9月15日,国家食药监局发布了《关于批准注册109个医疗器械产品的公告》,109个医疗器械产品成功拿到注册证,打通最后一关开始上市销售。
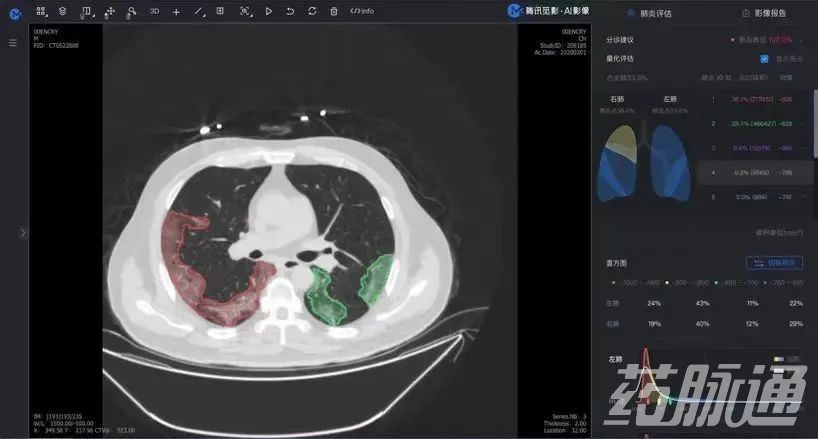
而我们注意到,在本次获得国家药监局批准注册的产品中,有一款产品就是来自 腾讯医疗健康(深圳)有限公司 的“ 肺炎CT影像辅助分诊及评估软件 ”,注册证编号为“ 国械注准20213210612 ”。


开始销售医疗器械
腾讯自主研发的“ 肺炎CT影像辅助分诊及评估软件 ”正式获批第三类医疗器械注册证,腾讯也正式成为国内互联网科技行业 首个获得医疗AI三类证的企业。
早在2017 年,腾讯就发布了一款 AI 医学影像产品 —— 腾讯觅影 。它能够可以有效辅助医生发现疾病病灶,把病魔扼杀在摇篮里。
现在, 腾讯觅影的“肺炎 CT 影像辅助分诊及评估软件”正式获得国家药品监督管理局批注注册,注册证编号“国械注准 20213210612”。
这意味着,腾讯觅影可以在临床上帮助更多医生和患者。

据悉,腾讯觅影此前和武汉大学中南医院进行了深度研发合作,最终开发出新冠肺炎影像识别模型。 后来把冠肺炎 AI 辅助诊断系统搭载在了一辆车上,叫作“移动方舱 CT”。
在河北的受检人在“车”内完成 CT 检查。通过 5G 技术,CT 被传到远在武汉的中南医院医学影像科。在后端,系统仅需几秒钟内就能完成 AI 模式识别,几分钟内即可为医生提供辅助诊断参考。武汉的医生能在极短时间内作出判别,形成 CT 检查诊断报告单,并传回河北。
另外,腾讯还在进行更多探索围绕 “如何用 AI 改善生命健康” :
在应用层:
仅过去半年里,包括“肺炎 CT 影像辅助分诊及评估软件”在内,腾讯共有 3 款医疗器械获得注册批准。
另两款分别是:适用于对医学影像的管理与应用的影像云,以及适用于数字病理影像管理与分析的病理云。
在研发层:
“腾讯觅影”设立了开放实验平台,面向医疗机构、科研机构、高等院校、科创企业等开放腾讯储备的医学 AI 能力。
不仅加速了产学研一体化互联合作,也帮助行业批量孵化医学 AI 应用,让 AI 产品真正走出“实验室”,进入医疗流程。
目前,开放实验室已经连通 70 多家用户,同时也在接入各厂家已经获证的 AI 应用产品。
进军医疗健康领域
腾讯早已布局
据“爱企查”了解, 腾讯医疗健康(深圳)有限公司 成立于2016年12月15日。经营范围中就包括 第一类医疗器械生产;第一类医疗器械销售,许可经营项目是:第二类医疗器械生产、第三类医疗器械生产(限分支机构经营);第二类医疗器械销售;第三类医疗器械经营。

2020年,作为医疗器械发展的极速之年,华为、腾讯等巨头纷纷进军医疗领域,区别于老牌械企的打法,跨界布局医疗器械虽然挑战很大,但同时也意味着这些巨头将 从新的赛道攫取市场熟识度,发掘新的机能,找到增长点。
并且在这之前, 腾讯已在医疗健康领域布局多年。 比如2015年,数字医疗领导者、也是印度增长最快的医疗保健公司之一,Practo完成了一轮9000万美元融资,腾讯领投。
Grail也是腾讯参投的海外医疗项目中的一支“独角兽”。腾讯还曾投资AI医疗公司体素科技一亿元,后者致力于用用 AI 和云计算技术为医生提供影像诊断决策辅助。
同时,腾讯涉足医疗器械领域除了自我造血,还将视角看向了伙伴。早在 2019年,腾讯就与飞利浦(中国)达成战略合作, 将在智能医疗领域的研发合作。 基于合作,双方从医院临床需求出发,共同推进电子阴道镜AI辅助诊断系统的研发。
据悉, 飞利浦将通过图像传输协议向腾讯的阴道镜辅助诊断系统提供实时视频和图像。而腾讯阴道镜辅助诊断系统则向飞利浦电子阴道镜系统提供实时辅助诊断信息。
在此基础上联合开发出电子阴道镜系统与阴道镜辅助诊断系统的整合方案,以此帮助临床医生在统一的显示屏进行操作,并获得实时辅助诊断信息。
可以看出来,不管是华为还是腾讯,在瞄准医疗器械这块“香饽饽”的同时,并非突发奇想,而是布局已久。而在所有巨头企业中, 腾讯得天独厚的媒体属性可以说是为其加分不少。 随着本次产品获批之后,也标志着腾讯在医疗健康领域又迈出了实打实的一步。