73岁患者无明显诱因出现左鼻塞、流脓涕,CT平扫发现密度影,怎么诊断?

73岁患者无明显诱因出现左鼻塞、流脓涕,CT平扫发现密度影,怎么诊断?

影像资料

73岁患者无明显诱因出现左鼻塞、流脓涕,CT平扫发现密度影,怎么诊断?

男,73岁,以“左鼻塞流脓涕4个月”为主诉入院。诉缘于4个月前无明显诱因出现左鼻塞、流脓涕,伴左侧鼻腔嗅觉减退,偶有出血(2-3次)。鼻内窥镜示:鼻腔粘膜弥漫性充血肿胀,左侧鼻腔见一新生物完全充满其内,无空隙,表面附着清粘涕及少许血迹,右侧下鼻甲肥大,右侧中下鼻道狭窄,右侧鼻咽部光滑,右侧咽隐窝存在。

73岁患者无明显诱因出现左鼻塞、流脓涕,CT平扫发现密度影,怎么诊断?

73岁患者无明显诱因出现左鼻塞、流脓涕,CT平扫发现密度影,怎么诊断?

73岁患者无明显诱因出现左鼻塞、流脓涕,CT平扫发现密度影,怎么诊断?

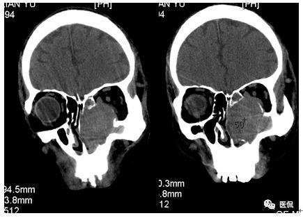
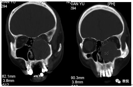
冠状位平扫

73岁患者无明显诱因出现左鼻塞、流脓涕,CT平扫发现密度影,怎么诊断?

73岁患者无明显诱因出现左鼻塞、流脓涕,CT平扫发现密度影,怎么诊断?

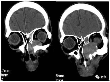
增强动脉期

73岁患者无明显诱因出现左鼻塞、流脓涕,CT平扫发现密度影,怎么诊断?

增强水平位FST1WI

73岁患者无明显诱因出现左鼻塞、流脓涕,CT平扫发现密度影,怎么诊断?

增强静脉期

73岁患者无明显诱因出现左鼻塞、流脓涕,CT平扫发现密度影,怎么诊断?

每天的病例都需要您的思考才会有更多的收获,同时朋友圈和自己的小伙伴们多交流交流!病理结果就在下边,但请记住:多一份思考,多一份收获!

怎么读片?

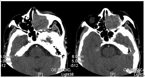
CT平扫及增强示:左侧上颌窦及鼻腔可见软组织密度影,呈膨胀性生长,周围骨质压迫性吸收破坏,累及左眶,病灶密度不均匀,周边区可见点状钙化,增动脉期轻度强化,局部见小灶性稍高密度区,静脉期病灶内见不均匀明显强化,CT值最高达117HU,延迟期强化范围有所增大。

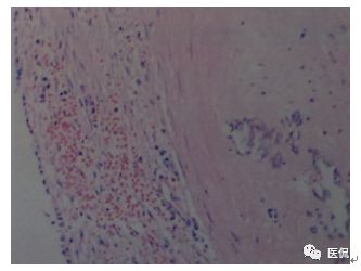
病理诊断

行全麻鼻内镜下唇龈沟双径路左上颌窦肿物摘除术。病理:鼻粘膜慢性活动性炎,间质广泛陈旧性出血,血肿形成、机化、钙化,纤维组织明显增生、包绕。

73岁患者无明显诱因出现左鼻塞、流脓涕,CT平扫发现密度影,怎么诊断?

左上颌窦出血坏死性息肉。

病例讨论

出血坏死性息肉临床上较少见,是一种以出血坏死为特征的特殊类型的慢性上颌窦或(和)鼻腔炎症,组织学上常表现为以血管增生坏死为主的血管息肉,部分为水肿型、腺体型或纤维型,间质内有较多的慢性炎症细胞浸润,局部有坏死组织及陈旧性血块。其发病原因和机制尚不明确,有人认为窦腔内有息肉存在,因息肉扭转使静脉回流障碍,血管内压增高,导致息肉损伤及其血管破裂出血,用力抠鼻及外伤等因素导致本病的可能性较大。本病发病年龄以青壮年居多,临床主要症状为鼻塞、鼻出血或涕中带血,病灶较大时可引起面部畸形,眼球突出。好发于上颌窦及鼻腔,其他鼻窦亦可累及。

影像学表现呈软组织密度,多不均匀,表现为高低混杂密度,病变窦腔内息肉、血肿、坏死、感染共存,是病灶密度不均匀的主要原因,息肉反复出血、血管机化亦为其成因之一。病灶内钙化,可为团块状或小片状,可能为病变组织坏死后钙质沉着所致。由于病变组织内有大量炎性细胞浸润和丰富的毛细血管,增强后常有强化。有文献报道病灶增强中心区强化不明显,外周呈轻度强化,推测病灶内虽然血管丰富,但中心区容易出现血流动力学障碍,血管内常有血栓形成,中心区易发生出血坏死,另外,可能与增强扫描延迟时间选择不当有关。

本例病灶较大,周围骨质可见吸收破坏,并累及眼眶,病灶内少量钙化,增强扫描具有一定特征性,表现为动脉期轻度强化,局部见小灶性稍高密度区,静脉期病灶局部呈明显强化,CT值最高达117HU,延迟期强化范围有所增大,呈延迟渐进性强化的特点,推测为病灶内出血所致。