院的脊柱中心(骨二科)进行手术,年岁大了,再不手术,怕以后也不好治疗了。而且,天天疼,这生活质量也不高啊。
“年岁大了,再不手术,怕以后也不好治疗了!而且,这天天疼真是受不了!”
经匡正达主任诊治后,发现患者有先天性腰椎骶化,极易误诊,如果间隙做错了,那后果不堪设想。又考虑到患者要干农活,如果单纯椎管减压,有术后不稳的可能,而且患者长期生理性脊柱侧弯,综合考虑,最终决定为患者实施腰椎管减压的同时,进行椎间植骨融合钉棒内固定术。

手术于2021年9月26日顺利实施。术后,患者十几年来的下肢麻木疼痛和跛行终于消失了! 可以堂堂正正的走路,让王某一下显得年轻了十几岁!

腰椎正位平片-术前

腰34椎间盘--术前CT

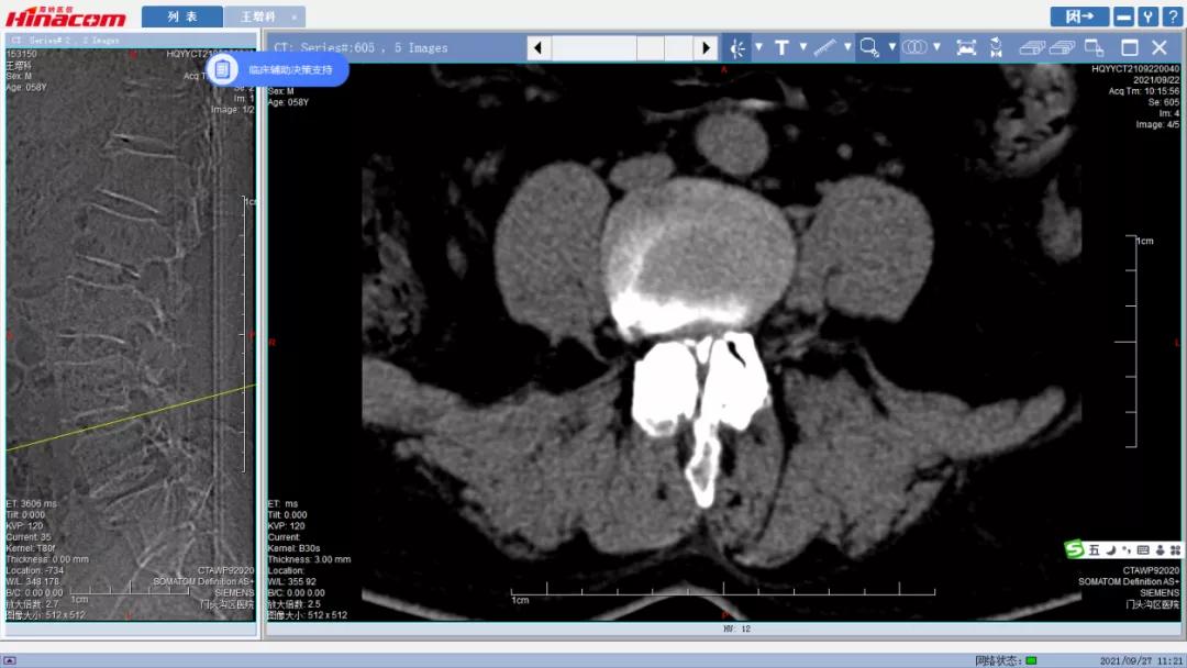
腰45椎间盘--术前CT
腰椎管矢状面--术前MRI

腰34椎管水平面--术前MRI

腰45椎管水平面--术前MRI

正常腰椎管水平面--术前MRI






供稿:脊柱中心(骨二科)
编辑:宣传中心