杭州姑娘小鱼(化名)的脸上,一个暗沉的痘印还清晰可见,它的“前身”是一颗红肿了一个月的痘痘。
痘痘长了一个月还不消退,她像大多数人一样忍不住“手欠”去挤、抠。但正是这个常见的动作,让她大脑里长出一个“脓包”,十分凶险!

图片来源:视觉中国
脑子里长了圆圆的脓肿
还伴随着严重的脑水肿
小鱼今年28岁,家中有个3岁的女儿,一家人生活其乐融融。可是,1个月前小鱼开始出现头痛,头晕的症状,随着时间的推移,症状越来越重。一家人陪她到当地医院,做了头颅CT和磁共振检查,发现小鱼的大脑里藏着一个圆圆的病灶,医生说可能需要开颅手术。这下子,全家人都吓坏了,赶紧把她转诊到浙大二院神经外科。

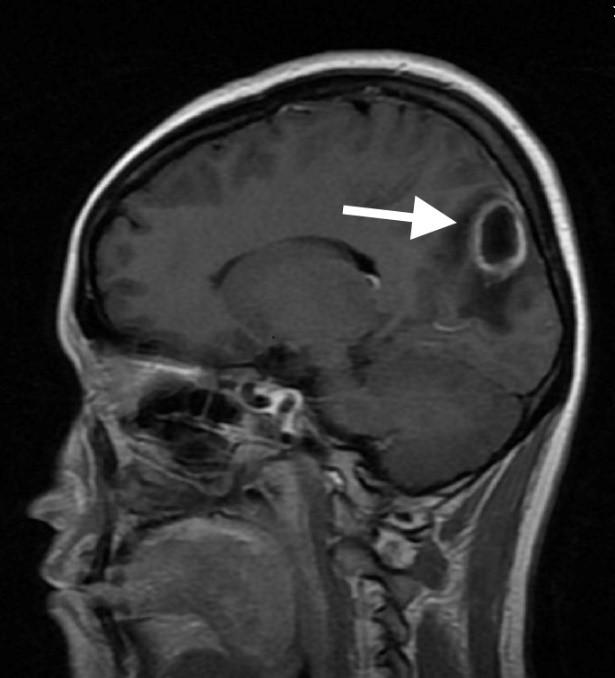
大脑里的病灶清晰可见
接诊的林邵奇医师详细地询问了病史,拿着小鱼的磁共振片子仔细端详起来,并向主管的陈景森和严锋副主任医师进行了详细的病情汇报。“从片子上看,小鱼的大脑里的确潜伏着一个圆圆的病灶。”陈景森主任说,“她得的是‘脑脓肿’,这种疾病就像在人的大脑里面裹了一包脓液,十分凶险。”
他介绍说,脑脓肿为颅内脓性感染病灶,可由细菌、分枝杆菌、原虫、蠕虫、真菌等引起,患者的症状及体征因脓肿的数量、位置及大小而异。每年每十万人中就有 0.3 到 0.9 人发生脑脓肿。
“从小鱼的片子上看,病灶体积大,周围还伴有严重的脑水肿,需要开颅手术切除病灶。”严锋主任说,“但是这个脑脓肿是由什么原因造成的,始作俑者到底是什么,却还是一桩悬案。”
在住院期间,医生们发现了个很特殊的情况:小鱼在吸氧的情况下,氧饱和度也只有85%(正常人是100%)。这个数字很惊人,正常人如果氧饱和度只有85%,就是严重缺氧,甚至可能会昏迷。比如正常人去*藏西**等高海拔地区,缺氧了就只能躺着了。但这个病人在85%的氧饱和度下,除了脓肿引起的阵发性头痛外,竟然没有其它不适感,可以自己吃饭洗衣服洗澡等等。

图片来源:视觉中国
“这就说明,小鱼的身体已经对缺氧的状态非常习惯了”。在了解了这一情况之后,严锋副主任医师眉头一皱,觉得事情没那么简单。“她可能合并有其它的疾病。”
心脏只有一个心室
抠痘痘时细菌趁虚而入
徐航哲主治医师经过进一步的询问病史,小鱼终于说出自己从小就患有“心脏病”。但是对心脏病的具体情况一问三不知。
于是,医生们进行了进一步的检查。胸部X片提示心脏体积巨大,心脏超声提示单心室,房间隔缺损。由此可见,小鱼还患有非常复杂的先天性心脏病。
这一点,成为侦破小鱼“脑脓肿谜案”的重要线索。
严锋副主任医师解释说,正常人的心脏有左心室和右心室一共两个心室,正常的血液循环是全身血液流到右心,再流入肺吸收氧,再流到左心,最后流到全身组织。正常人的血液都会经过肺,肺除了吸收氧气外还有一个很重要的作用是过滤细菌和毒素,这样这些细菌和毒素不会通过左心运送到全身组织。

图片来源:视觉中国
“但是因为小鱼只有一个心室,她的一大部分血液直接在全身和心室间循环,没有经肺过滤过,使得全身组织中的细菌可以经血液循环到达全身各重要器官,包括脑。正是这个不同,令她比正常人更容易感染细菌。”
由于有着如此异于常人的血液循环系统,小鱼得脑脓肿的概率就比正常人要高得多了。究其原因,陈景森主任认为有两点原因——
第一,小鱼的身体长期处于慢性缺氧状态,红细胞增多,血液粘稠,流速慢,容易导致细菌滞留和生长;
第二,部分带着细菌的血液未经过肺部毛细血管的过滤,可随着血液循环直接进入脑部,在大脑中形成感染灶,进而发展为脑脓肿。
那细菌又是从哪里进入血液循环的呢?
徐航哲医师注意到,小鱼的脸上有一颗“”青春痘”显得特别显眼。经过询问,小鱼说这颗青春痘已经长了很长时间了,一个月了,一直没好,说完还用手去抠了一下。
“看来这桩悬案的‘元凶’很可能就是这颗痘痘了。我们猜测可能是挤痘痘的时候,痘痘里面的细菌进入了血液中,因为小鱼本身特殊的身体状况,细菌直接进入了脑组织,继而引发了脑脓肿。”
细菌病毒往往从小处感染
养成良好的卫生习惯对抗
经过充分的术前准备,陈景森主任和严锋主任在显微镜下为小鱼实施了开颅手术,将脓肿连同包着脓肿的“墙壁”一并彻底切除。现在小鱼已经恢复了健康,顺利出院了。
陈景森主任说,这个病例有很大的特殊性,虽然绝大部分正常人都没有机会遇到这样的情况,但是在诊疗的过程中,我们还是得到了很多启示,值得大家在日常生活中引起足够的重视:
1. 重视日常的健康检查,对自身的基础疾病要有足够的认识,并且进行规范的治疗;
2. 建立个人健康档案,在疾病发生的时候,能够帮助医生尽快得出准确的诊断;
3. 细菌、病毒等往往从小处感染,养成良好的健康和卫生习惯,可以帮助我们对抗细菌病毒,增强体质。