做为一个神经外科介入医生,最大的目标是:如何让病人最大获益,在当前的医疗环境下,以最少的费用,最小的创伤,让病人获得最佳的效果。
最近闹的沸沸扬扬的中兴通讯事件给了中国惨痛教训,经此一役,中国企业都需要反思自身到底安不安全、在多大程度上受制于人。然后迅速行动起来,加强研发,尽快掌握核心技术,将命运掌握在自己手里。在医疗方面同样适用,做为国人,就是要支持国货,做为介入医生,就是要在不影响效果的情况下,尽量使用国产介入器材。今天这个病例就是使用国产维心的弹簧圈,费用节约近50%,同样取得了满意的效果。
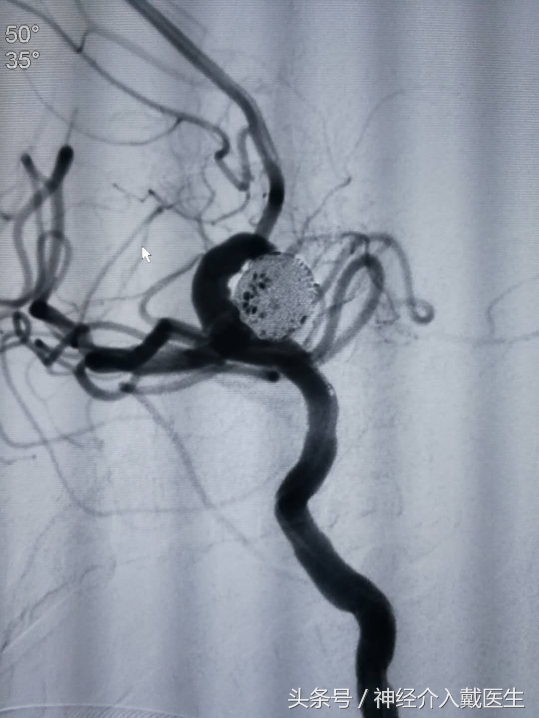
这是一个大型的颈内动脉海绵窦动脉瘤。治疗过程并不复杂。
刘某某,女,48岁。因右侧颈部异常跳动,加重伴视物模糊2年入院,头部核磁共振血管成像提示右侧颈内动脉动脉瘤。

脑血管造影进一步明确右侧颈内动脉海绵窦大型动脉瘤,直径超过10mm,

正位2D图像

3D图像显示瘤体,瘤颈,载瘤动脉关系,长度。
颅内动脉瘤治疗的理想方法有很多,包括开颅夹闭术,介入栓塞术。
采用开颅夹闭手术治疗动脉瘤是比较理想的治疗方法,但海绵窦动脉瘤位于颅底,动脉瘤暴露困难,重塑瘤颈难度大,颅神经损伤并发症发生率极高,手术难度高、创伤大,并发症发生率高。
介入治疗可以选用:1.血流导向装置Pipeline或者其他的,但是费用贵,一个支架需要十八万左右,2.这个动脉瘤是个相对宽颈动脉瘤,本身瘤颈比瘤体要狭窄,但是瘤颈比载瘤动脉要宽许多,因此我们考虑用稍大一点大弹簧圈裸栓,做普通支架准备。
选好工作位置

第一个弹簧圈用的的EV3的3D成篮弹簧圈,Axium_3D,12mm*40cm,成篮弹簧圈的效果,成篮满意。

依次选择国产维心弹簧圈,10mm*30cm,9mm*30cm,7mm*30cm*2个,6mm*20cm后造影效果,载瘤动脉通畅。

释放收尾弹簧圈效果。

正位像

侧位像

工作位显示载瘤动脉通畅,瘤颈填塞满意
本例病人,用稍大的相当于18系弹簧圈成篮,有利于填塞瘤颈,因为粗的弹簧圈张力较高,虽然不利于术者的操作,但是有利于弹簧圈稳定在动脉瘤内,即使裸栓也不易逃逸到载瘤动脉,有效的减少并发症的发生。
在填塞过程中使用较多的国产弹簧圈,大大的降低了治疗费用,降低了病人的经济负担,操作过程中,国产弹簧圈与进口弹簧圈的手感并无明显不同,只有弹簧圈的解脱稍微复杂一点点,也是比较简单的。
颈内动脉海绵窦段是颈内动脉进入颅内处的外侧环至近侧环之间的一段颈内动脉,长度约3cm。发生于此段的动脉瘤称为颈内动脉海绵窦段动脉瘤。其发生率约占所有颅内动脉瘤的2%-9%。动脉瘤形成的原因有:①先天发育性;②外伤性,颅底骨折或经蝶窦垂体瘤切除时损伤动脉壁;③动脉硬化性;④感染性,如海绵窦炎等破坏了动脉壁而形成,如果不治疗,这些动脉瘤将不断生长并导致占位效应,压迫周围神经组织。进行性神经功能缺损的发生和死亡率较高。类固醇药物可能减轻由水肿引起的占位效应,减轻炎症反应。
由于海绵窦的解剖关系复杂,外面有硬脑膜保护,因此对于发生于这一部位的颈内动脉瘤在治疗上有直接手术、血管内治疗和观察等,应针对病人的具体情况决定处理方法。
颅内巨大型动脉瘤是一类极其复杂的动脉瘤,可导致破裂出血、血栓栓塞和(或)产生占位效应,对于此类动脉瘤的治疗需达到预防出血、防止血栓栓塞及解除占位效应3个目的。
采用开颅动脉瘤夹闭及高血运搭桥后闭塞载瘤动脉是此类动脉瘤曾经理想的治疗方法,但动脉瘤位于颅底,手术难度高、创伤大,并发症发生率高。随着介入技术的发展,微创血管内介入治疗正逐渐成为此类动脉瘤的主要治疗手段。
覆膜支架治疗是海绵窦段巨大动脉瘤的另一选择。但目前的颅内专用覆膜支架,均为球扩支架,顺应性较差,通过弯曲的颅内血管较为困难,同时还面临载瘤动脉慢性闭塞、海绵窦段眼动脉等分支受累、内漏等问题。
血流导向装置即密网孔支架,为自膨胀支架,它可以改善动脉瘤局部的血流动力学促进动脉瘤愈合,彻底消除动脉瘤,解除占位效应。同时,由于载瘤动脉与分支血管之间“压力差”的存在,分支血管常能在术后保持长期通畅。目前国际上应用较多的血流导向装置主要有Pipeline, Silk和Surpass共3种,第二军医大学附属长海医院结合前期采用多支架治疗动脉瘤的临床经验,在血流动力学研究的基础上,与上海微创公司联合于2010年研制出了具有自主知识产权的新型血流导向装置—Tubridge,血流导向装置也逐渐成为颅内巨大型动脉瘤治疗的首选方法。
支架辅助弹簧圈栓塞时,海绵窦段巨大动脉瘤因其瘤体巨大,瘤颈常成为载瘤动脉的一部分,支架微导管在瘤颈处缺乏很好的支撑,往往导致动脉瘤远端载瘤动脉的超选困难。如遇到此类情况,使用瘤内成撑技术寻找动脉瘤远端载瘤动脉,而后使用交换技术使得支架微导管到达远端;亦可先行弹簧圈部分填塞后以辅助微导丝、微导管超选远端动脉。