本文的受众是具有死磕精神的儿科医生和具有钻研精神的家长。本文的目标是看完后,你就是小专家。
导读:
哈哈,咱们直接进入话题,猩红热时,孩子们会出现发热、咽喉疼痛,全身出现大片大片红疹,粗糙的像牛皮纸一样的表现。
家长带孩子就诊后,医生往往会让孩子吃抗生素10天,并且会告知家长孩子可能会出现肾炎等问题,那老母亲的心就立即跳到嗓子眼了:
●我耽误孩子了吗?
●吃10天抗生素孩子受得了吗?
●那口服抗生素好,还是输液好呢?
●怎么才能不发展成肾炎呢?
今天咱们给您讲清楚了。
目录
1.猩红热是什么样子的?
2.所有猩红热都这么典型吗?
3.怎么确诊猩红热?
4.猩红热要和哪些疾病鉴别,以及处理思路
5.为什么猩红热冷天、热天都流行呢?
6.什么时候去医院?
7.怎么治疗呢?一定得用10天抗生素吗?
8.对阿莫西林过敏怎么办呢?
9.怎么预防肾炎等并发症呢?
10.治疗上还要注意什么呢?
11.需要隔离多久呢?
12.哥哥患病了,怎么避免传给弟弟妹妹呢?
13.没有患病,怎么预防感染呢?
1.猩红热是什么样子的?
猩红热,顾名思义,就是皮肤一片猩红,加上发热。确实疾病最典型的表现就是这样的,但是孩子生病不会像书上写的那么典型,并且在刚开始时没有皮肤表现。所以,咱们把疾病的整个过程都给大家说一下,做到早诊断、早治疗,避免肾炎等严重并发症。
在疾病刚开始,孩子们会出现发热和咽喉疼痛的表现。之所以这样,是因为该病是A组β溶血性链球菌感染导致的。
这个细菌是被孩子吸入体内的,当然先进入咽喉处,这里环境适应其生存,繁殖2-3天后,有能力侵袭咽喉部组织细胞了,就会导致咽喉肿胀、疼痛。同时,咱们的身体也不是吃素的啊,免疫系统为了减少体内的细菌,就通过发热限制他们的繁殖。
为什么体温高了,就不繁殖了呢?这道理还不懂吗,你发热的时候也不愿意运动吧,哈哈。

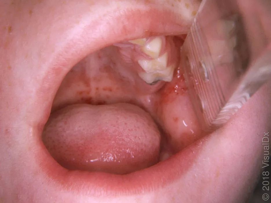
这时如果检查孩子的咽喉处,开始时能看到上颚处有红色点状出血疹,之后能看到咽部和软腭、扁桃体有白色斑片渗出,这种斑片容易擦掉,如下图所示:

上图左侧是软腭处的出血点,右图能看到白色分泌物
如果出现以上表现,但不会继续发展了,不出现皮疹,就不是猩红热,而是咽-扁桃体炎。
猩红热时,在发热、咽痛后的1-2天后,出现皮疹。皮疹从耳后、颈部开始出现,很快向下扩展,多数在1天左右,迅速波及躯干和上肢,之后出现到下肢。
因为该细菌能分泌红疹毒素,这种毒素能使得皮肤的毛细血管扩张,整个皮肤广泛的充血,所以,整个皮肤都是红红的。因为毛囊周围的淋巴细胞和单核细胞等炎症细胞的浸润,皮肤上还有凸起的颗粒。
这时表现就是整个皮肤都是红红的,上面有点状的红色皮疹,高出皮肤,摸着特别粗糙,就像牛皮纸似的,如下图圆圈内表现:

图片来源见水印
这个时候,用手按压能出现典型的贫血性皮肤划痕,意思是用手按压皮疹处皮肤时,这些红色会变白,因为把充盈的血液压到别的地方去了,出现数秒的褪色,如下图所示:

但是也有例外,有些部位按压就没有退热,比如皮肤皱褶处(腋窝、腹股沟、肘窝处),这里的皮疹比较密集,压不走血液,就不褪色,这种密集的皮疹经常呈线状排列,称为帕氏线(是个姓帕的人命名的),如下图圆圈内所示,但大家注意一点,不是所有猩红热都有这个表现:

