作者:华中科技大学同济医学院附属协和医院 金润铭
责任编辑:陶然
2020年的到来,竟是如此的出人意料!
新冠病毒,以罕见的速度从武汉向周边地区乃至全国迅速地蔓延。面对来势汹汹的病毒,湖北省内的防疫资源全面吃紧,特别是疫情早期,武汉市陷入医疗物资奇缺,医护人员严重不足的局面。我作为湖北省医学会儿科分会的主任委员,非常感谢全国的专家对我们的支持,帮助我们渡过难关,直面挑战。
在*党**中央领导下,在全国人民的共同努力下,我们在比较短的时间里控制住了疫情,取得了阶段性胜利。接下来,我们仍然不可松懈,特别是我们儿科学界,还需密切关注,研究无症状感染儿童的防控措施。今天,借助药盾公益这个讲座平台,我给大家分享一下新冠疫情期儿童发热的鉴别诊断及处理。

1、儿童新冠肺炎流行病学
截至2020年2月20日,全国报告19岁以下病例约占全部病例的2.4%,其中极少数发展为重症(2.5%)或危重症(0.2%)。3月8日,CDC报告1例8个月孩子死亡。目前,感染年龄最小的36小时,发病最小的17天。儿童病例到底有多少?我们还不清楚。总的来说,新冠病毒对儿童也有比较大的危害。
各年龄段儿童普遍易感。传播途径主要是呼吸道飞沫传播和接触传播,也有通过气溶胶和消化道传播的可能,现在还不太清楚。其中,密切接触新型冠状病毒感染患者(家庭聚集性)和无症状感染者是导致儿童感染的主要途径。
2、儿童发热鉴别
发热是儿童患病时最常见的临床症状之一,约占儿童就诊症状的1/3。一般来说,如果孩子腋下温度超过37.5 ℃、直肠温度超过38 ℃,就是发烧了。
儿科更多关注的是超高热,比如41 ℃以上,或者39~41 ℃,这种发烧在儿童里面容易出现高热惊厥。部分专业比较关注低中热,因为很多孩子低中热时间长的时候,比如两周以上,很多是因为血液肿瘤。
短期发热,问题一般都不是很大,因为发热病因比较明确,一是感染性发热,一是非感染性发热。感染性发热如呼吸道感染、传染病、或者慢性感染。现在非感染性发热发病率越来越高,比如儿童肿瘤,从每年的登记情况来看,儿童肿瘤已经成为儿童死亡的第二位原因,超过了其他肺炎等情况。

一般上呼吸道感染很常见,也叫普通感冒,可能是常见的冠状病毒、鼻病毒等引起。儿童新冠病毒感染病人症状较轻可能与儿童经常患普通感冒有关,经常患普通感冒,就会经常接触常见的呼吸道冠状病毒,但这些冠状病毒和新冠病毒是不是有交叉抗体,我们现在还不太清楚。普通感冒患者主要以鼻咽部卡他症状为主,全身症状相对较轻,可能有咽痛、咽部烧灼感觉。一般具有自限性,7~10天就好了,不会造成很严重的后果。
第二个是流感,流感发病率是最高的,尤其是冬春季节,死亡率也很高。美国报道说流感死亡率很高,从2019年9月份到现在已经死亡超过2万例。是不是一定是流感,里面有没有新冠病毒我们也不知道。流感现在已经有药物可治了,其实没有那么高的死亡率。但据WHO统计,儿童流感死亡率还是很高的,可以达到每年29~65万人。因此,一般流感季节,我们都要求高热病人吃一点抗流感药物。流感主要表现是高烧、全身肌肉酸痛、寒颤,可能出现并发症如肺炎,但这个肺炎和新冠肺炎不一样。
新冠肺炎的临床表现主要以低中热居多,可能有干咳,乏力比较明显,次要表现有卡他症状,不典型表现有消化道症状。重症病人可以很快进展为呼吸衰竭,或全身多器官功能衰竭。总的来说,它的潜伏期一般1~14天,多在感染后3~7天发病。
在去年12月份和今年1月份,可能有流感和新冠肺炎混在一起的,这种病人交叉感染造成的危害或使死亡率更高一些。

3、儿童新冠肺炎诊断
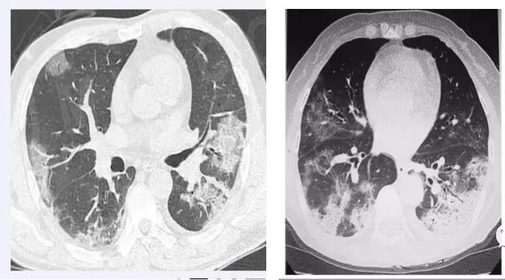
对成人来说,新冠病毒感染后淋巴细胞减少比较明显,但在儿科表现不那么明显,因此儿童新冠病毒感染通常查血常规没有特异性。儿童新冠病毒感染,相对特异性的检查是肺部CT。毛玻璃样的影子从周边向中间慢慢地播散的特点是比较明显的。湖北地区曾经用CT进行临床诊断,当时对控制传染源起了很大作用。新冠病毒感染最后的确诊,还需要病原学检查,如核酸检查、抗体检查等。

新冠病毒感染在潜伏期、前驱期以及发病期核酸检测可以阳性,康复后核酸就会转阴。IgM一般在潜伏期晚期和前驱期出现,发病期呈进行性升高,通常2~3个月会转阴性。如果单纯IgG呈阳性,说明曾经感染过,但不一定是现症感染,或处于康复期。目前,我们还不知道感染病人的IgG抗体能持续多少年、这个抗体对人群有没有保护能力,当然我们希望这种抗体持续时间更长一些,这样可能的保护时间就更长。

4、儿童新冠肺炎发热治疗
儿童新冠病毒感染,现在没有特效药物,主要还是对症治疗,如一般隔离、氧疗、经验性抗病毒治疗等。对症治疗要关注高热处理及药物使用。高热处理主要推荐用对乙酰氨基酚和布洛芬。一般用法:布洛芬口服,每次5-10mg/kg,两次用药间隔6~8小时;对乙酰氨基酚口服,每次10-15mg/kg,两次用药间隔6小时。对乙酰氨基酚每天不超过4次,布洛芬建议每天不超过3次。若单药使用后退热效果不佳、患儿不适持续存在或热退后短时再度发热,还未到下次给药时间时,可考虑交替使用,但要注意用药间隔,一般至少间隔两个小时。
现在我们还有一个需要关注的问题——怎样发现新冠病毒感染的隐性感染者或轻症疾病者,以及如果病毒长期存在应该怎样管理,这是我们将要面对的艰巨任务。儿童的新冠病毒感染总体发病率到底是多少我们还不清楚,还需要在抗体检测、回顾性研究等方面做更多的研究和观察。

审稿专家:华中科技大学同济医学院附属协和医院 金润铭
以上为“药品安全合作联盟”志愿者的原创作品,如若转载请注明作者和来源!
【药盾公益】以中国非处方药物协会、中国药学会,中华医学会等共同发起和成立的公益性组织——PSM药盾公益(公众号:PSMChina),广汇资源,凝聚力量,促进公众用药安全。
————————
文中观点不代表本平台观点,如有问题欢迎各位及时指正。
版权声明:我们注重分享, 文章、图片来自网络,版权归原作者,如有异议,请告知我们会及时删除。