
引言
我们十分理解,人们总是乐观地期望自己被诊断为「炎症」,喜欢听「好」话,对真正能揭开真相的必要检查有些「望而却步」,甚至有抗拒心理。有的患者还下意识地对自己的既往史「避重就轻」。但这不能让我们对企图「鱼目混珠」的恶性肿瘤在眼皮底下溜走。诊断中,该抓哪些线索?该往哪里思考?该用到哪些手段?这2例「似炎非炎」的病例与前一期所述的2例又有何不同?
时隔一年这个患者再次发病入院,其胸部CT表现蜂房影、囊腔影是细支气管阻塞的征像,左肺下叶磨玻璃影考虑气性播散,临床高度怀疑肺癌
该患者为58岁男性,家中务农。2018年2月5日,其第一次入院,2019年3月13日,第二次入院。第一次入院时患者主诉为胸闷、气短20天。20天前受凉后出现胸闷、气短,伴咳嗽、咳痰,少量白色粘液痰,无痰中带血,无发热、盗汗,无胸痛,无心慌及心前区不适,于当地诊所按「上呼吸道感染」给予抗感染、化痰等对症支持治疗(具体不详)后,无明显效果。后就诊于我院急诊科,行胸部CT示双肺间质改变合并感染,给予「依替米星 0.3g 1次/日、溴己新 8mg 1次/日」静滴后,症状略好转,我科门诊以「间质性肺病」收住入院。自发病以来,患者的饮食、休息尚可,二便如常,体重亦无明显改变。患者既往体健,吸烟30年,平均20支/日,否认肿瘤家族史。
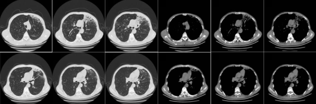
当时为患者查体的情况为:T 36.5 ℃,P 89次/分,R 20次/分,BP 101/76mmHg,全身浅表淋巴结未触及肿大,听诊双肺呼吸音粗,未闻及干湿性啰音。以下为该患2018年1月27日胸部CT的影像学资料:

胸部CT提示两肺可见多发类圆形含气透亮影,两肺可见支气管管径增宽,以左肺上叶为著,呈卷发样,右肺中下叶可见结节样高密度影,较大者位于右肺下叶,直径约1cm,两肺可见多发斑片状高密度影,边界不清,以左肺上叶为著。
因此,当时的初步诊断为间质性肺病。
我们对其辅助检查的情况为:ESR 24mm/h,血常规、C反应蛋白、降钙素原、凝血、内毒素、真菌D-葡聚糖、半乳甘露聚糖肽、肝肾功、电解质、心肌酶、电解质均正常;结核杆菌抗体阳性,结核杆菌DNA、结核感染T淋巴细胞检测、PPD试验阴性;自身抗体、抗中性粒细胞胞浆抗体、风湿系列阴性;肿瘤标志物NSE 16.98 ng/ml(正常值0—16.3ng/ml)、SCC-Ag 2.7ng/ml(正常值<1.5ng/ml);血气分析(FiO2 21.0%)示pH 7.417、pO2 70.9mmHg、pCO2 38.5mmHg、SaO2 92.4%。肺功能提示轻度阻塞性肺通气功能障碍(FEV1/FVC 65.47%、FEV1/pred 87.7%)。
2018年2月8日行支气管镜检查,镜下见:双侧支气管通畅,未见明显肿物及狭窄,左侧可见较多白色粘稠分泌物,左肺舌叶轻度充血,余管腔未见明显充血及水肿。镜下肺泡灌洗液送细菌学、病理学检查均阴性。

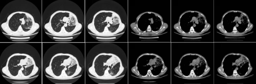
入院后,给予患者左氧氟沙星联合依替米星抗感染治疗,2018年2月11日复查胸部CT较2018年1月27日无明显变化。患者自觉抗炎治疗后症状好转,2018年2月11日以「慢性阻塞性肺病,继发肺间质改变」之诊断出院。以下为该患2018年10月11日胸部CT的影像学资料:

胸部CT提示肺气肿、两肺多发肺大泡,两肺间质性炎症伴感染(左肺上叶为主),右肺中下叶结节。此次复查提示左肺上叶病变较前加重,我们建议患者住院再次支气管镜检查,但患者因症状无加重,不愿住院治疗。
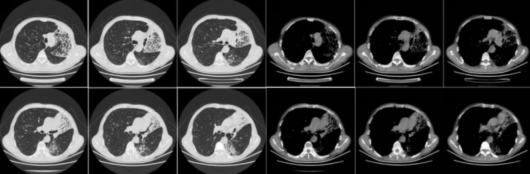
2019年3月13日,距离该患上一次住院时隔一年之后,其再次「因胸闷、气短1年余,加重1周」之主诉来我院就诊。以下为其2019年3月12日胸部CT的影像学资料:

