
那是多年前的事了。一位孕38周的准妈妈,因为阴道出血,同时出现胎心率急剧下降、胎心监护异常,虽急诊剖腹产术,最终亦无法挽回胎儿的生命,甚是惋惜,术后提示帆状胎盘。
相信很多的产科医生经常碰到,很多的孕妇均是安全顺利分娩后,医生检查胎盘时才发现的胎盘异常,这时大多是一身冷汗。由于发生在身边的事例以及论坛自媒体的广泛传播,很多准妈妈谈“帆状胎盘”色变!
那么什么是帆状胎盘呢?
顾名思义,其以帆船形状来命名。在解释该病之前,我们来了解一下正常胎盘及脐带以及两者之间附着的关系,会有助于加深对帆状胎盘的认识。
胎盘是一个非常复杂精细的血管网系统,母体血以及胎儿血经过该系统完成了物质交换过程。通过该系统,母体为胎儿提供营养物质及氧气,同时将胎儿血液中的代谢物及二氧化碳带走。
另外,正常的胎儿脐带内有三根血管,分别是一根静脉、两根动脉,呈“品”字形分布排列,三根血管之间及周围存在一种非常重要的物质,医学上称为华通胶,华通胶含水量丰富,它可以有效保护、支持血管,减缓脐带血管的撕裂及受压。正常情况下,脐带附着在胎盘的正中或旁正中,比例约占90%。

接下来讲讲帆状胎盘,帆状胎盘与正常胎盘的差别在于:脐带并不附着胎盘上,而是胎盘之外的胎膜上,那么这个时候脐带的血管分散成数条分支呈扇形分布走行,这些分支最终连于胎盘边缘部分,这些呈扇形分布的血管分支走行在羊膜和绒毛膜之间,形成一膜状结构,如帆船的帆布,故称帆状胎盘。由于这些血管分支的周围失去了正常的脐带结构,缺乏华通胶的支持,极易发生血管破裂,特别是当这些血管分支位于胎先露(分娩时最先进入骨盆入口的胎儿部分)下方,跨越或接近宫颈内口时,当血管受压或胎膜破裂时血管撕裂,可造成胎儿缺氧或急性失血,医学上称之为血管前置。这种出血属于胎儿出血,由于足月胎儿体内血容量约250ml,如失血量超过20%-25%(50 ~ 60ml),即可发生胎儿失血性休克,因此胎儿死亡率极高。
虽然现代医学科学持续的发展成熟,但目前帆状胎盘的病因对我们而言仍是一个未解题。不过大多数医学专家比较认可“向营养性”学说,该学说认为脐带附着在胎盘的位置在胚胎发育早期是正常的,后来由于原先胎盘部位的子宫内膜发育不良或内膜炎,胎盘会向血供丰富的方向生长,从而使得脐带逐渐变为偏心至边缘,甚至游离于胎盘外。另外,研究分析指出前置胎盘(胎盘位置过低或覆盖宫颈内口)、胎盘呈双叶或多叶、副胎盘等胎盘异常及双胞胎、多胞胎等是帆状胎盘发生的危险因素。临床实践也发现高龄产妇,特别是有剖宫产及多次流产史的女性,更加容易导致帆状胎盘,可能是由于上述因素单个或多个协同作用损伤子宫内膜,容易导致胎盘部位的血供不足。
帆状胎盘如果合并有血管前置,往往会在妊娠晚期或破膜后立即出现无痛性阴道持续少量流血,色鲜红,同时出现胎心率急剧下降,这个时候说明前置的血管发生破裂或受压迫,直接提示胎儿处于极度危险处境之中。不过,帆状胎盘也不总是那么可怕,如果脐带血管位于胎先露上方,对胎儿基本无明显的不良影响。

