口腔门诊工作中,常常遇到患者带着正畸或拔牙时拍摄的X线片前来就诊,“刘医生,我平时都没有感觉,你看我的骨头里怎么出现了黑洞,是不是什么癌症啊?”
我通过详细口腔检查,结合口腔全景片,告诉患者,初步考虑就是颌骨囊肿,安抚患者不要担心是癌症的同时,建议住院后行囊肿摘除手术!

颌骨囊肿
今天,我们就来详细聊聊颌骨囊肿是怎么一回事吧!
什么是颌骨囊肿
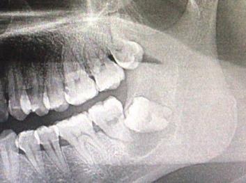
颌骨囊肿是指在颌骨内呈现为一含有液体的囊性肿物,颌骨逐渐增大、骨质膨隆,甚至发生吸收,因此在X线片上表现为黑洞。主要分为牙源性和非牙源性。
牙源性者即囊肿由成牙组织或牙的上皮或上皮残余演化而来;非牙源性囊肿则可由胚胎发育过程中残留于颌骨内的上皮发生形成,如面裂囊肿,亦可为损伤所致的血外渗性囊肿以及动脉瘤样骨囊肿等。

颌骨囊肿的分类
颌骨囊肿的常见表现
颌骨囊肿,可以发生在颌骨的任何部位,一般好发于青壮年。主要常见的表现为:1.颌骨逐渐、缓慢的发生肿大,患者一般没有明显的感觉。2. 病变进展时,可能影响面容。3.常有牙的病变或缺牙。根据病史及临床表现,结合X线片可考虑诊断,最终待术后病检明确诊断。
正是由于颌骨囊肿开始没有症状,或者引起了牙齿的症状,如松动、疼痛,但是没有得到足够的重视,往往是由于需要口腔手术操作时拍摄口腔X线片才发现。

颌骨囊肿,早期无明显症状
病例分享
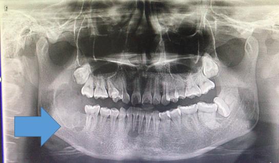
起因:患者于当地诊所拔除右下第二磨牙,拔牙后创口长时间未愈合,经常流出有异味的液体。拍摄口腔全景片示:拔牙窝空虚,右下颌骨发现很大的黑洞。

右下颌骨囊肿
治疗设计:A: 1、患者年轻女性,口腔卫生情况可;2、易沟通,医从性较好;3、患者希望尽快修复缺牙。B:1、病灶范围确切且较局限;2、骨质膨隆不明显;3、具备手术指征。经与患者及家属积极沟通后,采取手术方式:右下颌骨囊肿刮治+同期异体骨植入

制定方案
颌骨囊肿手术过程:
1、从C6颊侧牙龈向远中偏颊侧做一角形切口
2、紧贴骨面翻起粘骨膜瓣
3、咬骨钳去除薄弱骨质,形成骨窗,使术区视野暴露。
4、仔细刮除囊壁,勿损伤下牙槽神经。
A,大量碘伏水、生理盐水冲洗术区
B、植入异体骨
C、可吸收缝线严密关闭创腔

术后三个月复查,新的骨组织在形成
知识拓展:颌骨囊肿除了前述刮治外,如果囊肿范围较大,骨质膨隆明显,可采用颌骨囊肿开窗减压术。
囊肿开窗减压术:即囊性病变外表开窗,部分翻开骨质及囊壁,引流出囊液,并制造塞制器保留引流口通顺,使囊腔表里压力保持均衡,在颌骨的生理活动状态下,囊肿外周骨新建,颌骨外形改建,囊腔减小,形态得以恢复。 开窗6-18个月后,视情况是否行II期手术。

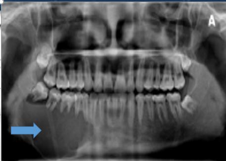
巨大的颌骨囊肿
颌骨囊肿开窗减压术,临床效果较好
当发现了骨头上出现黑洞,不要惊慌,也不要担心是否患上了癌症。我们需要积极的面对问题,早期处置,即使很大的颌骨囊肿,有数据研究证明,也会取得良好的效果!
1、囊肿刮治(a组)、刮治+植骨(b组)、开窗减压术(c组)比较,术后9-12月,囊肿缩小体积c组明显大于a、b两组,差异有统计学意义[1]。
2、与囊肿刮治术相比,开窗减压术能够减轻对恒牙胚及年轻恒牙的损伤,促进囊腔愈合[2]。
3、开窗减压术,切口小,耗时少,不会明显影响面部美观,具有较优疗效[3]。

发生问题,不要恐慌
颌骨囊肿手术,个人经验总结
1、完善相关辅助检查,明确囊肿范围及邻近周围情况。
2、手术方式选择:刮治 OR 开窗减压
3、翻瓣设计,充分暴露视野。
4、囊肿治疗相关注意事项:(1)、患牙根尖腭侧易残留囊壁,需要多次仔细刮除,或用电刀尖端预弯仔细灼烧,尽量去除残留囊壁;(2)、熟悉邻近结构,不要盲目乱刮,避免穿破或损伤鼻腔、上颌窦、下牙槽神经等;(3)、修整尖锐骨突,尽量保留牙齿;(4)、开窗减压术,扩大引流口,保留囊壁。
5、医从性:积极与患者沟通,维护口腔卫生,定期复查。

祝愿所有人都拥有健康口腔
总结:当开始写这篇文章,心里就已经知道没有多少阅读量,基本也与青云无缘!但是作为医生,我想把这些专业的知识分享出来,大家不一定能够看懂,但是可以简要的知道有关颌骨囊肿的相关事。想传达一个理念:不幸患上疾病,不要恐慌,积极面对,和医生处于同一战线共同对抗病魔!
@生命召集令 @健康真相官 @头条健康 @青云计划 #生命召集令超能团# #2019算数健康大会# #健康科普大赛#
[1].刘海涛.不同手术方法治疗牙源性颌骨囊肿的疗效分析[J].安徽医学,2019,40(7):738-740
[2.]许志杰.颌骨囊肿刮治术与开窗减压术治疗颌骨囊肿的效果比较[J].临床医学,2019,39(2):66-67
[3.]张明强.开窗减压术治疗口腔颌面部大型颌骨囊肿的效果分析[J].全科口腔医学杂志,2018,5(34):72-73