很多父母都会有这样的疑虑:“宝宝牙齿上有很多黑乎乎的东西,又不像蛀牙,怎么刷也刷不下去,能想办法去掉吗?”
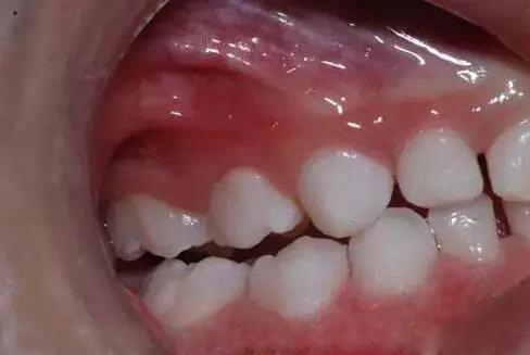
看,就是它!

小朋友牙齿上这些非蛀牙又黑乎乎的东西就是“色素”了。儿童一般在2-6岁,牙齿就开始有大量的软垢和色素。我们总认为只有成人才会有牙菌斑、色素、牙结石这些污垢,其实小朋友也会有牙垢的!
就像这样,黄黄的部分就是软垢,黑黑的就是色素。


小朋友牙齿上的软垢、色素能去除吗?
孩子们大多偏爱蛋糕、糖果、饮料等甜食,再加上口腔清洁往往马虎,因此特别容易有色素沉淀以及软垢。大量的软垢堆积在牙齿及牙龈附近,会导致牙菌斑长期存在,极易使孩子发生龋齿。
该怎么办呢?唯有去除掉牙垢、色素这些脏东西,还孩子一个干净健康的牙齿。有人会问了:“那不就和成年人洗牙一个道理吗?”说对了!其实在美国,小朋友大约从3岁左右(孩子可以配合牙医治疗的时候),就开始坚持每半年定期洗牙了。只不过儿童洗牙和成人洗牙的手法还是有些差别的。
小朋友该如何洗牙呢?
牙医在给儿童洗牙时,主要采用抛光,而非寻常意义的洁治。所谓抛光,是用柔软的橡皮杯配合儿童喜欢的水果味抛光膏对牙齿表面进行抛光清洁,以去除软垢及色素,从而达到保护牙齿的目的。
2-6岁的儿童很少有牙结石,只是软垢和色素比较多,牙医会用非常柔和的低速手机上的毛刷或抛光方式去除。
就像这样~

可以清晰的看到,抛光机前端的皮圈几乎套在牙齿上了,但是孩子一点也没感觉到疼,碰到牙龈甚至还有点痒痒的。
牙医做完抛光后,还会用牙线棒孩子的每个牙缝都做下清洁。

孩子洗过牙的牙齿,是不是干净很多?

除了洗牙,还有哪些保护小朋友牙齿的方法?
-
窝沟封闭
小朋友的牙齿表面有许多细小的裂隙和窝沟,容易藏污纳垢,刷牙也很难清洁彻底。窝沟封闭最适合3岁儿童的乳磨牙、6岁儿童的“六龄齿”、12岁萌出的第二恒磨牙。窝沟封闭的原理是在牙齿窝沟内涂上一种对人体无害的树脂,经固化后如同给牙齿穿上了一层保护衣。防止细菌的入侵,有效防止蛀牙。

-
涂氟保护
乳牙的牙釉质矿化程度低,抗龋能力弱。可以带着孩子去牙科给牙齿涂上一层保护漆,抵抗“糖衣炮弹”的威胁。
很多父母在担忧孩子牙齿健康的同时,只要记得定期检查、早预防早治疗就可做到防患未然。现代医学技术更加人性化,看牙再也没有你想象中可怕,孩子完全可以在轻松舒适的过程中完成诊疗了。
所以,请让宝宝的牙齿健康赢在起跑线!