图片来源见水印
皮疹出现3-5天左右会变暗,并开始消退,按照出皮疹的顺序蜕皮,在皮肤上出现细小的鳞屑。为什么这样呢?其实这就是皮肤不想要这些不好的细胞了,从而皮肤最外面的表皮细胞角化过度,尽快让他们脱落,如下图黑色箭头所示:

图片来源见水印
另外,有些孩子会出现大片脱皮的表现,在手足处最重,如下图所示:

图片来源见水印
大家注意哦,在出现皮疹的时候,发热不会消失的,甚至还有加重的,但是在皮疹开始消退的时候,发热等症状开始消退,孩子也开始舒服起来,就像老话说的,发出来了,就好了,哈哈。
在皮疹出现前,如果注意舌头的话,开始时能看到舌苔增厚、灰白色,并且舌乳头开始红肿凸起,像草莓似的,被称为草莓舌。过个2-3天,灰白色的舌苔会脱落,形成红红的舌头上有舌乳头凸起的表现,这时称为杨梅舌。

2.所有猩红热都这么典型吗?
典型的猩红热就是上面咱们说的红红的牛皮纸样的皮疹,发热、咽喉红肿,扁桃体白色渗出,杨梅舌。
但是,如果每个孩子的病情都这么典型,就不需要医生了。随着这么多年的及时使用抗生素,卫生条件的增强,A组β溶血性链球菌毒力不如之前那么厉害了,现实中,这么典型的猩红热比较少了。
现在好多孩子没有典型的皮疹表现了,只有发热、咽痛等表现,只在面部、手足、身体皱褶处及躯干部位出现基底呈淡红小丘疹,例如下图所示。

图片来自:冯进云.儿童猩红热87例临床表现及皮疹特征
如果发现这样的表现,不能除外是猩红热,需要进一步检查确诊,因为皮疹不典型不代表疾病轻,皮疹的轻重和导致肾小球肾炎等并发症没有直接关系。
3.怎么确诊猩红热?
如果孩子是第2条里面讲的那么典型,直接诊断,但是,如果孩子皮疹不大典型,或者在疾病的早期,只看到咽喉红肿或者渗液时,但是感觉特别像A组β溶血性链球菌感染时,不能凭经验诊断。
因为其他细菌导致的咽喉炎症和猩红热早期咽喉炎差不多,即使是经验非常丰富的医生也可能会看走眼。这时需要通过检查咽喉的分泌物,进行该细菌的抗原检查和培养。
但是大家注意一点哦,也不要看到咽喉发红就考虑为猩红热,因为导致咽喉红肿的疾病太多了,基本上所有的呼吸道疾病都会侵袭咽喉,导致发红,如果不是咱们上面图片中的这么典型,没有渗液等,就不要进行这个检查,避免过度诊断。
一般情况下,我们会同时取两个咽拭子标本,就是用咽拭子(类似棉签)在孩子咽部蘸点分泌物,先进行咽喉分泌物进行抗原检测。这个大约30分钟就能出结果,非常快速,同时该检查的特异性非常高,大约95%左右。这个意思就是如果结果提示阳性,那就能明确该菌感染了,基本不可能是其它的病原。如果是阳性的,那就诊断为该菌感染了,开始进行抗生素治疗。
但是如果孩子症状非常像猩红热,但结果是阴性,这时还不能除外是该菌感染,因为这个抗原检查的灵敏度在80%-90%左右,明明是阳性,有时就是会查不出来。
这个时候,会把第二个标本送检,进行咽喉分泌物的培养,虽然检查耗时较长,需要3天左右,但是是最准确的,如果是阳性的,就开始治疗,如果阴性,考虑其他疾病。
那等检查结果的这段时间怎么办呢?用不用抗生素呢?如果不用的话,可能会耽误治疗,导致病情加重甚至出现心肌炎,肾炎等并发症;如果用上了,结果出来明确不是该菌感染,那又过度治疗了,怎么选呢?
这时我们建议再明确下诊断,就是对其它类似的疾病再排除下,如果都不是,那就是A组β溶血性链球菌感染了,就开始治疗了。
4.猩红热要和哪些疾病鉴别,以及处理思路
首先看早期咽喉炎的鉴别,目前在咽喉炎时,和该病表现最像的就是EB病毒感染导致咽喉炎症,也就是大家比较熟悉的传染性单核细胞增多症。EB病毒感染时,也会出现咽喉红肿,并且出现扁桃体处渗出,多呈现白色,有时还在上颚处出现出血点,这样就和A组β溶血性链球菌导致的咽喉炎一样了,基本没法区分,如下图所示。

