病理诊断通常是以疾病诊断为目的,以从病人体内获取的器官、组织、细胞或体液为对象,包含了尸体剖检、外科病理学和细胞学。病理诊断首先通过肉眼观察所取样本的大体的改变即巨检,如病变颜色、形状等,再经过取材、固定、脱水、浸蜡、包埋、染色做成病理切片,由病理医生通过显微镜下观察做出诊断。

一、病理学从哪儿来?有哪些分支?
病理学是在人类探索和认识疾病的过程中应运而生的。病理的发展与自然科学特别是基础科学的发展和技术进步有着密切的联系。18世纪中叶,由于自然科学的兴起,促进了医学的进步,意大利医学家Morgagni(1682-1771)根据积累的尸检材料创立了器官病理学,标志着病理形态学的开端。约一个世纪以后的19世纪中叶,德国病理学家Virchow(1821~1902)在显微镜的帮助下,首创了组织病理学。1838年,Miiller首先描述了从肿瘤组织取下细胞的光学显微镜下的形态变化。1847年,Pouehet用阴道细胞涂片观察月经周期细胞学改变。1860年,Beale从咽喉癌患者痰液中发现了癌细胞。1928年,Papanicolaou用阴道细胞涂片诊断宫颈癌、创建巴氏染色法并在1954年编著了《脱落细胞学图谱》,使细胞病理学成为一门学科。1974年J. Zajcek将针吸细胞学拓展入细胞病理学诊断。1961年L.G.Koss的《诊断细胞学及其病理基础》一书,标志着细胞病理学成为病理学的一个重要分支。20世纪电子显微镜的问世,发展出了超微病理学。免疫组织化学促进了免疫病理学的形成。分子生物学带动了分子病理学的兴起。计算机及网络的出现与运用,使病理学走向了信息病理学时代。

二、病理诊断的优势是什么?
病理诊断是通过观测器官的大体(肉眼)改变、镜下观察组织结构和细胞病变特征而做出的疾病诊断,因此比临床上根据病史、症状和体征等做出的分析性诊断(常有多个诊断或可能性诊断)以及利用各种影像(如超声波、X射线、CT、核磁共振等)所做出的诊断更具有客观性和准确性,被视为带有“宣判”性质的诊断。病理诊断是肿瘤诊断的主要方法,是肿瘤诊断的金标准,具有很强的权威性。

三、甲状腺常用的病理诊断方法有哪些?
甲状腺常用病理诊断主要分为三大类,术前、术中和术后病理诊断。
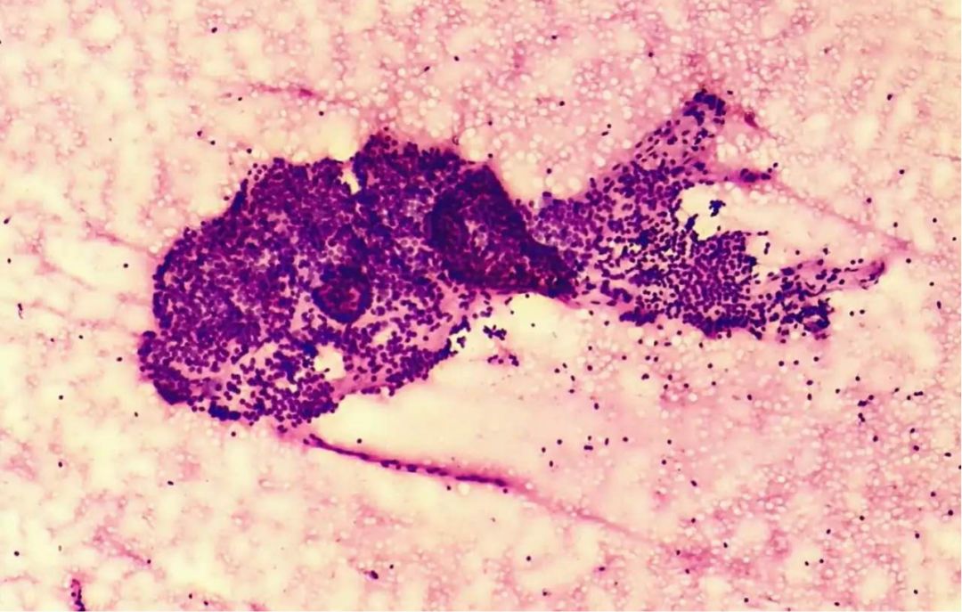
1.术前病理诊断可根据获取对象的不同,分为甲状腺细针穿刺细胞学诊断和甲状腺粗针穿刺组织学诊断两大类,其中甲状腺细针穿刺细胞学检查经济、实用,操作性强,被欧美、日本等国家常规应用于甲状腺结节的术前诊断,可有效避免对良性结节进行诊断性手术。

