一、什么是颈椎生理曲度?
在出生后,人体为了适应地球引力,脊柱在生长发育过程中会逐步形成四个生理弯曲:颈曲、腰曲向前凸,胸曲,骶曲向后凸,颈椎向前凸的弧度即颈椎的正常生理曲度。生理弯曲形成的意义在于可以减缓人体在跑、跳过程中对脑和内部脏器的震荡与冲击,类似汽车减震装置所起到的作用。

四个生理弯曲:颈曲、腰曲向前凸,胸曲,骶曲向后凸
二、什么是颈椎生理曲度变直、反曲?
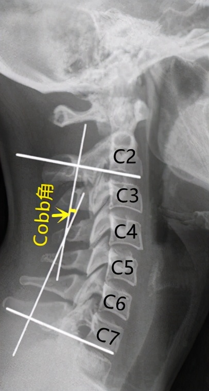
当我们颈肩疼痛不适到脊柱外科门诊拍X线片时,影像报告中有时会提到“颈椎变直”、“颈椎反曲”,往往会引起人们困惑。在颈椎X线侧位片上,颈2与颈7椎体下缘垂线的交角(Cobb角)正常约-10°左右。

颈椎侧位X线Cobb角的测量方法,正常曲度时Cobb角为负值,约-10°左右
当Cobb角接近0°时,反映我们的颈椎生理前凸基本消失,颈椎呈现一条变直,即发生了颈椎生理曲度变直;当Cobb角大于0°时,表明颈椎曲度发生了反转,由前凸变为后凸,即发生了颈椎反曲。

本患者为19岁电脑资深玩家,颈椎发生反曲(绿线示意正常生理曲度),Cobb角由正常的负值变为正值,约25°
三、颈椎生理曲度消失带来的危害
当长时间不正确的坐姿、久坐低头、颈椎缺少活动等,就会导致颈椎生理曲度变直或反曲。颈椎生理曲度消失除了引起形体美观问题暂且不提,最常见的危害是项背部肌肉的僵硬、疼痛。

不良坐姿
我们的颈椎是由许多肌肉群支持,从而保持颈部的姿势及完成颈部各种活动,这些肌肉群好比维持一座吊桥稳定的坚固绳索,一旦绳索老化失去坚固,吊桥也就变得摇摆不稳。
我们的颈椎生物力学也符合弓弦原理,颈椎如果是弓箭的弓,项背部肌肉即箭弦,如果弓变直或反折,箭弦张力必然持续增加,此时我们的颈后肌肉群容易发生劳损及慢性炎症,从而出现一系列项背部僵硬、疼痛等不适症状。

颈椎的弓弦效应
四、出现了颈椎变直、反曲怎么办?
一旦发生颈椎曲度变直或反曲可能会给我们的健康生活带来困扰,症状可能会反反复复。不过早期发现的颈椎曲度变直与反曲是可以纠正的!如今网络资讯发达,但要仔细甄别,切莫自行乱用方法!

本图源于网络,未经科学验证,有风险,切勿模仿!

本图源于网络,未经科学验证,有风险,切勿模仿!

本图源于网络,未经科学验证,有风险,切勿模仿!
科学恢复颈椎生理曲度的方法有很多,在此处简单介绍二三。希望大家通过选用适合自己的科学方法并做到坚持,颈椎曲度及疼痛症状可以得到明显改善。
1、保持良好的姿势:避免久坐与长时间低头!现代社会我们完全脱离电脑与手机未必现实,在使用过程中要注意尽量减少使用时间,同时注意保持正确的姿势。

抬起手机,保持平视或略仰视,注意减少不必要的手机使用时间!

使用电脑时,抬高显示器或放低座椅,使颈部放松维持于生理曲度(示范者@脊柱小白)
2、选用合适的枕头:人的一生有1/3的时间都在睡眠,因此陪伴我们一起睡觉时间最久的不一定是家人,反而是一个小小的枕头。枕头虽小,学问很大,选择一个合适的枕头可以带来良好的睡眠及健康的颈椎曲度,反之则为颈椎健康带来隐患。
枕头过高与过低、甚至不枕枕头睡觉都是错误的!研究表明高度10cm左右的枕头对颈椎的生理曲度最有利,睡觉时要保持脖子下面枕实,不要悬空,这样颈后肌肉群才能得到放松。枕头的材质宜选择中等硬度,不要过硬与过软,坊间传闻的在脖子后面枕啤酒瓶睡觉的方法更是错误的,可能导致肌肉损伤。

正确的睡姿应保持颈椎处于中立位,颈椎既不屈曲也不后伸,维持一个良好的颈椎生理曲度才能带来舒适的睡眠
3、积极的主动功能锻炼:虽然被动的接受颈椎牵引对颈椎曲度恢复也有利,但不如积极主动的去锻炼。下面几个动作可以帮助我们改善颈椎生理曲度与减轻项背部疼痛(温馨提示:以下方法不适用于颈椎外伤或伴颈椎失稳及病理性病变者,锻炼前请前往脊柱外科门诊咨询!):

弹力带置于枕后,颈椎后伸对抗弹力带

俯卧位收下颌,后伸轻度抬高上半身,保持后群肌肉一定紧张度,坚持5-10秒钟

仰卧位抬头收下巴,保持头部抬高1—2公分,坚持30秒

直立收拢下巴,在无痛范围内抬起头部坚持3秒(A);在无痛范围内拉肩伸直脖子坚持10秒(B)。每天至少重复10次
参考文献:
[1] Lee MY, Jeon H, Choi JS, Park Y, Ryu JS. Efficacy of Modified Cervical and Shoulder Retraction Exercise in Patients With Loss of Cervical Lordosis and Neck Pain. Ann Rehabil Med. 2020 Jun;44(3):210-217.
[2] Hyung Cheol Kim, Hyo Sub Jun, Ji Hee Kim,et al:The Effect of Different Pillow Heights on the Parameters of Cervicothoracic Spine Segments. Korean J Spine,2015,12(3):135-138.
[3] 《克利夫兰颈椎锻炼手册》
[4] 《Neck Pain Strength Exercises》

声明:
本资讯基于国内外最新循证医学研究,旨在学术、科普传播、饶益大众,非医疗实践之唯一准则;本资讯内容不应用作医疗纠纷判定的依据;本资讯所涉及内容不承担任何依据本资讯制定及履行过程中所产生任何损失的赔偿责任。