
*牙列不齐.牙齿拥挤
一般牙齿拥挤分为单纯拥挤和复杂拥挤 ,单纯拥挤表现为牙齿因间隙不足而排列错乱,并因此影响到牙弓形态与咬合关系。
复杂拥挤除牙量不调造成的拥挤之外,还存在颌骨、牙弓间关系不调,并影响到患者的面形。
因为牙齿拥挤造成的牙齿排列不齐,每个人的表现都是不一样的。
今天,要分享一例因为牙齿拥挤造成的【前牙前突】并伴随【下门牙错颌畸形】的牙齿矫正案例。
牙列不齐矫正案例分享
矫正者为公司职员,男性,27岁。换牙期开始出现牙列不齐,希望牙齿得到排齐,改善咬合问题。
治疗方案:牙弓拥挤解除,2颗骨钉,牙列排齐,调整咬合关系。
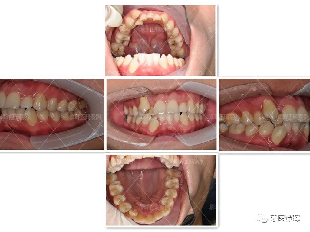
矫正前


矫正之前因牙齿拥挤使嘴巴看起来有点突,下门牙畸形错颌,没有办法正常咬食物,也因*牙虎**与另一颗牙重叠,吃东西时特别容易塞牙,因此牙周也不是很好。
矫正中

矫正中10个月的效果,可以明显感觉到牙齿拥挤得到了排齐,嘴突问题也得到了相应的改善,笑容自然了很多。
矫正结束


历经两年时间,终于牙齿矫正结束摘下牙套后,整个人跟之前有了鲜明的对比,不仅牙齿彻底排齐了,咬合关系改善了,嘴突的问题也没有了,下巴也出来了。之前不敢笑,现在笑容无瑕疵,阳光又帅气。