胸部CT提示两肺间质性改变并右肺中上叶及左肺炎症,较前增多(2018年10月11日);肺气肿伴肺大泡形成;右肺中叶及两肺下叶结节,较前片变化不著;左侧胸膜增厚。
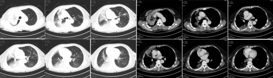
2018年1月27日:

2018年10月11日:

2019年3月12日:

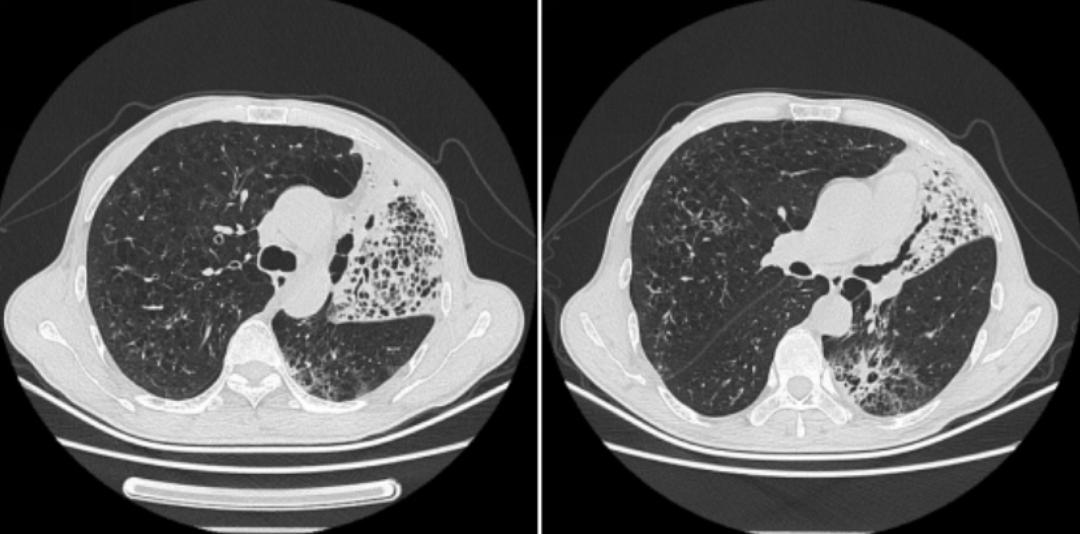
对比以上这些胸部CT,提示左肺上叶实变影变大,呈蜂窝状,左肺下叶出现磨玻璃影及少许蜂窝影。此时我们考虑患者胸部CT表现的蜂房影、囊腔影是细支气管阻塞的征像,左肺下叶磨玻璃影考虑气性播散,临床高度怀疑肺癌。
患者第二次入院后,肺肿瘤标志物提示SCC-Ag较前升高5.5ng/ml(第一次入院2.7ng/ml),血气分析(Fi02 21%):pH 7.475、pO2 45.9mmHg、pCO2 34.5mmHg、SaO2 81.6%。肺功能提示中重度阻塞性肺通气功能障碍(FEV/FVC 57.51%、FEV1/pred 52.8%)。血气分析为Ⅰ型呼吸衰竭,患者病情较其一年前明显加重。
胸部CT提示肺癌不能除外,要诊断,必须取活检,呼吸衰竭是支气管镜检查禁忌,经抗炎、平喘、化痰治疗后,吸氧状态下复查血气分析,氧分压>60mmHg,考虑到1年前支气管镜下管腔通畅,未见肿物及狭窄,此次与患者家属沟通,行支气管镜下冷冻肺活检。
2019年3月15日行支气管镜下冷冻肺活检,取材满意,活检后患者气短明显加重,心电监护提示指脉氧饱和度将至60%,考虑患者冷冻肺活检后气胸,查体左肺叩诊呈鼓音,听诊左肺呼吸音消失,立即行左侧胸腔闭式引流,患者症状逐渐改善。

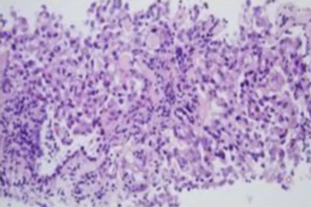
活检病理回报「左固有上叶」浸润性腺癌。免疫:TTF-1(+)、NaspinA(+)、P53散在(+)、P16(+)、TS(+)、EGFR(+)、P40(-)、Ki67(+)20%、PD1(-)、PD-L1(-)。基因检测BRAF V600突变,EGFR、ALK、ROS1、MET、BRAF、HER-2均阴性。家属考虑恶性肿瘤,预后差,虽有驱动基因阳性,但药物不可及,不愿继续全身排查,亦不愿进一步治疗,选择自动出院。

