分享人:周坚红、罗洁
撰写人:胡暑雨、张弢

一、病例简介
患者,女,12岁,未婚,0-0-0-0,因“不规则阴道流血2年,超声发现异常3天”入院。
现病史:患者月经初潮2018年2月,初潮后2年来月经均不规则,阴道流血持续4-5天,量中,每日需2-3片卫生巾,均未湿透,色红,血止2-12天不等再次出现阴道流血,反复至今,经期无腹痛腹胀,无发热畏寒,无尿频尿急,无头痛头晕等不适,末次月经3月28日。患者2019年5月因无明显诱因下出现异常阴道流血,量多,约半小时湿透一片卫生巾,伴血块,无腹痛腹胀,无发热畏寒等不适,至江西当地医院就诊,予避孕药口服治疗2月(具体不详),后不规则阴道流血情况同前;患者1月前至江西当地医院就诊,行超声检查示“宫颈口及阴道扩张,内见范围约64*27mm液性暗区”,考虑“月经失调”,予“妇科千金片及乌鸡白凤丸”口服治疗1月,症状未见明显好转;患者3天前于江西当地医院复查,超声示“双子宫;宫颈管及阴道积液(考虑处女膜闭锁);左侧附件囊性包块”,考虑“处女膜闭锁可能”,建议手术治疗。患者为求进一步诊治,来我院就诊,查超声示“双子宫,阴道积液(阴道斜隔综合症可能),左卵巢内囊性块(黄体囊肿可能)”,现少量阴道流血,无腹痛腹胀,无发热畏寒,无头痛头晕等不适,急诊拟“阴道斜隔综合症”收住入院。
月经史:月经初潮2018年2月,月经周期7-17天,经期4-5天,量中,色红,无痛经。末次月经:2020-03-28。
一般查体:体温:37.2℃,脉搏:106次/分,呼吸:19次/分,血压:108/71mmHg。心肺听诊无殊,腹软,无压痛及反跳痛,双下肢无水肿。
妇科检查:肛腹诊,外阴:未婚未产式,阴道:肛查触及阴道上端略膨大,无明显张力,宫颈:未查,子宫:可及双子宫,常大,未及压痛,活动度可,附件:左附件区略增厚,无压痛反跳痛;右附件区未及明显包块及压痛,其他:无殊。
辅助检查:入院查血常规、血生化、血凝、生殖内分泌激素全套、甲状腺功能、血肿瘤标志物、STD、肝炎系列、乙肝三系、胸片及心电图等未见明显异常。
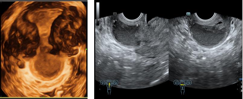
2020-03-30本院经腹子宫附件超声检查示:盆腔内探及两个子宫。左侧子宫正常大,内膜厚0.34cm(双层),宫壁回声均匀。右侧子宫正常大,内膜厚0.29cm(双层),宫壁回声均匀。阴道内见5.6*4.1*3.0cm暗区,内液稠,下端距会阴口约1.6cm.右卵巢正常大,回声无殊。左卵巢内见3.5*3.2*3.7cm囊性块,内呈絮状回声。备注:右肾正常大,回声无殊,左肾区未及明显肾脏回声。诊断结果:双子宫阴道积液(阴道斜隔综合症可能),左卵巢内囊性块(黄体囊肿可能)。

初步诊断:阴道斜隔,双子宫,其他的,单侧肾缺如(左侧),左侧卵巢囊肿
诊疗计划:完善相关检查,排除手术禁忌后,择期行阴道斜隔切开术。
二、手术及预后
手术经过:患者在硬膜外麻醉下行“宫腔镜阴道斜隔切断术,处女膜修补缝合术”。术中置宫腔镜5%GS入水用自动液体膨阴道,宫腔镜下见:右下方可见右侧宫颈,略小,光滑,未见明显赘生物,宫颈口见经血流出,阴道左上侧壁可见一肌性斜隔组织,略突起,粉色,隔表面光滑,未见明显开口,左侧宫颈因斜隔阻挡不可见。
手术操作:暴露阴道斜隔,用针状电切割器以斜隔最突出处为起始点逐步切开阴道斜隔组织,见暗红色积血流出,约30ml,陈旧性经血流出后阴道壁包块完全塌陷,宫腔镜下无法完全探及斜隔边缘,行阴道检查,可及斜隔面积约2.0*1.5cm,遂行经阴道斜隔电切术,消毒尿道口,留置导尿。阴道拉钩暴露右侧宫颈,剪刀扩大斜隔边缘,完全切除斜隔组织,切缘电凝止血,2-0可吸收线连续锁边缝合止血。5-0可吸收线间断缝合处女膜5点裂伤。
