五一小长假你们都做了些什么呢?
如果大家假期没有什么特殊安排的话,我倒是推荐女性朋友,可以来一场说走就走的「妇科一日游」!(没开玩笑,我很认真的!)
平时在给大家科普妇科知识的时候,都会记得提醒大家一定要定期去医院体检。(毕竟定期体检是真的真的真的真的很重要!!!)
但很多姐妹都对「体检的频率」以及「妇科检查的项目」存有疑虑,今天就专门整理了一篇关于妇科检查的要点,包括什么情况去需要进行妇科检查、常见的妇科检查有 那 几项、妇科检查有哪些注意事项等。
当大家对这些事情有一个全面的了解后,就可以更有针对性地去医院进行体检啦~那不多啰嗦,赶紧拿出小本本来,我们准备上课!

在介绍检查项目之前,要首先跟大家强调一点,那就是
没有*生活性**的人,也要进行妇科检查!
没有*生活性**的人,也要进行妇科检查!
没有*生活性**的人,也要进行妇科检查!
毕竟没有*生活性**≠不会得妇科病,关于这一点,很早以前就有跟大家科普过了
所以无论你是否有过*生活性**,只要你是女生,并且年满20岁,就一定要每年至少进行一次妇科检查。

毕竟很多疾病在发展初期几乎不会有什么异常症状,我们自己很难有所察觉,只能通过妇科检查去发现。
所以定期检查是非常非常重要的,早发现才能早治疗,避免疾病在我们身体中不知不觉恶化,错过最佳的治疗时期。身体是自己的,要好好爱护哦!

当然啦,以上说的两个条件(年满20岁&每年体检一次)并不绝对,毕竟未成年人也会有患上妇科疾病的风险,身体也总会因为各种各样的原因出现异常情况。
所以无论你的年龄多少、上次体检是在什么时间,只要发现自己的身体出现了如小腹疼痛、白带异常、不规则流血等异常情况,还是尽早去医院进行检查治疗比较好。

接下来我们再来重点说一说妇科检查的项目有哪些?

妇科常规说白了,就是把自己“扒光了给医生看”的检查项目。
躺在检查床上,张开双腿,让医生通过看&摸,来检查外阴、阴道、子宫、宫颈、卵巢、输卵管等部位发育情况是否良好,以及有没有存在异常症状。

虽然脑补这个画面(以及接下来的各项检查的画面),可能会稍微觉得有点“羞耻”,但大家千万不要因为害羞或不好意思就拒绝去检查。
毕竟医生经常要接诊各种各样的病人,他们看检查床上的患者,就和厨师看案板上的白条鸡的心情是差不多的。(打个比方,就是打个比方…)
大家来医院,就是为了确定自己的身体状况是否存在异常,而医生的职责就是帮助你确定这一点,所以一定要暂时抛开自己的“羞耻心”,好好配合医生检查才是正经的。

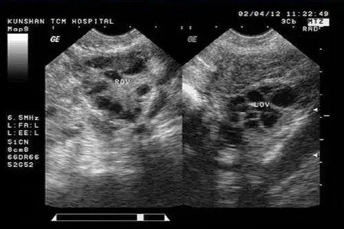
B超可以说是妇科检查的必查项目了,通过这种超声波检查,可以观察到你是否有宫颈疾病、子宫内膜疾病、子宫肌瘤等异常情况。
一些常见的妇科问题(如盆腔积液、多囊卵巢等),也都是可以通过B超观察到的。

B超检查的方式有3种:腹部B超、经阴道B超以及经直肠B超。
其中,腹部B超是最简单方便,也是更适合没有过*生活性**以及阴道部位存在异常的人的检查方式,但检查之前需要憋尿,相对来说也没有特别准确。
经阴道B超以及经直肠B超,不用憋尿,检查结果也更准确,但同样需要你放下“羞耻心”。(还是想再多啰嗦一句,都来医院检查了,“羞耻心”这种东西,就先暂时放下吧~)

白带常规通常是对白带的清洁度、pH值、白细胞、细菌、霉菌、滴虫等项目的检查。这一项可以帮助我们了解自己是否存在阴道炎、什么类型的阴道炎等情况。

检查方法非常简单,只要乖乖配合,让医生从阴道中取出一些分泌物,然后等待检测报告就可以了~
不过在进行白带常规检查前,最好不要把*处私**洗的太干净,或者可以完全不洗,这样出来的检查结果才会更准确哦。

TCT是thinprep cytologic test(宫颈细胞学检查)的缩写,它是目前最先进的一种宫颈癌细胞学的检查技术,也是广泛筛查子宫颈癌最简便有效的方法。
检查的方法就是用一把小毛刷,来采集宫颈部位的细胞并进行检测。

通过TCT检测,可以尽早发现是否存在早期宫颈癌以及癌前病变的现象,帮助大家早发现早治疗。
毕竟宫颈癌是一种非常常见的女性恶性肿瘤,发病率也是很高的,所以TCT检测绝对不是可有可无,一定要重视。

HPV(人乳头瘤病毒)大家应该都不陌生了,检测HPV的目的,主要就是要观察宫颈部位是否存在病变的问题,检查方式和TCT检测大致相同。
在防宫颈癌筛查这方面,HPV检测通常都是需要和TCT检测一起打包进行的,这样得到的检测结果才会更有指导意义。

性腺六项通常也被叫做性激素六项,是一项抽血的检查项目。
它是通过观察雌二醇、孕酮、卵泡刺激素、黄体生成素、催乳素和睾酮这六项的检测情况,并结合B超的检查结果,来判断内分泌是否存在异常情况。

如果大家有月经不调、备孕困难等情况,或是一直觉得自己内分泌可能不太正常的话,就可以考虑去抽个血、查查性腺六项啦。

除此之外,还有虽然不属于妇科的范畴,但是对于我们女生来说同样非常重要的乳腺检查,大家也要定期进行哦。(话说有姐妹想看乳腺方面的科普吗?留言区告诉我哦!)