
不久前,一位患者李先生来到我院肾内科门诊,他满脸焦急地对张东亮主任医师说:“医生,我的一只胳膊肿得像大象腿,您快帮我看看这是怎么回事?”说着他脱下了上衣,在场的人都吓了一跳。


原来,老李5年前诊断为“尿毒症”,因进入透析时并没有提前建立动静脉内瘘,所以前半年老李一直使用右侧颈内静脉置管透析,4年前开始使用右前臂内瘘透析,今年2月还因“室性逸博、高钾血症、晕厥”于我院心内科行永久起搏器置入。
半年前,老李发现自己的右臂出现透析后肿胀,抬高前臂后可好转,但好景不长,肿胀逐渐加重且持续不减退,不但拔针后压迫止血时间越来越长,内瘘穿刺处还不时渗血,内瘘血管迂曲扩张呈瘤样改变。随着时间推移,老李的右胳膊粗到已经无法伸入衬衫袖子里,颈部前胸静脉迂曲扩张,这些变化不仅影响到了透析效果,也让一直穿衣搭配讲究体面的老李心情极度低落。
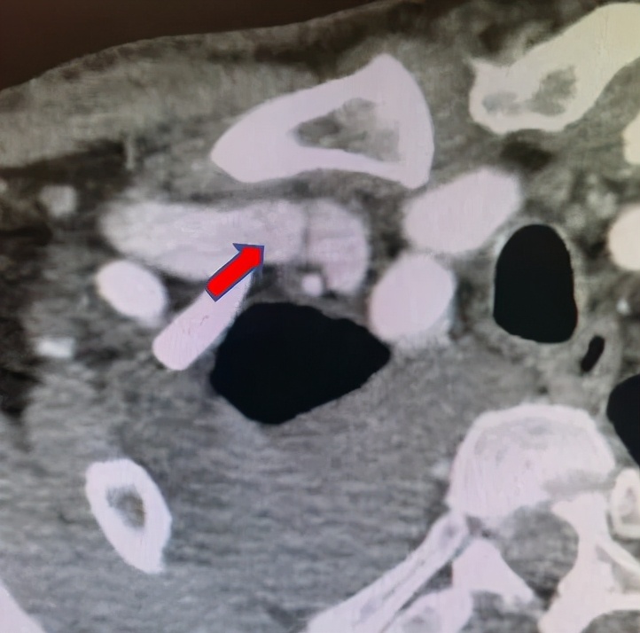
张东亮主任耐心听完患者的叙述,给出了诊断: “肿胀手综合征” 。肿胀手的主要原因是自体动静脉内瘘成型后,静脉发生动脉样改变,管腔内静水压力升高,当静脉血液回流不畅时就会导致压力进一步升高,从而形成患侧手臂显著增粗的病症,这在起搏器植入的血透患者中,发生率更高。张主任立刻为老李安排检查:首先是超声明确内瘘吻合口内径,发现血管流量尚可,静脉弓汇入锁骨下静脉处相对性狭窄伴迂曲。随后又进行了上肢及深静脉CT三维重建(CTA+CTV),发现主要病变为锁骨下静脉汇入头臂静脉处静脉瓣增生狭窄(如下图)



病变明确了,张主任当机立断,立即进行介入手术。张东亮主任医师与付晨主治医师在新建成的新龙泽院区介入手术中心进行了局麻下经皮穿刺血管内介入治疗。张主任凭借丰富的经验、娴熟的手法很快将超滑导丝通过病变部位,10mm高压球囊将狭窄部位扩张至无回弹,再次造影确认,心细的张主任又发现了新的端倪——近心端静脉还有一处狭窄!此前这一病变在CTA+CTV结果中并没有发现,张主任毫不犹豫,球囊再前进50mm、*压打**扩张,再次造影复测,血流通畅、侧支循环和返流消失。

狭窄的两处病变静脉在球囊的逐渐加压得以重新开通
术后患者当日皮肤褶皱出现,水肿开始消除。老李的生活质量得到了明显提高,又恢复了往日的谈笑风生。





肿胀手综合征 血液透析患者动静脉内瘘血管相关常见的并发症,与颈部深静脉导管置入、心脏起搏器、深部静脉瓣增生等有关,临床上主要表现为手部或上肢肿胀、静脉迂曲、疼痛,甚至可出现皮肤破溃、冻伤样表现等,严重影响了患者的透析质量和生活质量。
北京积水潭医院肾内科副主任、主任医师张东亮擅长透析血管通路手术,20年来完成深静脉置管、自体动静脉内瘘、人造血管动静脉内瘘、血管通路介入手术2000余例,而这台手术是北京积水潭医院肾内科首例DSA下中心静脉狭窄球囊扩张术,标志着我院肾内科构建北京北部区域透析血管通路诊治中心的开端。未来,在院领导和兄弟科室的支持下,肾内科将不断提高技术水平和服务质量,为京北地区广大透析患者带来更多福音。
张东亮主任医师专长: 血管通路、非肾脏病血液净化治疗、肾小球疾病、泌尿系疾病、肿瘤相关肾病、尿毒症、肾脏替代治疗、移植后肾脏管理。
出诊 时间: 周一上午、周二上午、周四上午
出诊院区: 新龙泽院区
文图丨肾内科 付晨
编辑丨靳晓方 于淼