不想错过界哥的推送?
戳上方蓝字“医学界心血管频道”关注我们
并点击右上角“···”菜单,选择“设为星标”

近日,在医生站中复旦大学中山医院呼吸科的老师为我们分享了一例大量胸腔积液的病例,本病例通过详细的询问病史和一些蛛丝马迹的线索对患者进行针对性的查因,最终确立诊断,其中的诊治思路非常值得我们去学习,下面我们一起来看一下这个病例。
整理丨gentle_li
讲者丨丁旻 复旦大学中山医院呼吸科
来源丨医生站
病史简介
┃ 现病史
患者邵xx,女性,54岁,以“活动后气急伴咳嗽、右胸痛3月”为主诉入院。
患者于2018年8月始出现活动后气急,伴干咳,伴右侧胸痛,无发热、盗汗、咯血,无浮肿、心悸等不适。曾至慈溪市人民医院就诊,B超及胸部CT提示右侧大量胸腔积液,予行胸腔穿刺。
胸水检查示:红色,混,白细胞(WBC) 2242/ul,红细胞(RBC) 970000/ul,单核20%,多核10%,间皮70%,腺苷脱氢酶(ADA )8/ul,乳酸脱氢酶(LDH) 361IU/L,总蛋白 53g/L,癌胚抗原(CEA) 0.6ng/L。
胸水包埋病理:较多间皮细胞,少量淋巴细胞,未见癌细胞。
2018-8-28胸部增强CT:右下肺少许实变,右侧少量胸腔积液,两肺间质改变,散在纤维灶,双侧胸膜局部增厚钙化。
因病因不明,遂于2018-11-26入中山医院住院。
┃ 既往史
于26年前因卵巢破裂出血行手术治疗,余无特殊。无不良嗜好。1998-2003年曾在石棉制品厂工作。
┃ 查体
入院查体:体温 36.5℃,脉搏 70次/分,心率 20次/分,血压 126/85mmHg。神志清,精神可,口唇无明显绀,右中下肺野呼吸音稍减弱,双肺未闻及啰音及胸膜摩擦音,心率70次/分,律齐,未及杂音;腹平软,肝脾肋下未及,双下肢无浮肿。
┃ 入院后完善相关检查
•血常规、肝肾功能、凝血功能均正常,随机血糖8.9mmol/L
•C反应蛋白(CRP) 0.9mg/L,T-SPOT:A抗原0,B抗原0。
•肿瘤标志物:CEA、CA125、CA199、NSE、SCC、CYFRA21-1、ProGRP均正常。