出院诊断:
肺恶性肿瘤(左肺上叶,腺癌,cT4N0Mx),伴左肺下叶肺内转移;慢性阻塞性肺病,继发肺间质改变。
这个患者无明显诱因出现咳嗽,哪些检查让我们认定她为恶性肿瘤?……几种炎症混淆难辨,如何拨开「似炎非炎」的迷雾揪出「真凶」?
另一个66岁的女性患者,退休人员,于2019年5月20日入院。该患者主诉为间断咳嗽、咳痰半年,右侧胸痛1天。半年前无明显诱因出现咳嗽、咳白色黏痰,伴间断发热,就诊于陕西省某医院住院治疗后好转,出院后一直有咳嗽、咳痰,半月前再次出现发热,体温39℃,在外院住院治疗10天后出院,住院期间行肺功能「中重度限制性,中度阻塞性通气功能障碍,重度小气道阻塞性损害,肺容量不足,弥散功能障碍」,胸部CT(2019-5-11,外院)「两肺炎症并右肺部分不张,右肺下叶内基底段支气管狭窄,建议支气管镜检,左肺多发病灶,不除外霉菌感染」,行支气管镜检查,镜下考虑支气管慢性炎症,给予抗感染治疗(具体不详)后症状改善出院。1天前无明显诱因出现右侧胸痛,活动后气短,就诊于我院门诊,我院以「肺部感染、高血压病」收住我科,自入院以来,精神食欲欠佳,大小便正常。既往体健,有高血压病史,否认烟酒不良嗜好,否认肿瘤家族史。
我们对其查体的情况为:T36.5 ℃,P 82 次/分,R 20次/分,BP 130/80mmHg,全身浅表淋巴结未触及肿大,听诊双肺呼吸音粗,右肺可闻及湿性啰音。
初步诊断:
- 肺部阴影
- 肺炎?
肺泡蛋白沉积症?
肿瘤?
I型呼吸衰竭
- 高血压2级(很高危)
对其辅助检查的情况为:ESR 24mm/h,超敏C反应蛋白10.6mg/l,血常规、降钙素原、凝血、内毒素、真菌D-葡聚糖、半乳甘露聚糖肽、支原体、衣原体、嗜肺军团菌抗体、肝肾功、电解质、心肌酶、电解质均正常;结核感染T淋巴细胞检测阳性,结核杆菌抗体、结核杆菌DNA、PPD试验阴性;自身抗体、抗中性粒细胞抗体、风湿系列阴性;肿瘤标志物NSE 18.25 ng/ml(正常值0—16.3ng/ml);血气分析(FiO2 21.0%)示pH 457、pO2 59.9mmHg、pCO2 31.7mmHg、SaO2 92.0%。以下为该患2019年5月22日胸部CT的影像学资料:

胸部CT提示两肺可见片状密度增高影,以右肺为主,其内可见支气管充气征,两肺斑片状磨玻璃及稍高密度影,并纤细网格状影,呈铺路石改变。
入院后考虑到患者病史已达半年之久,辗转多家医院就诊,反复抗炎治疗,效果不佳,入我科后给予强效广谱抗生素美罗培加强抗感染治疗,并在治疗后复查血气分析,呼吸衰竭纠正后,于2019年5月23日行支气管镜检查,镜下可见:双侧支气管系统大量透明泡沫样分泌物溢出,右侧为著,左下叶背段支气管管口炭沫样沉积,右下叶支气管粘膜镜端触之易出血,各管腔通畅,未见肿物及狭窄,结合影像学,在右上叶前段及尖段活检。

