近日,我们医院骨二科收治了一名危重而特殊的患者,患者16岁,身材矮小,因车祸导致双侧股骨干骨折,作为青少年骨折患者,身体尚未发育成熟,骨骺线未完全闭合,如果采用传统的切开复位钢板内固定的手术方式,伤口较大,剥离骨膜,较容易破坏血运,出现骨折延迟愈合,甚至不愈合、感染等并发症,而且必将影响患者的生长发育,如何保障孩子能够健康成长,又能以最小的创伤恢复病情,成为摆在威海市中医院骨二科王钦楠主任和团队面前的一道难题。

双侧股骨干骨折术前照片
经过骨二科全科人员的商讨后,全麻下行闭合复位髓内钉内固定术的手术方案基本确定。但就国内目前而言,有关髓内钉固定治疗骨骼未成熟的股骨干骨折的疗效研究的样本较小。而且,孩子身高仅160cm,形体偏瘦,测量股骨髓腔最细处约6-7mm,而成人最细髓内钉髓直径大约9mm,无法使用。王钦楠主任积极联系厂家及器械公司,适合的髓内钉终于及时到位,在克服一系列困难及相关科室的支持下,作为威海市首例、山东省第二例同类手术,顺利完成,患者目前已开始负重功能锻炼,病情恢复良好。


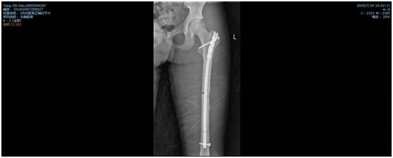
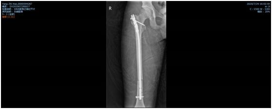
双侧股骨干骨折术后照片
在西医手术理念及各种外部因素的冲击下,中医传统正骨技术正在一步步边缘化,甚至面临失传的风险,有人曾无不担忧的说,往前看20年,中医正骨高手有很多,往前看10年,虽然减少,但是还是有人在做,往后看10年,优秀的中医正骨人员就凤毛麟角了,再往后看20年,恐怕这种技术真的要失传了。

锁骨干骨折术前照片

锁骨干骨折术后照片
但是在威海中医院,中医正骨手法后的闭合穿针术作为传统优势项目,从王培森主任到王钦楠主任及骨二科团队,这项中医传统优势技术正得到完整传承及创新。


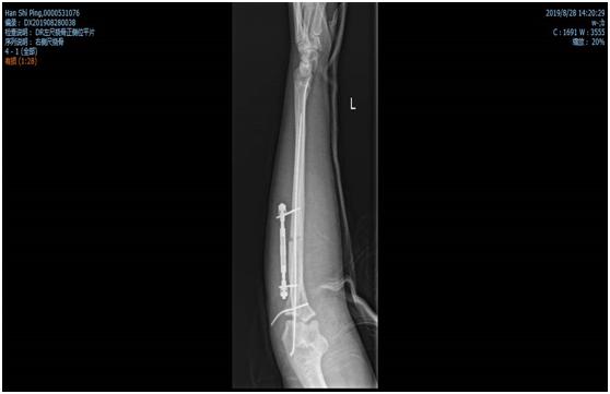
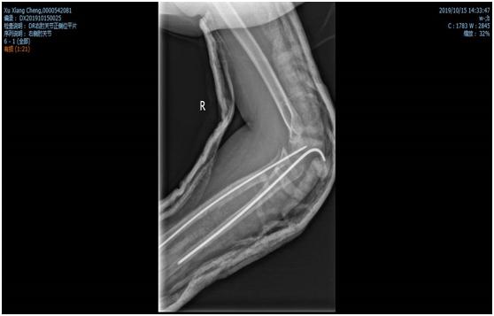
部分骨折中医正骨穿针术后
闭合穿针是采用手法复位技术,应用克氏针内固定,配合石膏外固定,治疗常见四肢骨折,优势明显,具有恢复快,美观、不残留畸形,不需二次手术等特点。 相对于钢板内固定需广泛剥离骨膜破坏血运,骨折愈合慢,术后不能尽早持重(负重),二次手术取钢板等问题。闭合穿针不破坏骨折端血运,骨折愈合快,使患者早期投入到生产生活中。适用于各类四肢骨折,如上肢:锁骨骨折、肱骨外科颈骨折、肱骨干骨折、前臂各种尺桡骨骨折等。下肢:股骨干骨折、胫腓骨骨折,踝关节骨折、跟骨骨折等。

从内到外的完美愈合。
闭合穿针作为一种无创的治疗方法,能达到比较好的复位,对骨折进行了稳定,所以不容易错位。同时对于骨折、骨膜的破坏、软组织的破坏程度最小,有利于骨折愈合。闭合穿针的开展,大大缩减了骨折病人的开放性手术量。作为建立在中医正骨基础上的微创手术方法,值得我们中医代代传承下去。

传承创新中的骨二科团队
“把看病故事化,将治疗通俗化”,我是威海中医院中医全科医生宋国政,结合临床生动的案例,用中西医两种思维来分析,用通俗易懂的语言来描述,希望能够在中西医融合、学术交流、养生保健等方面,为同行、朋友、民众提供一点点力所能及的帮助!码字不易,如果您赞同我的观点,请关注或点赞,如果您的家人朋友也有这方面的困扰,请把这篇文章转发给需要的他们,谢谢了!
“全科医生说医事”,咱们下回继续!