这时可以进行血常规检查,在EB病毒感染时,因为是病毒感染,血常规里面可见淋巴细胞增多表现,绝对值计数大于4500/微升,或者淋巴细胞比例大于50%,异性淋巴细胞总数超过淋巴细胞总数的10%。
如果血常规没有以上的表现,而是出现细菌感染的表现,比如白细胞总数增加,中性粒细胞比例在80%以上,C反应蛋白升高,那就按照猩红热治疗,边治疗边等培养结果。
如果培养结果出来时阳性的,那就继续严格按照猩红热疗程治疗,如果结果提示是阴性的,可以继续明确是否是其他细菌感染,根据孩子使用抗生素后表现和检查结果,决定是否需要更换或停用抗生素。
但是如果血常规结果是EB病毒感染的表现,那就不用抗生素治疗了,继续等培养结果,同时继续完善EB病毒的检查,比如完善血液抗体或者直接检测EB病毒的DNA明确诊断。
说完咽喉炎,该说皮疹相似的了。风疹、麻疹的皮疹表现和猩红热比较像,下面讲讲如何鉴别。
风疹的表现是全身急性发作的斑丘疹,从面部向下扩展到躯干和四肢,1天左右遍及全身,皮疹为针尖大小粉色斑丘疹,如下图所示:

图片来源见水印
风疹时,也会在上颚出现出血点,叫做Forchheimer斑,如下图所示,这会增加鉴别诊断的难度:

但从整体上讲,风疹时,孩子皮疹出现的快,基本开始发热后,就会出疹子,和猩红热3天才出皮疹不一样,同时,风疹的皮疹没有猩红热那么红,皮疹之间的皮肤充血也没有猩红热那么明显,并且扁桃体上基本不会有白色渗出。
另外,因为风疹是风疹病毒感染导致的,血常规检查,风疹时是比较典型的病毒血象,白细胞总数会降低,淋巴细胞比例增高,从这些点可以鉴别下。
麻疹和猩红热表现也差不多,并且也是在发热后3天左右出疹子,皮疹也会蜕皮,有些难鉴别。
麻疹早期,会出现猩红热样皮疹,如下图所示:

图片来源见水印
但是随着皮疹发展,当皮疹变得典型时,这和猩红热差别会大起来,如下图所示,能看到皮疹是一片片的,并且皮疹间的皮疹不怎么红。

图片来源见水印
另外,有时麻疹也能看到上颚处有粘膜疹,如下图所示,和A组β溶血性链球菌感染导致的咽炎差不多。

图片来源见水印
但是麻疹时更典型的是麻疹黏膜斑,表现是颊黏膜上,细盐粒样,灰白色斑点隆起,这种黏膜斑被描述为“红底上的盐粒”,如下图所示,基本上如果发现这种斑,就是麻疹了,不会是其他疾病。

