
文字/喵喵
编辑/喵喵
«——【 ·前言· 】——»

核因子-κB (NFκB) 通路是骨骼肌萎缩的主要通道,由多种刺激驱动,只要通过其经典介质 IKKβ 靶向抑制 NFκB,就能有效减轻多种情况下的肌肉质量损失。
本研究中,我们会使用正常功能和丧失功能的小鼠模型来研究 NFκB 在肩袖肌腱切断术(一种慢性肩袖撕裂模型)后肌肉萎缩中的作用,通过在肌肉特异性诱导的转基因小鼠中敲低或过度表达IKKβ,证明NFκB信号传导能否增强或丧失。

实验最终的目的是为了揭示腱切断术引起的萎缩并不依赖于 NFκB,而是以性别特异性方式受到自噬的调节,从而进一步确认这种性别特异性是由纤维横截面积的持续减少驱动的。
我们确信,NFκB在这一过程中并不具有主导作用,而这些研究成果将为我们深入理解肌肉退化的机制提供新的视角,同时也为未来的干预策略研发提供了明确的临床前景应用。

一、实验与手术设计
在此实验中,我们对雄性和雌性小鼠进行了研究,包括肌肉特异性条件性 IKKβ 敲低小鼠(IKKβ MKD)、肌肉特异性条件性激活 IKKβ 小鼠(IKKβ MCA)以及作为对照的同窝对照小鼠(6-8 个月龄)。
IKKβ MKD 小鼠是通过将 Ikbkbtm2Cgn 小鼠与 HSA-MCM 小鼠进行交配产生的,使用他莫昔芬递送诱导成熟肌纤维中 IKKβ 基因的敲低,而 IKKβ MCA 小鼠则是将 Gt(Rosa26)tm4(Ikbkb)Rsky 小鼠与 HSA-MCM 小鼠进行交配产生的,使用他莫昔芬递送诱导成熟肌纤维中 IKKβ 的活化形式的表达,未表达 Cre 重组酶的同窝小鼠被用作野生型(WT)对照。

之前已有 WT 小鼠的数据报告,每个实验组中每组随机分配了 7 只小鼠,涵盖了 IKKβ MKD(三个时间点、两种治疗、两种基因型、两种性别)和 IKKβ MCA(一个时间点、两种治疗、两种基因型、两种性别)——总共共计 224 只小鼠。
每组结果测量中的数字反映了每组小鼠的数量,如果在测试过程中肌肉样本出现问题、质量不佳或用于测定的样本不足,那么数字会偏离 7,每只小鼠都接受了他莫昔芬治疗、双侧腱切断术或假手术,然后进行了离体肌肉收缩测试和解剖。

此外,我们还进行了以下额外测量:将右肩的肌肉用于生理测试(SS),将左肩的肌肉用于生理测试(IS),并将左肩的肌肉用于后续的组织学、qPCR 和蛋白质印迹法测量。
在持续麻醉状态下(使用2%异氟醚,流速为2 L/min),为双肩进行了无菌手术准备,患者处于左侧卧位,我们通过在肩峰弓区域朝向三角肌中央位置切开皮肤,形成大约3毫米的切口,以便接下来的步骤。

这个步骤使我们能够清晰地看到近端三角肌的位置,接着我们在三角肌区域进行了一个切口,暴露出肱骨,为了稳定肱骨,我们使用一把镊子,并在同一时间使用另一把镊子扩大肩峰空间,以便后续的操作。
接下来,我们使用微小剪刀进行了腱的横断,分别处理小鼠的SS肌和IS肌腱,这是术组的步骤,假手术组的小鼠,即对照组,没有进行肌腱的切断操作,我们使用5-0可吸收的Vicryl缝线将所有小鼠的三角肌缝合到斜方肌上方的肩峰弓处,接着使用Vetbond缝合胶(3M制造)封闭皮肤切口。

二、离体肌肉收缩测试
分配到腱切断术后2周和8周的实验组小鼠,在实验结束时再次进行麻醉,进行SS肌肉和IS肌肉的体外收缩测试,对于SS肌肉,从右侧切除,保持与肩胛骨和肱骨头的连接完整,其它肌肉组织与肩胛骨分离,包括IS肌肉。
然后将SS肌肉置于体外生理学装置(Aurora Scientific;1300A)中,浸泡在哺乳动物Ringers溶液中,使肩胛骨固定在双力/长度传感器(Aurora Scientific;305C-LR)的臂上,肱骨固定在另一个臂上。