综上,大家可能会问,有没有一种特别有效的检查方法能在产前对帆状胎盘做出正确诊断,从而在胎膜破裂前选择性的进行剖宫产,从而降低胎儿的死亡率?很可惜,目前并没有特效的诊断方法。帆状胎盘尤其血管前置时,多因妊娠晚期或破膜后立即出现无痛性阴道流血,常误诊为前置胎盘、胎盘早剥或见红等。不过帆状胎盘的阴道出血来自于胎儿,而后三者阴道流血来自母体。确定阴道出血是否来自胎儿或母体目前有很多的实验室检查方法。
临床上一般采用Ogita试验法,简单易行,时间短。取阴道鲜血标本做涂片,若找到有核红细胞或幼红细胞,可作出诊断,因为如果孕妇没有相关的血液疾病,该类细胞仅仅来自于胎儿。在血标本内加入碱性液摇匀,2分钟后加入预先制备的溶液,取混和液滴于滤纸上,30秒后观察,如为抗碱性的胎儿血红蛋白,在周围可形成一个带色的圈。该方法对于阴道少量出血时,可迅速作出诊断,但是出血量多时,因病程进展较快则往往无济于事。另外,如孕妇足月自然分娩时需人工破膜,医生往往需经阴道检查,如果存在帆状胎盘血管前置,手指可触及羊膜上固定的血管搏动,频率和胎心率是一致的。有人建议使用羊膜镜检查,虽然效果更可靠,但其为侵入性检查、费用及技术含量高,很难普遍开展。
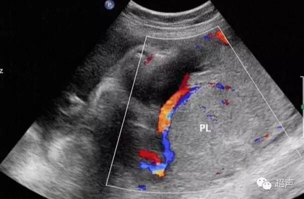
不过临床上还有一种常用且简便可靠的发现诊断帆状胎盘的方法,那就是彩色超声多普勒技术,随着超声技术的不断发展和广泛应用以及超声医师对帆状胎盘认识的提高,产前帆状胎盘的检出率逐年提高。
超声检查可以观察胎盘类型、位置、脐带附着于胎盘的部位,部分孕妇需经阴道超声检查的,还可以比较清楚的显示宫颈内口及其周围的结构、胎膜上前置血管的走行情况。
研究发现,产前超声有目的地观察胎盘脐带附着部位,可提高帆状胎盘的显示率,诊断准确率可达91%。但是超声作为一种有效的检查方式,亦存在许多的影响因素,如孕周过大或过小,羊水过少,胎盘位于后壁以及胎儿位置的干扰等,从而降低了检查的正确率。
综合文献报道,宜在16~28孕周间进行系统胎儿超声筛查,着重关注胎盘脐带附着点。国内有产科专家统计单胎在孕28周前、双胎在孕20周前是诊断帆状胎盘的最佳时期,诊断符合率达97.7%。虽然孕11~14周即可清晰显示脐带胎盘附着点,但随着孕周的增大,胎盘因子宫增大而发生移位,部分早孕期显示正常胎盘脐带位置结构,中孕期有可能进展为帆状胎盘。妊娠晚期,由于羊水量、胎儿和胎盘位置影响更加明显,尤其是后壁胎盘,很多胎盘脐带附着点显示不清,极易漏诊。
帆状胎盘一经确诊,应加强对胎儿的监测,若未发现明显胎儿缺氧征象或母体并发症,可等待至孕 37 周后择期剖宫产术。孕妇若有早产风险,应在孕30~ 32 周住院观察,如出现胎心监护异常或胎儿窘迫,及时剖宫产终止妊娠。如产前未确诊,妊娠晚期或分娩过程中出现阴道出血同时伴胎心改变,在排除前置胎盘、胎盘早剥、见红等后,需高度怀疑帆状胎盘并前置血管破裂,及时确定出血来源,同时迅速采取措施结束分娩。

总之,对于帆状胎盘,我们需要谈“虎”色变的担心,但如有能力做到“知己知彼”,其实帆状胎盘也并不可怕。由于存在检查技术的客观局限性,需要医生、准妈妈们的及时有效沟通,及时发现帆状胎盘的“蛛丝马迹”,防范于未然,将风险减少到最低!
来源:即时超声
【版权声明】本平台属公益学习平台,转载系出于传递更多学习信息之目的,且已标明作者和出处,如不希望被传播的老师可与我们联系删除
喜欢本期内容的 求收藏 求转发
如果您有ct片问题也可以直接头条私信
想要知道更多的放射科相关内容可以微信关注放射沙龙公众号
或者直接在应用商店*载下**放射沙龙app与放射科医生在线互动学习