术后常规病理:(宫腔)子宫内膜呈分泌期反应及子宫内膜息肉,(子宫病损)纤维平滑肌组织。
出院诊断:阴道斜隔,双子宫,其他的,单侧肾缺如(左侧),左侧卵巢囊肿
出院医嘱:1.注意体息,避免剧烈运动,加强营养,避免感染;2.禁盆浴、游泳及*生活性**1个月;3.如有腹痛、阴道流血多、发热等不适及时随诊;4.术后1个月门诊复查;5、1月后复查CA125、甲状腺功能,必要时相关科室就诊;6、出院带药:无。
三、案例分析
知识点1
一、异常子宫出血的定义、分类
异常子宫出血(abnormal uterine bleeding,AUB)是妇科常见的症状和体征,作为总的术语,是指与正常月经的周期频率、规律性、经期长度、经期出血量任何1项不符的、源自子宫腔的异常出血。AUB限定于育龄期非妊娠妇女,因此需排除妊娠和产褥期相关的出血,也不包含青春发育前和绝经后出血。FIGO将AUB病因分为两大类9个类型,按英语首字母缩写为“PALM-COEIN”,“PALM”存在结构性改变、可采用影像学技术和(或)组织病理学方法明确诊断,而“COEIN”无子宫结构性改变。具体为:子宫内膜息肉(polyp)所致AUB(简称:AUB-P)、子宫腺肌病(adenomyosis)所致AUB(简称:AUB- A)、子宫平滑肌瘤(leiomyoma)所致AUB(简称:AUB-L)、子宫内膜恶变和不典型增生(malignancy and hyperplasia)所致AUB(简称:AUB-M);全身凝血相关疾病(coagulopathy)所致AUB(简称:AUB- C)、排卵障碍(ovulatory dysfunction)相关的AUB( 简称:AUB- O)、子宫内膜局部异常(endometrial)所致AUB(简称:AUB- E)、医源性(iatrogenic)AUB(简称:AUB- I)、未分类(not yet classified)的AUB(简称:AUB-N)。AUB-L 的肌瘤包括黏膜下(SM)和其他部位(O)。
二、青春期异常子宫出血
异常子宫出血是青春期女性中最常见的妇科主诉。青春期AUB最常见的原因为是无排卵性月经周期,这与下丘脑-垂体-卵巢轴不成熟有关。 正常月经周期为包括下丘脑、垂体、卵巢和子宫的复杂反馈系统调控的结果。成人的月经周期为21-35日,平均28日,每次持续3-7日。一次月经的失血量中位值为30mL,正常上限为80mL。然而,在月经初潮后5-7年,月经周期存在较大的波动。在初潮后第1年,大约50%的月经周期为无排卵性。建立规律排卵周期所需的时间似乎与发生月经初潮的年龄有关。在小于12岁、12-13岁以及大于13岁发生月经初潮的女孩中,初潮到50%的周期有排卵之间的间隔时间分别为1年、3年和4.5年。青春期异常出血的评估需要仔细询问病史和详细的体格检查。根据病史信息通常可将异常出血分为以下几类:闭经、不规则出血、严重子宫出血、因服用其他药物所致突破性出血、解剖结构异常等。根据体格检查结果可进一步缩小鉴别诊断的范围,以及指导随后的实验室或影像学评估内容。
分析1
