本文专家:黄璐,Helen齿科中心主任,中华口腔医学会会员
比起拥有一口黄牙,更让人苦恼的就是牙上有黑点。
也有很多人觉得牙齿上多了一个小黑点无伤大雅,毕竟它平时不疼不痒,就是怎么刷也刷不掉。

图片来源网络
但你知道吗?其实这颗小黑点背后隐藏着大隐患...
从小黑点到牙齿病变直至脱落,只需要几步,那牙齿上的小黑点到底是什么?多久牙齿会坏掉?一起来看看它到底有多“黑”......
牙齿上的小黑点是什么?
首先,我们要知道健康的牙齿色泽,牙冠呈白色或淡黄色,牙齿表面是光滑的。
当你发现牙齿表面突然出现黑点时:
第一种可能是龋齿,蛀牙从外面看表现为黑点,但往往里面有一个挺大的龋洞,像“矿”一样,开口小挖掘深!

图丨作者提供

图丨作者提供
第二种可能是静止龋,牙齿脱矿后不仅容易被细菌腐蚀,而且表面变的粗糙,更易有色素沉着,牙齿本身是有抵抗力的,而此时如果认真刷牙,或者去口腔科做相应治疗,并没有继续发展,就成了静止龋。

图丨作者提供
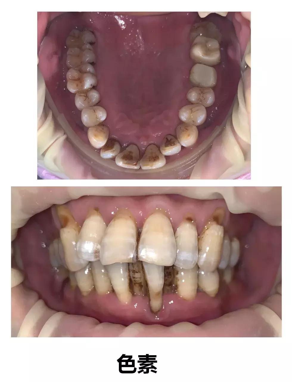
第三种可能是单纯性色素沉着,主要是色素长期附着在牙面的菌斑上,没有渗透到“牙齿内部”,这种情况可以通过洗牙来处理。

图片来源网络
那为何自己补牙后又出现了黑点?
这种情况可能是色素,也可能是继发龋。

图丨作者提供
原因是:1、补牙时没有彻底去净被细菌感染的部分;
2、补牙的材料和牙齿之间产生了微渗漏,细菌又继续钻进去蛀了;
3、也可能是口腔内环境、生活习惯发生重大改变,剩余牙体又继续龋坏,遇到这样的情况只能重新补牙。
但是不管是哪一种都不要忽视,早发现早治疗。
为什么牙齿上会长小黑点?
如果平时不注意口腔环境卫生,没有彻底清洁牙齿,时间久了,细菌、色素越聚越多,就成了牙面上的小黑点。
生活中的一些日常小习惯都会影响牙齿的健康问题:
一、刷牙马虎,不能做到正确的姿势刷牙;
二、平时喜欢吃太多甜食、喝碳酸饮料等;
碳酸饮料中含有大量的酸,让口腔长时间处于酸性状态,对牙齿产生脱矿作用;而且长期喝含色素的饮料,多少都会造成一定的色素沉着。

图丨作者提供
三、吸烟也是产生牙面色素最常见的原因,长期吸烟可以使焦油沉积于牙面,形成黄褐色或黑色的烟斑。
四、长期饮茶等也容易产生色素。

图丨作者提供
有了小黑点,多久牙会坏?
这是一颗牙齿引发的“战争”!
简单来说,就是一颗颗牙的病变,甚至脱落的过程。
第一回合:从初期龋到形成龋洞一般需1.5~2年,如果龋损在牙釉质、根面牙骨质层、牙本质浅层内,还未形成龋洞,此时治疗龋齿不需要钻洞,可通过注入渗透性树脂使感染部分钙化,以防继续恶化。
当然,如果已经形成了龋洞,就要及时补牙。

图丨作者提供
第二回合:如果龋洞放任不管,就会变成深龋和牙髓充血(可逆性牙髓炎),这时在吃东西时,冷、热、酸、甜都会增加刺激感,牙齿会感觉酸、痛,严重影响进食。
第三回合:如果此时再不及时治疗,会出现牙神经疼(急性牙髓炎),有句话叫“牙疼不是病,疼起来真要命”,指的就是牙髓炎。

图丨作者提供
第四回合:如果牙髓炎发作后不及时进行根管治疗,牙根管道内的细菌会从根尖孔进入牙槽骨,发展成根尖周炎。
第五回合:虽然发展到根尖周炎还有救,但如果依旧不及时治疗,就会发展成根尖周脓肿 。

图丨作者提供
最终牙槽骨被炎症破坏,牙齿松动,拔除。
牙齿掉了,就需要种植牙,如果不及时镶牙(智齿除外)就会引起周围其他牙移位,或是对面牙齿的伸长。

图丨作者提供
长了小黑点应该怎么办?
色素残留的小黑点以及龋洞,普通刷牙时刷不掉,千万不要自己去硬抠,以免造成牙体损伤。
色素沉着可通过龈上洁治,抛光的方法清除。
静止龋建议每年两次洗牙涂氟保护。

如果有龋洞的情况,建议尽早到医院补上,以免龋齿面积扩大,伤到牙神经等。
说到底,预防小黑点的出现才是最彻底的治疗方式。
日常应如何保护牙齿?
1.坚持一日两次刷牙。
2.刷牙方法正确(采用巴氏刷牙法),时间三分钟。

图片来源网络
3.使用牙线清洁牙缝,在口腔泡沫丰富时用牙线,也可以配合水牙线共同使用,效果更佳。
4.每半年接受一次口腔健康检查。
5.对于缺失牙应该及早修复。
因此
“小洞不补,大洞吃苦”
每天一定要认真刷牙
编辑:科普中国
未经授权及许可,严禁转载或加工作者原创图片,违者必究
预约微信号1:dentist-Helen
微信号2:A0210551
公众微信号:yayiHelen
本文为牙医Helen(黄璐医生)原创,如需转载请与作者联系,授权后转载需注明出处,违者必究。
想要了解健康管理牙齿的一切资讯,请关注“牙医Helen专栏科普”,小编会定期更新牙医Helen的原创文章。