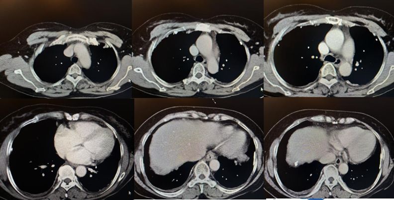
图示:2018-11-27胸部CT影像
带着问题去思考,该患者下一步的诊疗措施是什么?
很显然,该患者主要的特点就是右侧大量胸腔积液,以及活动后气短、胸痛。
我们不妨沿着胸腔积液这条线摸索,那必然就要涉及到不明原因胸腔积液的诊断思路。
鉴别如何分布走,请看下文
┃ 第一步:回归病史,综合判断
详细追问病史,注意伴随症状,过去的诊疗经过,个人史、家族史,体征、影像学表现等。
┃ 第二步:对胸腔积液进行分析
1、外观
(1)血性提示肿瘤、结核或肺栓塞;
(2)白色乳样提示乳糜胸或胆固醇积液;
(3)棕色提示慢性血胸或阿米巴肝脓肿;
(4)黑色提示曲菌病;
(5)黄绿色提示结核或类风湿性胸膜炎;
(6)脓性提示脓胸。
2、根据Light标准区分漏出液和渗出液
漏出液考虑以下疾病:充血性心力衰竭、肝硬化与肝性胸腔积液、肾病综合征、腹膜透析、低蛋白血症、肾小球肾炎、上腔静脉阻塞、尿胸等。
渗出液考虑以下疾病:肺癌、肺炎、结核、肺结核、真菌感染、结缔组织病累及胸膜、恶性间皮瘤等。
3、胸腔积液的细胞学分析
胸腔积液中的中性粒细胞占优势常提示炎症,淋巴细胞超过50%提示恶性肿瘤和结核可能;大部分结核胸腔积液间皮细胞少1%;半数以上的癌性胸水内可查到癌细胞,血性积液阳性率更高。
4、胸腔积液ADA
ADA是诊断结核性胸腔积液的重要指标之一。普遍接受的胸腔积液ADA的诊断阈值是40U/L。
┃ 第三步:可选择的检查
1、经皮穿刺胸膜活检:可以在B超或CT引导下进行。
2、内科胸腔镜:可窥视整侧胸腔,并可在直视下多部位取到足够的标本,诊断率高。
3、纤维支气管镜:对尚未发现肺部有病变的胸水病例很少帮助。
结合实际病例具体分析
了解了以上三步分析流程,我们再来结合该患者进行分析:
•患者女性,以气急、胸痛、干咳为主要表现,无结核中毒症状,在详细询问病史后得知患者20年前有石棉接触史(持续5年)。
•外院检查示右侧胸腔积液,抽液检查为血性胸水,生化提示渗出液,胸水ADA 8/ul。
•胸水包埋病理:较多间皮细胞,少量淋巴细胞,未见癌细胞。
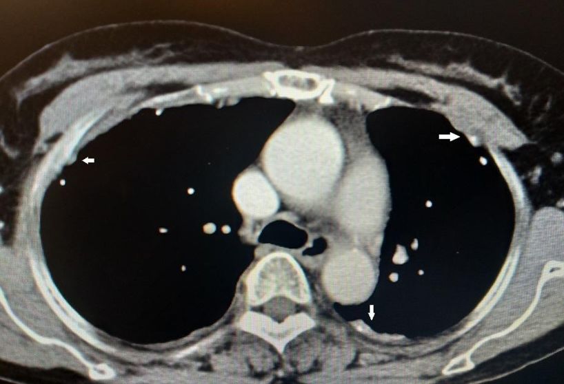
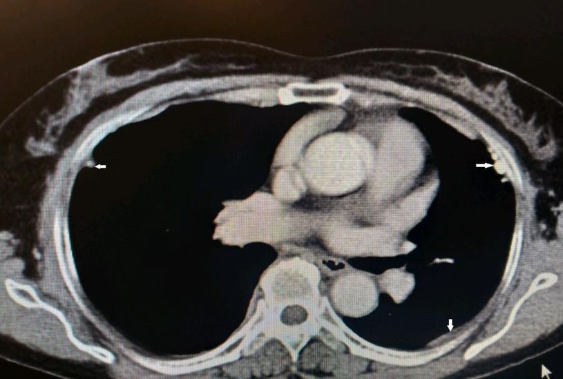
•入院后查血肿瘤标志物正常,T-SPOT阴性。胸部CT见两肺内少许絮索条影,两侧胸膜结节状增厚伴散在钙化。

图示:患者两侧胸膜可见结节、钙化影(白箭)
到目前为止,除了胸腔积液之外,仔细阅读该患者胸部CT发现该患者的另外一个特点就是胸膜增厚、结节、钙化影。通过这一线索,不排除有胸膜来源疾病的可能。
所以,进一步的检查就选择了胸腔镜对胸膜进行活检。2018-11-28于全麻下行经胸腔镜胸膜活检术,镜下见脏层胸膜两枚小结节,壁层胸膜见散在片状及结节状白色钙化灶,部分胸膜肿胀隆起,触之质脆,分别于病灶处钳取多块组织送病理学检查。