如果排除了上面的这些疾病,那就考虑是猩红热了,按照猩红热进行治疗,但是这种鉴别诊断需要医生进行,不建议家长自行诊治。
能和这3个疾病鉴别开,就足够了,别的可能性不大。
5.为什么猩红热冷天、热天都流行呢?
猩红热在冬春季节和夏季都是流行季节,是不是很意外呢,竟然冷天和热天都流行?
春夏流行是因为A组β溶血性链球菌最适的繁殖温度是10-25摄氏度,所以,在天气转暖时,春夏季节细菌增多。同时在这个时间,外出游玩、集体活动会增多,导致患病的孩子会增多,形成流行季。
那冬季为什么也会流行呢?因为在天气冷的冬季出现流行是因为温度较低的时候,人们通常会将门窗关上,室内空气不流通,室内病原浓度大,容易感染,尤其是在校学生。
另外,冬季时,室内和外界温差大,这样气温的突然变化会导致呼吸道上皮细胞防御效果降低,容易导致病原体进入身体导致生病。
6.什么时候去医院?
什么时候需要带孩子去医院呢?之前文章会告诉大家,如果孩子只有发热,但精神状态挺好的,不建议立即就诊,因为孩子症状不明显,到医院医生查体、查血也不能明确是什么原因导致的,白去一趟。
但是如果孩子在发热时,会自己说咽喉疼,或者不说咽喉痛,但是拒绝吃东西,或者精神状态一般,或者皮肤上出现皮疹了(当然,热退疹出是幼儿急疹,不用就诊的),就需要就诊了。
因为对于猩红热,或者链球菌导致的咽峡炎,都是需要抗生素治疗的,在发病2天内用药效果最好。并且及早治疗,能让孩子尽快舒服,很快杀灭病原、减少传播,减轻疾病程度,避免导致咽喉周围脓肿、心肌炎、肾小球肾炎、风湿热等严重并发症。
7.怎么治疗呢?一定得用10天抗生素吗?
其实这个病只要诊断明确了,那治疗起来很简单,抗生素用对就基本解决了。
对于该病,之前推荐的是静脉使用青霉素,但目前推荐口服就行了,首选口服青霉素V,价格便宜、效果也好。但是有个问题是,目前国内市面上这个药很少,同时因为味道特别不好吃,又加上阿莫西林的肠道吸收率高,所以基本都是用阿莫西林(属于青霉素类的)当首选药物了。目前没有发现该菌对这类药物有耐药性,所以,效果非常好,只要用上了,包好。
口服阿莫西林时,建议按照每公斤50mg使用,最大量是1g,一天一次,使用10天。这个一定要按照医嘱使用,大部分用上2-3天,孩子症状就逐渐减轻了,但这时不要停药,不能减少天数,因为用药不够可能导致细菌扩散,继发肾炎、心肌炎和风湿热。
国内说明书上会写按照每日3次使用,所以,如果医生让你给孩子分成3次使用,也可以,只要总量足够就行,国内的研究发现这样使用也能完全治愈猩红热。
8.对阿莫西林过敏怎么办呢?
如果不是严重过敏,不是那种用上就呼吸困难那个类型的,可以使用头孢类药物(该药和阿莫西林都是β内酰胺类的,有一定可能是交叉过敏的),比如头孢呋辛、头孢泊肟等,使用5日即可。
但是如果是对阿莫西林严重过敏,或者对头孢类药物同时也过敏,那就使用阿奇霉素吧,疗程也是使用5日即可。
那为什么这些药物用时短,却不是首选呢?主要是部分细菌对这些药物有耐药性,可能吃了后,好不了。
9.怎么预防肾炎等并发症呢?
家长们可能会非常害怕导致并发症,就怕出现肾小球肾炎、心肌炎等问题。其实大家完全不用担心,目前国内好多流行病调查显示,近年来,只要治疗上,国内猩红热并发症极少。
根据北京的调查,2011年5月-2013年12月期间共7298例猩红热病例,仅8例病例出现并发症,包括中耳炎(2例)、鼻窦炎(1例)、肺炎(2例)、心肌炎(3例),未发现急性肾小球肾炎、淋巴结炎、风湿性关节炎等其他并发症。并且我翻看了国家的疫情报告,整个2017和2018年都没有猩红热死亡病例。
所以,目前只要是用够疗程,基本没有导致肾小球肾炎等问题的,这可能和抗生素对该菌杀灭效果特别好,及早使用很容易杀灭细菌,并且目前细菌毒力普遍不强有关。
所以,家长们不用担心啦!只要治疗有效,使用上抗生素后孩子症状减轻,那治疗10天后,孩子没有症状了,就认为治愈了,不用复查体内是否还有细菌残留,因为这个菌是人体的自然寄生菌,最后即使在呼吸道暂留一点点,只要不致病,就没有任何问题。