支气管镜下肺泡灌洗液送感染病原体宏基因组检测,结果为阴性。


支气管镜活检病理结果:「右肺上叶尖前段」支气管粘膜浸润性腺癌(附壁生长型),免疫:TTF-1(+)、NaspinA(+)、CK5/6(-)、P40(-)、TS(-)、EGFR(+)、P16弱(+)、P53(-)、Ki67(+)5%、PD-L1(22c3)(TPS=0)。
基因检测结果:检测到EGFR L858R、19Del基因双突变,未检测到ALK、ROS1、BRAF、HER2、NRAS、RET、PI3KCA基因突变。进一步全身排查,提示存在肺内转移、左侧锁骨上窝淋巴结转移。无手术指征,根据基因突变检测结果,与患者家属沟通后选择口服吉非替尼。
该患者最终诊断:
肺恶性肿瘤(右肺上叶,腺癌,cT4N3M1a Ⅳa期),伴左侧锁骨上淋巴结转移,伴双侧肺内转移。
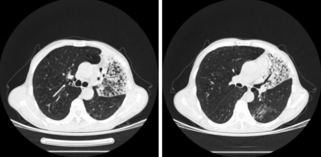
予口服吉非替尼后,患者的病灶明显缩小。今年患者曾来我科门诊,建议复查胸部CT,但患者一直未再来院。
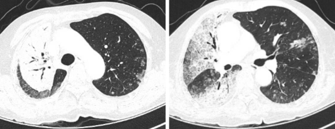
2019年5月22日:

2019年11月11日:

双肺弥漫性病变鉴别诊断:

在此,先分析大叶性肺炎。大叶性肺炎为肺炎链球菌感染,炎症常累及一个或多个完整的肺叶,也可仅累及肺段。病理改变可分为三期,即充血期、实变期及消散期。按病期的不同,其临床表现各异,但有时分期并不明显。患者多为青壮年,受凉、疲劳、酗酒常为其诱因,起病多急骤,寒战、高热,咳嗽、咳铁锈色痰,急性发热病容,肺部可闻及湿性啰音。胸部CT在不同期有不同的特点:①充血期,病变呈磨玻璃样密度影,边缘模糊,病变区血管影仍隐约可见;②红色和灰色肝变期,可见呈大叶或肺段分布的致密实变影,内见「空气支气管征」;③消散期,随病变的吸收,实变影密度减低,呈散在、大小不等的斑片状影,最后可完全吸收。
而结核性大叶性性肺炎,影像酷似细菌性大叶性肺炎;中毒症状较重,90%为青年,起病急骤,50%有受凉、劳累、营养不良等,90%可出现发热,血常规一般白细胞不高,中性粒细胞略高;60%分布于上肺,下肺者可伴胸腔积液;单叶受累者占90%,可有播散灶;不是干酪样肺炎,无干酪样坏死,多无空洞。
隐源性机化性肺炎则好发于40-60岁,无性别差异,与吸烟无关,亚急性起病,病程在2-6月;1/3发热、56%-100%干咳、气短;2/3肺部可闻及爆裂音;100%ESR增快,80%CRP高;影像学表现多种多样,以肺实变和磨玻璃样变最常见(3/4),磨玻璃样变分布特征不具有特异性,而肺实变多具有沿支气管血管束或胸膜下分布的特点,总结下来是具有「五多一少」特点,即多态性、多发性、多变性、多复发性、多双肺受累、蜂窝肺少见。病理特点:呼吸性细支气管及以下的小气道和肺泡腔内有息肉样肉芽结缔组织。对激素敏感,停用激素或减量时易复发(3个月内)。
我们知道,原发性肺淋巴瘤几乎都为非何杰金氏淋巴瘤,大部分为低度恶性,组织学上多为粘膜相关淋巴样组织(mucosa-associated lymphoid tissue MALT淋巴瘤【B细胞型】)。形态学分以下四种类型:结节肿块型、肺炎肺泡型、间质型(支气管血管淋巴管型)、粟粒型(血行)。
结节肿块型最常见,单发或多发,肺部位于肺野内带或胸膜下,边界模糊,可见支气管气相,部分病灶可见空洞及液气平面。
肺炎肺泡型为沿肺段或肺叶分布模糊斑片影,可见支气管气相,空洞。间质型表现为弥漫分布的细小或粗糙网状结构或网状结节,或呈毛玻璃样变。
而「肺炎型」肺癌为慢性起病,少数患者咳大量白色泡沫黏液痰或水样痰(1000-3000ml/日),无发热,临床表现轻重与影像不符,抗感染(2周)无效;病变常先局限于一个肺叶内生长(主病灶),并逐渐出现气性播散,多数两侧不对称,病变广泛,累及两肺多叶,且多以肺下叶为主,实变区密度较低,增强后多无明显强化,实变区可见支气管充气征、枯枝征,实变区周围或远离实变区见边界清晰的GGO,且与正常肺组织边界清晰,病变后期两肺常为多形式病灶混合,包括实变、磨玻璃、多发结节、囊腔(多呈圆形,内壁光滑)及蜂房样改变,随访病灶增大、增多,GGO及结节影融合,向实变发展;病理上多为腺癌,可多中心起源,分化好。
专家介绍



本文完
采写编辑:冬雪凝;
*今条头日**排版:大奔