图示:胸腔镜检查图像,左图中可见到小结节

图示:胸腔镜取组织送病理
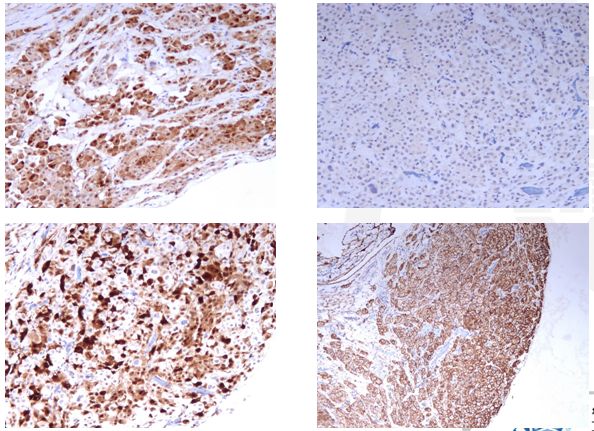
病理结果回报:

图示:患者病理图片
结合患者石棉接触史、临床表现、影像学特点、病理诊断及免疫组化结果,该患者最终诊断:恶性胸膜间皮瘤。
延伸阅读:胸膜间皮瘤
恶性胸膜间皮瘤是胸膜最常见的原发肿瘤,有局限型和弥漫型之分,其中弥漫型恶性间皮瘤较常见,是胸部预后最差的肿瘤之一。流行病学调查显示大多数恶性间皮瘤的发病是与石棉接触相关,从石棉暴露史到发展为间皮瘤之间的潜伏期在20-40年。故在询问病史时应注意特殊职业史。
胸膜间皮瘤的临床表现缺乏特异性,主要表现为持续性胸痛和呼吸困难,胸痛通常为非胸膜性疼痛,随着胸液量的增加,胸痛不缓解,而是逐渐加重。
影像学主要表现为胸腔积液、胸膜肿块和胸膜增厚。典型的表现为胸内弥漫性不规则胸膜增厚和突向胸膜腔内的驼峰样多发结节,呈波浪状阴影,在胸液引流后行X线检查可能发现肺部网状阴影、胸膜斑等石棉接触的证据。
胸腔积液细胞学检查对间皮瘤的诊断率为21%-36.7%,盲穿胸膜活检诊断间皮瘤的阳性率较低(30%),B超或CT引导下胸膜活检可增加诊断阳性率。
胸腔镜检查是诊断胸膜间皮瘤的最佳手段,优点是视野范围大,对肿瘤形态、大小、分布和邻近脏器受累情况了解较为充分,并可在直视下多部位取到足够的标本(有研究表明,胸腔镜对胸膜间皮瘤诊断率可达98%)。
恶性胸膜间皮瘤根据组织学特点主要分为上皮样型、肉瘤样型和双相型,免疫组化在间皮瘤的鉴别诊断中起到非常重要的作用。
恶性胸膜间皮瘤的治疗主张采用手术、化疗、放疗等多种方法相结合的综合治疗。NCCN指南推荐由具有恶性胸膜间皮瘤丰富经验的多学科协作组管理恶性胸膜间皮瘤患者。
学习体会
通过这个病例,可以给所有临床医生一个提示:询问病史非常重要。对怀疑胸膜间皮瘤的患者,询问石棉的接触史是必须的。
另外,不要放过任何一个蛛丝马迹的线索。患者胸部CT胸膜增厚、钙化,不要轻易把它放过,要想到有胸膜来源恶性肿瘤可能。而对于反复胸水而又找不到任何原因的患者,一定要积极进行内科胸腔镜检查进行组织病理诊断。

★《病例迷踪》第六期★
本文整理自医生站在线视频课程《呼吸疾病临床思维(第15期)——二十年前的“因”》由复旦大学中山医院呼吸科丁旻老师精彩讲授,欲知完整版课程内容,请登录医生站APP观看。
如何*载下**医生站?
按住图中二维码3秒钟,识别二维码后,按提示步骤*载下**并安装。