该患者10岁月经来潮,月经初潮后2年来月经均不规则,阴道流血持续4-5天,血止2-12天不等再次出现阴道流血,反复至今。多次至当地医院就诊,考虑“青春期异常子宫出血”,予调经治疗数月,症状未见好转。近期患者再次于当地医院复查,超声示“双子宫;宫颈管及阴道积液(考虑处女膜闭锁);左侧附件囊性包块”,考虑“处女膜闭锁可能”,建议手术治疗。患者至我院就诊,肛腹诊查触及阴道上端略膨大,无明显张力。 行超声检查示“双子宫,阴道积液(阴道斜隔综合症可能),左肾缺如”。查血常规、血凝、生殖内分泌激素全套、甲状腺功能未见明显异常。诊断考虑:阴道斜隔综合征。该病需与以下情况鉴别:1. 阴道壁囊肿:阴道壁囊肿不会随月经周期出现增大或减小,患者无周期性下腹痛症状,盆腔 B 超检查多提示子宫及双侧附件正常,泌尿系统B 超检查多无囊肿侧肾缺如表现。2. 盆腔脓肿:患者多有发热、腹痛症状且多合并盆腔炎病史。妇科检查脓肿最低点位置较高,位于后穹隆子宫直肠陷凹处,未见阴道壁肿物。辅助检查:血白细胞升高,盆腔 B 超检查多提示输卵管和盆腔积脓而无内生殖器畸形,泌尿系统B超检查多正常。需特别警惕阴道斜隔综合征并发盆腔脓肿的情况。3. 盆腔或卵巢肿物:妇科检查盆腔肿物位置较高,未见阴道壁肿物。盆腔 B 超检查多提示附件区肿物而无内生殖器畸形,泌尿系统B超检查多正常。要警惕阴道斜隔综合征并发卵巢子宫内膜异位囊肿。
知识点2
阴道斜隔综合征的定义、分型及治疗
阴道斜隔综合征(oblique vaginal septum syndrome,OVSS),又被称为Herlyn-Werner-Wunderlich综合征(HWWS)或OHVIRA综合征(obstructed hemivagina and ipsilateral renal anomaly),是一种少见的女性生殖泌尿系统先天性畸形,其特点包括双子宫、双宫颈、双阴道,以及一侧阴道完全或不完全闭锁,并伴有闭锁阴道侧泌尿系畸形,如肾发育不良、肾缺如。发病率约0.1% - 3.8%。患者大多在成人期发现并陆续确诊,发病年龄为(23.4±2.8)岁。
阴道斜隔综合征可分为三种类型:Ⅰ型,无孔斜隔型,斜隔侧阴道完全闭锁,斜隔后的子宫与外界及对侧子宫完全隔离,两子宫间和两阴道间无通道,宫腔积血聚积在斜隔后阴道腔;Ⅱ型,有孔斜隔型,斜隔侧阴道不完全闭锁,隔上有一个直径数毫米的小孔, 隔后子宫亦与对侧隔绝,经血可通过小孔滴出,但引流不畅;Ⅲ型,无孔斜隔合并宫颈瘘管型,斜隔侧阴道完全闭锁,在两侧宫颈之间或隔后阴道腔与对侧宫颈之间有一小瘘管,斜隔后腔积血可通过另一侧宫颈排出,但引流亦不畅。
青春期发育后有临床症状者,明确诊断后宜尽早行阴道斜隔切除术,从而快速缓解临床症状,防止并发症的发生,保护患者的生育功能。若不及时进行治疗,易继发盆腔子宫内膜异位症以及盆腔粘连、感染,重者可发生输卵管和阴道积脓。手术应在斜隔后腔积血较多时进行,对积血较少者应调整至月经期后进行手术,以保证手术的成功率。阴道壁肿物或斜隔侧子宫腔积血张力大时,易于定位,是行阴道斜隔切除术的时机。手术时可由囊壁小孔或阴道内包块最突出处穿刺定位,抽出陈旧性血液或脓液者表明定位准确;穿刺定位后,顺针头纵形切开阴道斜隔,切口应足够长,上至阴道穹隆,下至囊肿最低点,尽量多地切除阴道斜隔组织,保持引流通畅。应避免仅行阴道斜隔切开术,因该术式易发生阴道斜隔切开部位粘连闭锁而再次出现经血梗阻。此外,对于年轻无*生活性**、要求保留处女膜完整者,可宫腔镜直视下行阴道斜隔切除术。
分析2
