Ilizarov环形外固定架矫形术起源于前苏联,后被世界各国学习传播,对外科矫形术的发展起着重要作用。这项技术对于复杂骨折固定、骨与关节畸形的矫正等有着较为明显的效果。
前段时间,广东三九脑科医院脑瘫科二区郑炳铃主任团队成功完成一例Ilizarov环形外固定架矫形术,帮助一位脑瘫患者矫正足部畸形,将“马蹄足”变成“正常足”。

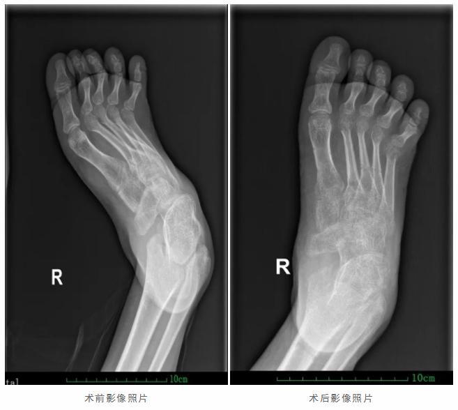
家住粤西地区的大龙,是在去年夏天找到郑炳铃的,那时他已16岁,属于大龄脑瘫患儿。郑炳铃在接诊时,发现患者的智力正常、表达能力和学习能力都很好,但脑瘫导致他的双下肢僵硬,呈尖足步态;右脚是马蹄高弓足、严重内翻,左足扁平外翻;双侧高位髌骨、双膝前弓,导致他不能独自站立、行走。
经过全面评估和完善相关检查后,郑炳铃团队为患者制定了精准、详细的治疗方案。2019年8月,郑炳铃团队为患者实施了“腰骶段选择性脊神经后根切断术”(简称SPR)。SPR术后,患者双侧下肢肌张力明显下降。经过两个月的康复治疗,大龙在扶持下可以站立、缓慢行走。


为进一步解决患者下肢足部畸形的问题,2019年10月,郑炳铃团队为其实施“右侧下肢Ilizarov环形外固定架矫形术+右侧足三关节融合术”。术后,大龙畸形的“马蹄足”得到矫正,逐渐趋向正常,目前他的整个右脚脚掌能够完全着地。

郑炳铃介绍,Ilizarov环形外固定架矫形术在以往的软组织矫形和固定矫形的基础上,加入了“时间”这一可调节的变量,利用张力-应力法则:“生物组织在持续、稳定、缓慢牵拉下,能刺激细胞分裂、生成组织”,从而使得很多复杂的肢体畸形得到更有效的治疗。
Ilizarov环形外固定架矫形术可用于治疗:
1、脑瘫后遗症、小儿麻痹后遗症、O型腿、X型腿、长短腿;
2、上肢短缩畸形(上肢短缩延长、先天性桡骨短缩延长、肘关节屈曲挛缩牵伸、肘内外翻矫正);
3、踝足畸形(马蹄高弓足、内外翻足、跟行足等);
4、膝内外翻及下肢旋转畸形;
5、脊柱畸形及下肢骨折、复杂骨折、先天性髋关节疾病。
Ilizarov环形外固定架矫形术具有以下优势:
1、部分手术可微创化实施,创伤小、疗效好;
2、手术时间短、痛苦少、费用低;
3、固定效果可靠,便于术后管理和功能训练;
4、术中没有完全矫正的畸形,术后可继续通过外固定器进行调整,最终达到满意的矫正效果;
5、可以早期进行负重和功能训练。
脑瘫患儿特别是受累程度严重的患儿,与同龄健康儿童相比,肢体活动明显减少,因此承受的牵张应力刺激减少、肌肉生长受限,导致肌肉-肌腱短缩(肌静态性挛缩),从而引起骨骼生长受限,出现肢体畸形。一直以来,我院脑瘫科通过不断完善肢体畸形治疗体系(选择性脊神经后根切断术、颈动脉外膜剥脱术、周围神经缩窄术及各类矫形手术、Ilizarov外固定技术),挽救了数千位脑瘫患者的肢体功能,为广大病患带来康复的希望。
专家简介

郑炳铃
广东三九脑科医院脑瘫科二区副主任、副主任医师
毕业于广州中医药大学,擅长:1.脑瘫的规范化诊治及综合康复评估。2.脑瘫多组合外科手术、成人肢体畸形矫形手术以及跟行足、拇外翻、平足症、马蹄内翻足、膝内外翻、蹲伏步态、髋关节脱位、上肢垂腕旋前畸形、外固定支架等各种肢体畸形的手术矫正和二次翻修手术。3.对脑瘫个性化治疗、外科与康复一体化治疗及精准肉毒毒素注射治疗。
每年完成超过200台脑瘫及骨科相关手术和超100例精准肉毒毒素注射治疗,取得良好的效果,得到广大患者肯定和业内认可。
发表论文多篇,主持及承担广东省医学科学技术研究基金三项。经常应邀参加国家、省学术会议做学术报告。

徐桂豪
广东三九脑科医院脑瘫科主治医师
毕业于北京中医药大学,从事创伤科、神经外科临床工作多年,熟悉创伤骨科及神经外科常见疾病的诊疗工作,有扎实的理论基础及临床实践经验。近年来,对脑瘫患者的诊治、分型及外科治疗有较深的认识,可按照个性化治疗给予现代康复、传统康复、药物治疗、中药治疗、特殊教育等综合治疗。
发表相关论文3篇。