甲状腺穿刺细胞学涂片(HE染色)
2.手术中快速活体组织病理学检查是临床医师在实施手术过程中,就影响手术方案的诊断问题与病理医师快速进行的急会诊。它是一种高技术、高难度、高风险的项目,是临床病理实践中最重要且最难的一项工作。快速活检要求病理医师在很短时间内(通常为30min内),根据对切除标本的巨检和组织块快速冷冻切片(或快速石蜡切片)的观察,向手术医师提供的参考性病理诊断意见。与常规石蜡切片的病理诊断相比,快速活检会诊具有更多的局限性和误诊的可能性。有的病例难以快速诊断,需要等待常规石蜡切片进一步明确诊断。由于冷冻病理检查解释为法规所列的有风险的特殊医疗检查,患者有权知道自己可能面临的情况,有权接受或拒绝检查(可采用其他方法替代)。欧美日等国家采用术前甲状腺细针穿刺细胞学诊断取代手术中快速活体组织病理学检查。

3.常规病理报告是指手术完成后,将从患者体内取下的组织经过固定、取材、脱水、包埋、切片等步骤后,根据疾病情况通过HE染色、特殊染色、免疫组织化学、荧光原位杂交、分子检测等技术对疾病进行确诊。其中常规病理是最准确的诊断,无论术前诊断、细针穿刺诊断及冰冻病理诊断如何,都需要以术后常规病理报告为准。术后病理诊断可以判断肿瘤的类型、大小、转移情况以及影响肿瘤预后的因素。

参考文献:
1. Lloyd RV, Osamura RY, Klöppel G, et al. WHO Classification of Tumours: Pathology and Genetics of Tumours of Endocrine Organs,4th edn. Lyon: IARC, 2017
2. 刘志艳,Kakudo K, Hirokawa M。甲状腺细针穿刺细胞学诊断与陷阱。北京:科学出版社,2018
3. Cibas ES, Ali SZ. The 2017 Bethesda System for Reporting Thyroid Cytopathology[J]. Thyroid, 2017, 27(11): 1341-1346. doi: 10.1089/thy.2017.0500
4. Kakudo K, Bychkov A, Bai Y, Li Y, Liu Z, Jung CK. The new 4th edition World Health Organization classification for thyroid tumors, Asian perspectives. Pathol Int. 2018;68(12):641-664
5. 刘志艳, 周庚寅, Kakudo Kennichi, 等. 2017版WHO甲状腺肿瘤分类解读。中华病理学杂志,2018,47(4):302-306.
6. 张晓芳, 刘志艳. 2018版甲状腺细针穿刺活检细胞病理学Bethesda报告系统解读. 中华病理学杂志,2018(9):729-732

作者:刘志艳
简介:副主任医师,副教授。日本病理学博士、山东大学医学博士。美国密歇根大学访问学者。现为中华医学会中华病理学分会头颈部学组委员。中国医疗保健国际交流促进会病理学会、甲状腺学会委员。国际细胞学会会员。亚洲甲状腺工作组成员。主编《甲状腺细针穿刺细胞学诊断与陷阱》,副主编《Pitfalls in the diagnosis of Thyroid FNA Cytology》、《Clinical management of thyroid cancer》。
本期编辑:刘鑫
注:图片来自网络

本文系微信 公众号“中华医学科普联盟”用稿,
转载前请先与我们取得联系,
欢迎您给中华医学科普平台投稿:
zgyxkp@163.com
并转发我们的作品
您可以直接留言与我们取得联系。