(声明:本文仅用于科普用途,为了保护患者隐私,以下内容里的相关信息已进行处理)
今天有个老患者突然给我打电话,说她尿频、尿痛怎么办,我告诉她应该找泌尿外科大夫看一看,她说就相信我,当时住院时吓死了,现在活得好好的,说是我给了她第二次生命。她的话语让我想起那个惊心动魄的一幕。

一、 4年前,我接诊了一位52岁的女性患者
4年前,我接诊了一位52岁的女性患者,主要症状为绝经1年后阴道出血3个月,下腹阵发性疼痛4天。外院B超发现“盆腔肿物”(图1)。查体时发现盆腔可触及如孕4个月大小肿物,活动,肿瘤标记物:CA125>5000U/ml,人附睾蛋白>1500Pmol/L,初步诊断为:盆腔肿物(卵巢癌?子宫肌瘤?)。

图1 B超显示盆腔巨大肿物
二、患者的治疗过程
患者入院后,有绝经后阴道出血,腹痛及盆腔可触及包块,肿瘤标记物:CA125>5000U/ml,人附睾蛋白>1500Pmol/L,考虑盆腔恶性肿瘤,治疗的原则应手术切除。
完善术前检查及化验,评估手术风险,结果胸部及全腹CT示:盆腔占位,两侧肺动脉下叶支内充盈缺损,栓塞?患者可能有肺动脉栓塞,一活动可能要命,我当时在手术,一听CT报告,也惊了一身冷汗,赶紧给患者行肺动脉CTA,示:两侧肺动脉上下支多发充盈缺损,考虑栓塞,诊断为肺栓塞。双下肢深静脉B超提示:右下肢静脉血栓。
我急忙联系呼吸科,转科给予抗凝、抗血小板聚集、改善微循环治疗。肺部及双下肢栓塞溶解后,行手术治疗切除盆腔肿物及子宫、双附件和大网膜,手术持续3小时,术后患者恢复良好,术后一周顺利出院。
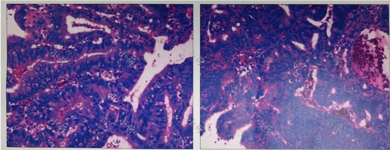
术后病理提示:子宫内膜样癌Ⅱ~Ⅲ级伴区域性神经内分泌癌分化,侵及肌层>1/2,宫颈内口受侵,宫颈外切缘阴性,卵巢子宫内膜样腺癌(图2)。术后诊断为:子宫内膜样腺癌Ⅲ期。
术后身体恢复后,给予放化疗,后定期复查,至今未发现肿瘤复发转移。最近一次复查,发现膀胱小结石,肿瘤标志物未见异常,CT未发现盆腹腔转移病灶。
【插个知识点1】术前检查的必要性
患者入院后,多数人是本着手术去的,对术前的好多检查不理解,认为我肚子有病为什么还查胸部,此患者住院后,根据B超及肿瘤标记物,很明显盆腔有块,又有腹部疼痛,有手术指征,若盲目进行手术,而不去详细的做各项检查评估患者的情况,患者的肺栓塞及双下肢血栓有可能要了命,通过这个病人,很能体会术前检查的必要性。
【插个知识点2】术后放化疗对延长无瘤间期的作用
许多人认为肚子里长了瘤子,切了就完了,还放化疗干什么,尤其是放化疗后的副作用,很多人无法忍受。有的患者不想手术,但给了麻药,醒了手术就做完了,术后虽然有些痛苦,但想到肚子里的瘤子被切了,病去了,心里得到了很大的宽慰,身体的痛苦也就减少了。
很多患者恐惧放化疗,认为进行放化疗前身体还好,放化疗完,身体虚弱许多,甚至不能进食,有的伴有剧烈的呕吐,苦不堪言。但此患者进行了放化疗后,术后至今无复发,可见术后放化疗对延长无瘤间期的作用。

图2 术后病理图片
......
(未完,见下篇)
点击下方“了解更多”,查看该医生记录笔记下篇
《绝经1年后阴道出血3个月,腹痛4天,52岁患者确诊子宫内膜癌》(下)
⇩⇩⇩