前不久,接诊了一位特别的小朋友:
宸宸2岁多的时候,说话老说不清,“包子”说成“八几”,别人基本上听不懂他在说什么,去医院剪了舌系带。
但现在4岁了,还是吐字不清,这是怎么回事呢?
爸爸有些后悔,怀疑孩子是不是白挨了一刀。

检查孩子的口腔力量
事实真是爸爸怀疑的那样吗?来看看是怎么分析的。
一、孩子吐字不清就是舌系带过短导致的?
首先,“孩子说话不清楚,不一定就是舌系带出了问题。”
① 舌系带过短会让孩子在一些,如向上伸舌的音(如t、d、n、l)、发翘舌音(zh、ch、sh、r)等方面产生困难。
因此,如果孩子不是主要在这些音上存在困难,则未必是由舌系带导致的。

② 临床上,真正由于“舌系带过短”造成宝宝的语音不清的情况,其实是极少的。
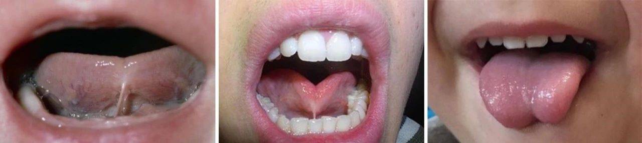
家长可以先观察孩子的舌头是不是下面的样子:
舌系带过短的一般表现
舌头抬起、移动困难,不能伸出来,舌头呈W型、爱心型或是V型 。

如果家长害怕判断错误,可以寻找徐磊院长的帮助
③ 还有2个知识点,家长要注意到:
第一点:舌系带一般在宝宝出生后的4~5年中会逐渐后退、伸展,对舌头的运动限制以及发音的影响会越来越小。
第二点:不是说剪了舌系带后就万事大吉了,宝宝说话肯定就会顺溜、标准了。
剪舌系带后需要配合构音矫正,纠正错误的构音习惯,才能逐步让孩子说话清晰。
所以像前面的宸宸,虽然做了舌系带手术,但4岁时发音问题还没有得到改善,原因考虑有3种:
A 宸宸语言问题并不是舌系带过短所造成的,白剪了;
B 小朋友还存在其他的发音问题;
C 孩子剪了舌系带之后,没有开展针对性的构音训练。
二、家长可以这样帮助孩子改善语言问题
除了语言问题,宸宸还有一个棘手的情况:他已经4岁多了,即将进入幼儿园。
为了尽快追赶同龄人,做好入园准备,我们要做2件事。
① 进行详细的医学检查、标准化的语言评估,找到宸宸说话不清楚的真正原因;
② 制定针对性的个别化教学计划(IEP)。

为小朋友检查舌头
医学检查及评估
孩子说话说不清楚的原因很多。医学检查和评估,可以帮助全面了解孩子的语言情况,方便制定康复训练方案。
医学检查,如听力排查,“听好”是“说好”的基础; 通过大脑核磁,了解宝宝的大脑发育,排查有没有脑损伤的情况;...
评估言语语言发育水平,如认知能力、理解能力、表达能力、发音清晰程度等。
智力评估,比如6岁儿童,智力水平才2岁,那么相对来说,语言的理解与表达训练则要侧重于2岁孩子的语言训练了。
制定个别化教学计划
找准问题所在,接下来就是制定干预训练计划了。针对性的教育计划包括3方面:教育康复、医学康复和家庭训练。
①专业的语言训练
首先要告诉大家的是,言语治疗是一项针对个体言语障碍的特征,所进行的一项专业性很强的治疗技术,与一般的拼音教学有很大的不同。
在训练时,我们言语语言治疗师起着至关重要的作用,同时专业的医学康复也是必不可少的。

图:言语治疗师让孩子用注意自己的口型

图:经颅磁治疗,通过改善孩子的大脑功能,提升语言能力
▼口肌生物反馈,通过电刺激咬肌、口轮匝肌,使得肌肉被动收缩,从而达到口肌的力量训练
视频加载中...
②家庭辅助训练
在孩子干预改善的过程中,家长和家庭扮演了重要的角色,并且对治疗的效果有着关键性的影响。比如:
A 按质按量完成好言语语言治疗师交代的家庭训练巩固作业。
B 根据建议,随时训练孩子的口肌能力、舌头灵活度等。
C 不要过度强调孩子的错误发音,多给予他鼓励,避免他产生挫折感、丧失主动性。
小朋友的语言改善需要持之以恒,不是一蹴而就的。
提醒各位家长
如果小朋友到了5岁,还没有得到及时地矫正,之后的训练相对会更困难,而且也会影响孩子在小学阶段的正常学习,以及他的性格养成。
今天的分享就到这里。
孩子说话晚是什么原因呢?
孩子上一年级,感觉有点自卑,怎么办呢?
想要了解更多的康复训练方法和家庭训练方式,大家可以给我们留言交流。