
(一)先兆流产
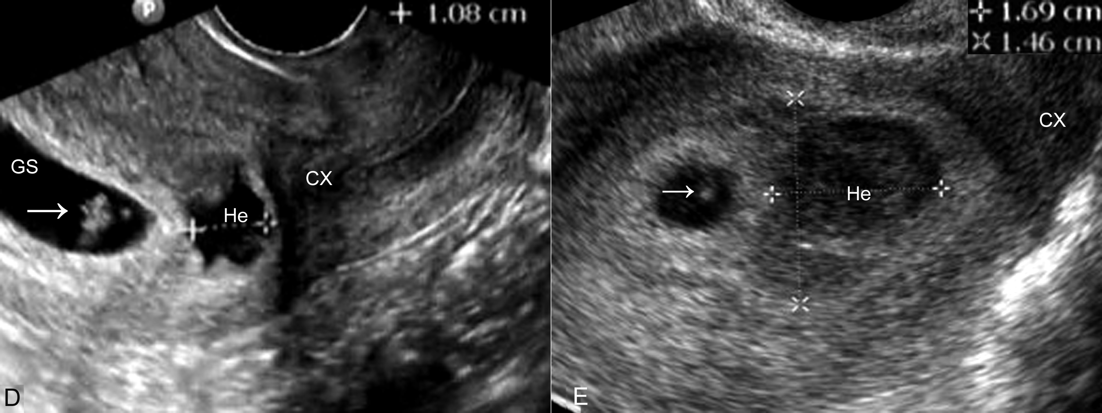
子宫和妊娠囊大小与停经月份相符,回声规则,形态及位置无明显异常变化,妊娠囊内部仍可见存活的胚胎或胎儿,大小与妊娠月份一致。妊娠囊一侧或下方可显示低回声或无回声区,提示有绒毛膜下血肿存在(图1,2),但多数较小,胎盘附着处回声正常;部分声像图可完全无异常发现。

图1绒毛膜下血肿声像图:孕囊(Gs)后方及下方可见不均匀的血块(Ha)回声;C:示意图

图2绒毛膜下血肿声像图:孕囊(GC)下方可见血肿
(二)难免流产
妊娠囊大小正常或较正常缩小,位置下移、变形(图3A)、边缘失去连续性;内部胚胎或胎儿活动消失,心脏搏动明显变弱或不规律、或消失(图3B);如果绒毛膜下血肿超过15ml以上并波及胎盘基底部,即便没有孕囊移位和胚胎死亡,多数也将以流产结束妊娠。

图3 难免流产声象图:变形的孕囊(GS)
(三)不全流产
子宫小于停经月份,妊娠囊消失,宫腔内残存不规则无回声区或低回声区,分布不均匀(图4),或可见死亡的胚胎或胎儿回声,或可显示胎儿的骨骼强回声。结合病史可作出不全流产的诊断。

图4 不全流产声象图:胎体已排除,箭头指示宫腔内及宫颈管处仍有胚胎残留物
胎盘、绒毛组织等残留时显示为宫腔内较低而模糊的不规则回声区,随着时间的延长,其回声逐渐增强,边缘逐渐清晰,但回声仍不均匀。人工流产后妊娠产物的残留亦显示同样的回声。
(四)完全流产
已明确妊娠,阴道流血或流出妊娠产物后超声显像检查显示子宫内无任何妊娠征象,即可诊断为完全流产。
彩色多普勒彩色血流显像检查通过对子宫体部孕卵植入部位和子宫动脉血流的观察对不同类型的流产可能有一定的帮助。先兆流产时可无异常血流发现,难免流产和不全流产的早期子宫动脉血流速度降低,并且有可能早于声像图改变而发生,但一般认为无显著的可比性和特异性,实际应用价值较差;完全流产时子宫动脉血流可完全恢复至非孕状态。
妊娠早期阴道流血是产科临床常见的症状。胚胎或胎儿的存活与否决定着临床处理方法的选择。超声显象检查可以显示妊娠囊形态、位置及其内部胚胎或胎儿是否存活等情况,为临床选择处理方法提供可靠的依据。诊断时应当注意与葡萄胎、异位妊娠、子宫内膜骨化症等疾病进行鉴别。葡萄胎和异位妊娠的声像图表现见有关章节。子宫内膜骨化症是一种比较少见的疾病,多由流产后或分娩后部分胎盘或胎膜残留、钙化后形成。在临床上,病人常有流产史或异常分娩史。超声显像检查显示子宫大小、形态正常,宫腔内可见伴有声影的强回声,单发或多发,形态不规则(图5)。回声与不全流产时的胎儿骨骼残留相似。但追问病史,病人无近期阴道流血史,无腹痛及妊娠反应等。

图5 子宫内膜骨化症声像图:箭头示宫腔内可见强回声,深部伴声影
(五)过期流产
子宫小于停经月份,羊水部分吸收或完全消失,妊娠囊缩小或并其内部结构消失,宫腔内可见不规则妊娠产物形成的不均匀回声(图6),较晚的过期流产可显示胎儿骨骼形成的不规则强回声。结合临床可以诊断为过期流产。

图6 不全流产声象图:箭头示宫腔内不均匀回声,清宫证实为胚胎产物
(六)孕卵枯萎
子宫及其内部的妊娠囊小于停经月份,发生早期子宫大小可能无明显变化,孕囊大小、位置和形态可以显示正常,但子宫蜕膜反应多较轻;病程较长时可以发现孕囊变形或皱缩,内部无胚胎回声。一般认为,经阴道超声检查妊娠囊平均内径25mm无胚胎显示、或显示妊娠囊两周后复查不能显示胚胎回声、或可显示胚胎回声,但无心脏活动时均提示孕卵枯萎、胚胎早期死亡(图7)。正常发育的胚胎心脏活动几乎与胚胎同时显示,当胚胎>5mm时仍无原始心脏的搏动,即可认为孕卵枯萎、胚胎早期死亡。

图7 孕卵枯萎声象图:孕囊内未见胚胎显示
三维超声检查可以更好地显示宫腔内情况,有助于对不同类型流产的评估。