
广东省中医院二沙骨科
小儿前交叉韧带止点撕脱骨折为少见病,治疗非常棘手,保守治疗因韧带止点骨折愈合不良而致关节不稳定,导致残废。手术治疗又担心损伤骨骺,导致生长抑制和成角畸形的并发症,搞不好还是残废。医生处于两难的决择。
近日,我科收治一名10岁小儿,爬树时不慎从树上跌下致右膝外伤,局部肿痛,活动受限,经X线片及MR诊断为前交叉韧带止点撕脱骨折。当地医院不敢接诊,遂转至我院求治。

本病治疗非常棘手,因为该患者属于Tanner 1期的未成年患者(Tanner分期见下表),骨骺远未发育成熟。

为了更好的保护患者的骨骺,预防生长抑制和成角畸形的并发症。在许树柴主任指导下我们制定了手术治疗方案。使用骨骺保护型(关节内/外结合技术)的技术进行前交叉韧带止点的固定,并用中央单隧道法进一步减少对骨骺的损伤(成年人的常规手术为双隧道)。我们的战略图如下:

紫线示意为我们通过单隧道将前交叉韧带止点撕脱骨块缝合后向前下拉,通过纽扣*绑捆**固定于胫骨棘,此为关节内通骨骺线的固定法,用1.5mm的克氏针打隧道,避免骨骺损伤。
因骨块较大,一股线的力量可能不足以固定牢固,于是我们又通过另一股线(红色示意)将前交叉韧带止点撕脱骨块缝合后通过关节外的路线,与前面紫线会师打结,*绑捆**固定。
综上所述,此为关节内外、经骨骺/不经骨骺两种方法联合运用,单隧道固定法,既有拉力,也有压力,可以很好很牢固的固定撕脱的骨折块。理论上很完美,好的战略还要有好的战术实现,我们能否按计划实现呢?
第一步,关节镜检查,可见骨块上翻移位:

第二步,穿线于骨块上方的韧带,绑拉骨块:

牵拉缝线可完美复位:

第三步,*位器定**定位,通过*位器定**穿1.5mm导针(进针点在胫骨正前方,进针中央化):

导针位置完美

第四步,通过导针拉线,用纽扣固定于胫骨棘。
第五步,再穿线于骨块上方的韧带,按上述红线所述法通过关节外与紫线会师,将骨块绑压固定牢固。
术后复查膝关节正侧位片,骨折解剖复位,完美收工:
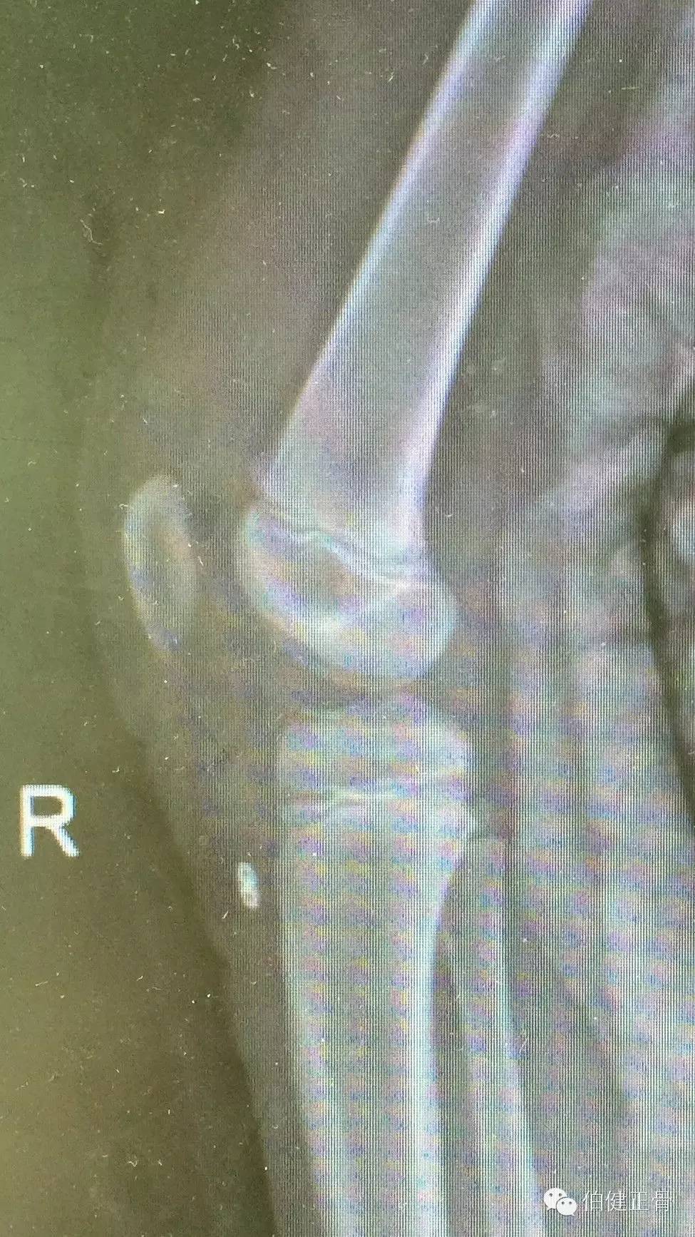
正位完全复位:

侧位可看出我们的战略思路:

纽扣于胫骨之间有少许空位,是因为小儿骨膜厚所致。
我们的手术通过4个微创小口解决,美观:
4个小口即可解决问题,美观实用。患者避免病残。
这个确实是一种实用的方法,关节内/外、经骨骺/不经骨骺两种方法联合运用,单隧道固定法,既有拉力,也有压力,可以很好很牢固的固定撕脱的骨折块,值得向同行推荐。各位朋友如有这样的病例可推荐到广东省中医院二沙骨科治疗。