将小鼠的头部被固定在刚性柱上,通过肌肉侧面的平行板电极进行刺激,诱发肌肉收缩,逐渐增加肌肉的长度,直至观察到抽搐收缩的力量趋于稳定,随后通过进一步调整长度,直到获得峰值强直张力,以确定最佳长度。
然后使用灵活的尺子测量最佳长度,并将肌肉从骨附着处切离,进行吸干、称重和迅速冷冻,以备进行qPCR分析,所有的力都被标准化为生理横截面积(CSA),该值基于模型预测的肌纤维长度和羽状角度来计算。

在左侧重复类似的步骤,进行IS肌肉的收缩测试以及SS肌肉的组织学准备,测试完成后,实验小鼠被安乐死,而分配到腱切开术后1周的实验组小鼠,由于结缔组织“假腱”过于脆弱,无法在测试过程中保持与肱骨头的连接,因此未进行收缩测试,而是直接被安乐死,随后进行了收缩测试的肌肉在液氮中迅速冷冻,其余肌肉的组织学处理与其他组相同。

三、腱切断术引起的肩袖肌肉萎缩具有性别特异性
肌肉质量的变化是在冈上肌(SS)和冈下肌(IS)肌腱切断术(肩袖部位的主要外展肌)后进行的首次评估结果,尽管这项研究的主要关注点是不同基因型之间的差异(与NFκB信号传导相关的变化),但野生型组中雄性和雌性之间也存在明显差异。
在肩袖腱切断术后的第8周,雄性小鼠的冈上肌和冈下肌肌肉质量损失超过了雌性小鼠,对其他研究结果的进一步探究表明,这种性别特异性的肌肉质量影响源于性别差异导致的肌肉萎缩机制。

为了更深入地了解这些形态变化对肌肉质量的相对影响,我们采用了几何模型来预测每种变化对质量的影响,纤维长度的变化是导致男女在肩袖腱切断术后质量缺陷的主要原因,而其他因素也产生了显著差异。
虽然纤维横截面积的变化占了雄性小鼠在第2周和第8周质量损失的25-30%,但对雌性小鼠的质量损失没有影响,与此相比,女性小鼠的纤维数量变化导致了质量损失的30-40%,而雄性仅占15-20%。

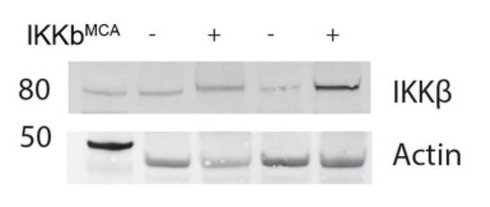
四、IKKβ 功能的获得和丧失并不影响腱切断术引起的肌肉萎缩
我们在6-8个月大的转基因小鼠成熟骨骼肌纤维中,选择性地删除(IKKb MKD)或组成型激活(IKKb MCA)编码IKKβ(Ikbkb)基因,对IKKb MKD小鼠进行他莫昔芬治疗导致冈上肌中Ikbkb mRNA表达下降50-60%,这种效应在第8周仍持续存在。
而对IKKb MCA小鼠进行他莫昔芬治疗则导致第8周时Ikbkb表达增加了两到三倍,Ikbkb表达的敲低导致IKKβ蛋白水平减少了50-60%,组成型活性Ikbkb的过表达使IKKβ蛋白水平增加了两到三倍。

通过在整个肌肉水平上进行测量,该基因缺失效应与其他他莫昔芬诱导的模型相当,其中卫星细胞和间质细胞也表达感兴趣的基因,尽管肌纤维的缺失效率可能高于整个肌肉水平上测量的效率,但由于可能不完全,该模型被称为基因击倒而非基因敲除。
在IKKb MKD队列的雄性WT小鼠中,腱切断术后第1周和第8周,Ikbkb表达显著增加了40-50%,而在IKKb MCA队列的WT小鼠中未观察到这种效应,在蛋白质水平上也不明显。

为确保IKKβ蛋白减少50-60%足以影响NFκB信号传导,我们分离出IKKb MKD和WT肌肉的核部分,并量化了NFκB亚基p50和p65,这反映了NFκB-蛋白酶体降解轴。
在假手术组和腱切断术组中,IKKb MKD小鼠的核p50和p65均减少了50%以上,证实了NFκB核转位的抑制,此外,这一测定经过了阳性对照的验证,因此,这些基因操作导致两性IKKβ蛋白水平一致减少或过度表达2至33倍。