患者末次月经3月28日,处于月经期,超声示“阴道内见5.6*4.1*3.0cm暗区,内液稠,下端距会阴口约1.6cm”。遂在硬膜外麻醉下行宫腔镜阴道斜隔切断术。术中见:右下方可见右侧宫颈,略小,光滑,未见明显赘生物,宫颈口见经血流出,阴道左上侧壁可见一肌性斜隔组织,略突起,粉色,隔表面光滑,未见明显开口,左侧宫颈因斜隔阻挡不可见。操作:针状电切割器以斜隔最突出处为起始点逐步切开阴道斜隔组织,见暗红色积血流出,约30ml,陈旧性经血流出后阴道壁包块完全塌陷,宫腔镜下无法完全探及斜隔边缘,行阴道检查,可及斜隔面积约2.0*1.5cm,遂行经阴道斜隔电切术,剪刀扩大斜隔边缘,完全切除斜隔组织,切缘电凝止血,2-0可吸收线连续锁边缝合止血。术后诊断:阴道斜隔综合征I型。
针对OVSS手术时机的选择,并不推荐青春期前女孩进行常规手术治疗,因为青春期前雌激素水平低下,切除的阴道斜隔可能没有办法像青春期后女孩很好的愈合,而且目前没有很好的青春期前手术治疗的大样本临床预后研究,Nassif 等认为青春期前女孩有10%~15%再复发可能,所以并不推荐青春期前女孩进行常规手术治疗,但如已出现发热、腹痛、阴道大量脓性分泌物等并发症,仍需要进行手术治疗。对于青春期女性一经诊断,应立即切除阴道斜隔。选择在月经期或月经刚结束为最佳手术时机,因为此时阴道壁肿物张力大,较易定位。宫腔镜下阴道斜隔切除术是最理想的手术方式,也是解除生殖道梗阻最有效而且简易的方法。宫腔镜下手术尤其适用于未婚女性,因为简单且无创,大部分可保持处女膜的完整性。通常宫腹腔镜联合应用于手术,腹腔镜主要用于了解腹腔内子宫畸形状态,经血返流情况,输卵管积血程度,卵巢巧克力囊肿情况及盆腔子宫内膜异位情况。如对侧子宫发育不良或反复感染造成子宫功能损伤,亦可行腹腔镜下一侧子宫切除术。如有条件,宫腔镜手术除进行腹腔镜下监测,可同时进行超声监测,可以保障手术的安全性,可以更好地寻找到阴道斜隔最佳切口位置。
总结及展望
综上所述,OVSS因为其罕见性且缺乏特异性诊断标准常常被误诊,对于肾脏畸形、痛经及急性腹痛的青春期患者,应常规超声排除OVSS及生殖道畸形。如果产前诊断或者新生儿出现一侧肾脏发育不全,应充分考虑生殖道畸形的风险。相关领域医师应充分熟悉女性的这种综合征和其他的生殖道异常。如果及时进行矫正手术,对于防止远期并发症和保护生育功能是有重要意义。但是,部分OVSS患者就医时已存在相关并发症,如盆腔子宫内膜异位症以及盆腔粘连、感染,重者可发生输卵管和阴道积脓,严重影响患者生育功能和生活质量。因此,有学者提出在青春期进行生殖道筛查,有助于及时采取干预措施。生殖道畸形筛查可通过经腹超声完成,简单、无创、准确,有报道经腹超声对于子宫畸形的诊断阳性预测值94%,阴性预测值为68%。但OVSS发病率较低,且随机超声诊断准确率缺乏研究数据,生殖道畸形筛查对该病的意义仍不清楚,需更多研究支持。
【参考文献】
[1] VALENZANO MM, MISTRANGELO E, LIJOI D, et al. Transvaginal sonohysterographic evaluation of uterine malformations. Eur J Obstet Gynecol Reprod Biol. 2006;124:246-49.
[2] 中华医学会妇产科学分会妇科内分泌学组. 异常子宫出血诊断与治疗指南. 中华妇产科杂志. 2014;49:801-06.
[3] 朱兰, 郎景和, 宋磊, et al. 关于阴道斜隔综合征、MRKH综合征和阴道闭锁诊治的中国专家共识. 中华妇产科杂志. 2018;53:35-42.
[4] 孙莉颖, 朱丽. 阴道斜隔综合征的诊治. 中国实用妇科与产科杂志. 2018;34:374-77.
[5] 宋泽南, 唐达星, *德吴**华, et al. 小儿阴道斜隔综合征临床特点分析. 中华小儿外科杂志. 2019;40:456-59.