10.治疗上还要注意什么呢?
在治疗时,也不是说用上抗生素就万事大吉了,因为抗生素只能消灭细菌,不能立即退热、让孩子舒服,所以,对症治疗不能省。比如:
●孩子发热时,还是要使用退热药;
●孩子咽喉痛不愿意吃硬东西,就吃点软的、流质食物;
●咽喉疼的厉害时候,可以在饭前10-20分钟用些带有利多卡因的漱口水或者*剂喷**,这样咽喉局部麻醉了,就不疼了,就能吃东西了。
●关于皮疹,不需要特殊处理,一切照常,可以洗澡,也可以见风,出现蜕皮后,可以用些保湿霜涂抹,让皮肤水润水润的就够了。
11.需要隔离多久呢?
因为猩红热是乙类法定传染性疾病,所以确诊后,需要上报给国家疾病控制中心,并需要在家隔离治疗,不能上学、不能出去传染别的孩子。哈哈,大家注意啊,上报只是国家要统计一下,不会抓你孩子关起来的,所以,不要和上报的医生打架。
国外有些指南认为,只要用上抗生素1天后,基本就不传染了,就可以去上学了。咱们国家规定,孩子用上抗生素后,至少1周才能复课,有些地区会要求有咽拭子链球菌阴性结果才行。
所以,既然在咱们国家,肯定是要按照自己的规定来的。
12.哥哥患病了,怎么避免传给弟弟妹妹呢?
那孩子隔离在家里面,会不会传染给弟弟妹妹呢?其实也不要担心了,因为上面治疗中,咱们也说了,用上1天抗生素后,就不要怕孩子传染给家里别的孩子了,正常的玩耍是没有问题的,家长放松就行。
同时,当孩子诊断明确时,家长多会做好防护。比如减少孩子之间的接触,让生病的孩子带上口罩,咳嗽时用胳膊挡住,避免咳嗽时飞沫进入别的孩子呼吸道,反而不容易传染给其他孩子。我们就怕孩子症状不明显,不知道是猩红热,不用药、不注意防护,这时反而容易传染。
在家里,健康的孩子去玩或者摸生病孩子的物品、玩具很少导致传染,并且病*皮人**肤的脱屑也没有传染性,同时该菌的外界生存能力不强,只要不对着健康孩子咳嗽、打喷嚏,问题就不是很大,所以,一般的防护措施就足够了。
但是,如果你能做到孩子们不接触,那更保险!
13.没有患病,怎么预防感染呢?
首先得给大家说,这个细菌具有普遍的易感性,就是大人小孩都可能患病。
其次,患病后,虽然能产生抗体,但抗体只保护这一型的,对其他型的没保护作用,过段时间还可能感染其他型的,再次患病哦。根据细菌细胞壁粘膜多糖的不同,A组β溶血性链球菌能分为20多个血清型,所以大家都得注意防护。
那有没有更应该防护的人群呢?有,那就是孩子,特别是3岁-9岁的孩子,他们在上幼儿园或者小学,彼此接触亲密,容易感染。
建议大家要做到下面几点:
●不要在疾病流行季节去人群拥挤的地方玩耍,保不齐就有病人或者细菌携带者在里面,但是上学除外;
●不要接触已经患病的小朋友,发现别的孩子有皮疹的话,建议避开;
●保持室内湿度在50-60%,每日通风2次(早晚各30分钟),从而降低室内病原密度;
●全家做好洗手工作,家长回家后,洗脸、洗手后再接触小朋友,使用7步洗手法。
另外有些家长会咨询是否有疫苗可以使用,目前美国正在进行疫苗的临床试验,还没有上市,所以,做好防护还是最重要的。
最后,希望小朋友们都不感染这个病原,健健康康哦。
参考文献:
[1].Group A streptococcal tonsillopharyngitis in children and adolescents: Clinical features and diagnosis.UPTODATE.2018.
[2].Treatment and prevention of streptococcal pharyngitis.UPTODATE.2018.
[3].Complications of streptococcal tonsillopharyngitis.UPTODATE.2018.
[4].Nelson Textbook of Pediatrics 19th.
[5].苏健婷.北京市2007—2016年猩红热流行病学特征分析.2018.
[6].冯进云.儿童猩红热87例临床表现及皮疹特征.2012.
[7].AAP.Red Book.2018.