医脉通编译整理,未经授权请勿转载。
输尿管结石简介
大多数情况下,输尿管结石是指肾结石在排出过程中,于输尿管狭窄处受阻所致,原发性输尿管结石很少见。输尿管结石在青壮年人群中高发(30岁达高峰),其中男性多发,男女发病率比值为4:1。输尿管结石的常见类型请查看表1,结石形成的危险因素请查看表2。
表1 输尿管结石类型

表2 易形成结石的代谢紊乱

临床表现:输尿管结石的临床表现和肾结石相近,肾绞痛是其典型特征,表现为急性腹痛,疼痛常放射至骨盆、腹股沟或*丸睾**。输尿管结石还可伴有血尿。
影像学表现
结石常在输尿管狭窄处好发,以下为三个好发的地方:肾盂输尿管移行部、髂血管交叉处、输尿管膀胱连接部。在进行影像学检查时,我们可以重点关注这三处。
常规X光片:有症状一侧输尿管预期过程中的钙化60%是输尿管结石。当泌尿系平片结果为阴性时,30%患者可能出现结石。
B超:①单侧肾盂肾盏扩张(假阳性率高达10%);②症状性肾脏肾动脉阻力指数大于0.7;③患侧无输尿管喷射(可能存在部分梗阻性结石);④经腹、经直肠、经阴道超声可直接显示膀胱前结石。
CT(推荐):高灵敏度、特异性、准确性,所有结石成分均易于检测。
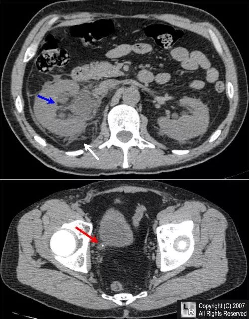
CT图像上可发现输尿管膀胱连接部水肿、肾周积液、肾脏增大等表现(图1)。

图1 输尿管结石阻塞。下腹部CT显示右肾增大伴肾周脂肪绞合(白色箭头),肾内集合系统扩张(蓝色箭头),输尿管膀胱交界处钙化灶(红色箭头),伴输尿管扩张