在假手术组和腱切断术组中,IKKβ条件性缺失导致SS和IS质量略微增加,这些肌肉质量是相对体重标准化的,应用于每个治疗组的三因素方差分析显示,在假手术SS、腱切断SS和假手术IS之间的比较中,基因型具有显著的主效应。
然而,仅在腱切断术后的第一周,雄性SS中个体基因型之间的比较才具有显著性,为确定IKKβ条件性缺失是否唯一地影响了腱切断术后的肌肉萎缩过程,或仅仅是总体上增加了肌肉质量,我们将SS和IS肌肉质量标准化为同一小鼠的胫骨前肌(TA)质量。

在此标准化方案中,在任何肌肉、性别或时间点的基因型之间均未观察到一致的差异,而在SS和IS肌肉中,caIKKβ的过度表达在某种程度上加剧了腱切断术诱导的萎缩,经过三因素方差分析后得出存在显著的治疗×基因型相互作用效应,标准化TA质量消除了这些影响。
IKKb MKD小鼠中腱切断的肌肉在质量损失方面表现出与性别相关的相同特点,与其WT同胞小鼠相一致,当以体重标准化时,IKKb MCA队列的肌腱切断肌肉质量未显示出这种效应,但假手术小鼠和腱切断雄性小鼠之间存在显着的体重差异,这可能掩盖了萎缩的性别特异性,通过双向方差分析,以TA质量标准化的SS和IS质量均表现出性别的显着主效应。

跟腱切断 术后, SS 和 IS 肌肉失去了约 20-30% 的 特定峰值强直收缩张力 ,这种损失不受任何时间点肌肉或性别中 IKKβ 缺失 或 caIKKβ 过度表达 的影响,与质量损失不同,第 2 周和第 8 周两性的 收缩缺陷相似 ,这表明将收缩张力正常化为 生理横截面积(PCSA) 完全可以解释持续的质量损失。

结论
本研究针对 NFκB 抑制对跟腱切断术后肌肉萎缩的影响进行了调查,我们通过应用转基因肌肉特异性和可诱导的 IKKβ 缺失模型,在RC肌肉腱切断术中成功地阻断了肌纤维中超过50%的NFκB 亚基的核转位。
尽管此举总体上导致了轻微的肌肉质量增加,但令人惊讶的是,NFκB抑制对跟腱切断术后的任何结果均未产生额外影响,包括肌肉质量和收缩力、纤维面积、长度和数量,以及泛素蛋白酶体和自噬途径的萎缩信号传导。

而功能性 IKKβ 表达加倍在肌腱切断术后的肌肉反应方面几乎没有影响,结果表明 NFκB 在介导跟腱切断术引起的肌肉萎缩中并不扮演主要角色。
仍然值得注意的是 ,NFκB*制剂抑** 仍然可能通过间接作用于 卫星细胞、FAP 和 肌腱细胞 ,从而改善肌肉结果,并对病理学的发展或康复产生积极影响,虽然这些潜力在本研究中并未进行基因改造来研究。

未来的工作应将这些结果与 NFκB*制剂抑** 进行比较,以揭示其在预防 跟腱切断术 引起的 萎缩 方面的潜在治疗作用和作用机制,我们的数据还提示 跟腱切断术 后的 肌肉萎缩 反应存在性别特异性,与 人类肩袖撕裂 的性别差异一致,因此值得进一步深入研究,以指导更为有效和个体化的治疗策略。
参考文献
1.戈尔曼,李新,斯库特里斯D,亚伯拉罕AA,宋丽阿布-阿米尔 Y,托莫普洛斯小号 :(2020) 在大鼠肩袖模型中通过 IKKβ 抑制增强肌腱到骨骼的愈合
2.戈麦斯医学博士,莱克SH,贾戈 RT,纳冯A,阿尔戈德伯格:(2001) Atrogin-1,一种在肌肉萎缩期间高度表达的肌肉特异性 F-box 蛋白
3.穆尔基奥蒂F,罗森塔尔N :(2008) 骨骼肌中的 Nf-kappab 信号传导:肌肉疾病干预的前景