
据调查,目前牙颔畸形和牙缺失的情况越来越普遍,12~80岁的人群均存在不同程度的牙齿问题。

采访市民:王* 24岁
我有一口龅牙
有人说我“尖嘴猴腮”
从来不喜欢拍照
不想戴牙套,又担心太贵

采访市民:陈*元 19岁
我的牙齿有的上有的下
咬面包都能看到一排小脚印的那种
老早就想着矫正
但不想找爸妈要钱

采访市民:王*奇 58岁
我缺牙几年了
开始只是不习惯
后来,只能吃稀饭了
想要去补牙 但是也想多留点钱给儿女
那为什么还有这么多人
龅牙、拥挤、牙缝大、地包天、缺牙…
却没有选择去矫正牙齿、种植牙?
还不是因为太贵!
☟ ☟ ☟

但是
现在千载难逢的机会来了

12-80岁江西人速看
3月28日起
江西矫正牙齿、种植牙价格有重大调整
惠民政策一:
传统牙齿矫正、种植牙过程中
5000~8000元 费用全免

限30名
立刻扫描二维*报码**名抢名额
惠民政策二:
隐形矫正 6折起
相当于减免 10000+

惠民政策三:
不戴牙套矫正 立减2000
当天矫正 当天变美

惠民政策四:
进口种植牙减免 5000元

惠民政策五:
特惠专场,现场秒杀
德国高端种植牙, 减免50%
免费送终身质保

于是
就有了接下来的这一幕
☟ ☟ ☟
市民A:
老妈年纪大了,牙齿掉的差不多了,想吃的东西吃不了,舍不得花钱。作为儿女尽一尽孝心,这次这么大优惠,一定要带老妈去!
市民B:
工资可以将就,但生活不能,为什么要矫正牙齿,不是为了美,是为了给人生另一种可能!何况都降价了,我一定要去!
市民C:
我也要去,这么大优惠,还不去,你当我傻啊!
这么大的优惠
真的是真的
不信你看
☟ ☟ ☟

受益市民NO .1

@ 请叫我刘小小
主要症状:龅牙 不齐
有时候,改变生活很简单
我想矫正,是因为生活需要另一种可能。另外,一直不想矫正的原因也是不想戴牙套。

我一张嘴,感觉全世界都在说“你该整牙了”
我选择隐形矫正,主要的好处当然是隐形。我很好笑的去微博搜例子,看到很多美女的照片,她们说隐形矫正多么多么好,结果配的图片都是自己的一口美牙。

我的隐形牙套
我当时想这根本没戴牙套你给谁做广告呢啊?结果搜了几十个人都是这样,我才反应过来,哦,隐形矫正真的近乎隐形,人家戴着呢,是我一点儿都没看出来。

看的出来我戴牙套了吗?
受益市民NO .2

@ 小仙女本尊没毛病了
主要症状:牙齿不齐
现在不矫正,难道等找不到工作吗?
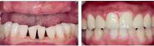
我觉得牙齿难看的人,张一张嘴都是灾难,我就是亲身示例,小时候还好,越长大牙齿问题就越严重,张嘴就有人让我快去矫正牙齿。

矫正前,真的是灾难
影响真的很大,我学主持的呀,脸多重要……我妈之前还说没事,后来找工作真的是被说够了…好不容易刚找到工作,我就迫不及待去咨询了矫正。

看牙(左),复查(右)
矫正之后,我更坚信,人一定要去改变,不努力一把,你都不知道你潜力有多大,以前谁知道现在这么好看哈哈,我已经换工作啦,而且因为公益活动我省了很多很杂的费用和中间环节,很感谢!

我现在好看吗?
受益市民NO .3

@ 老杨
主要症状:半口无牙
又快又划算 下半辈子口福有着落了
“七八年了,终于能像原来自己的牙一样啃苹果了!”杨叔叔上颔半口无牙,原来靠戴活动假牙完成咀嚼,但是非常不便,也痛苦不堪,听说江西也有了缺失牙救助中心,就决定来试一试。

杨叔叔种牙前后对比

杨叔叔讲述自己的种牙经历
“当天种牙,当天装上了牙冠,咬上苹果那一刻,我竟然感动得流泪了!”杨叔叔说出了很多缺牙市民的心声。杨叔叔还说,只用四颗牙根就“长”出了半口好牙,省了好多钱!

杨叔叔种好牙当场啃苹果你是不是也因为牙齿不好看
你是不是也因为牙齿不好看
好工作总是轮不到你?
你是不是也因为牙齿不好看
每次喜欢一个人都不敢表白?
你是不是也因为牙齿不好
吃饭也吃不利索?
☟ ☟ ☟

月末特惠季
牙齿矫正、 种植牙专场
各大媒体联合德亚口腔共同发起本次活动
快来报名 申请优惠价格
☟ ☟ ☟
1.微信报名:ncdykq8888(请及时说明年龄和牙齿需要解决的问题)
2.栏目报名热线:0791-88128777
德亚口腔 源自德国
德系齿科连锁 共享全球牙科智慧

——地址 ——
洪城院:
西湖区洪城路318号江西国际珠宝城
*警武**总队公交车站下车即到
八一院:
东湖区八一大道436号中南物资一楼
叠山路东口公交站下车步行50米
此条为广告信息 不代表本号观点
所有要约责任均归于广告商
如有违规请联系我们
将进行及时处理
觉得文章不错,记得点个“

在看”分享给更多人