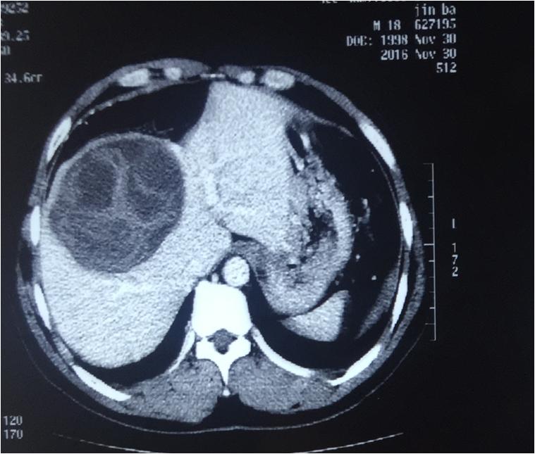
青海新闻网讯 近日,省人民医院介入超声科在郭建琴主任的带领下为一名牧区年轻男性患者完成了一例肝巨大子囊孙囊型包虫囊肿的微波消融术。手术的圆满成功,意味着我院在治疗肝包虫方面取得了新进展。微波消融术在治疗肝包虫病的成功应用,为国内肝包虫病的治疗再添新途径。

肝包虫病是我省的特发的地方性寄生虫传染病,属于人畜共患寄生虫病,严重影响着患者的健康和生活。
此次手术采用的是穿刺针边抽吸边用微波针移动消融三管齐下的方法。手术利用微波针使囊液沸腾,同时用穿刺针将囊液抽吸干净。微波消融可以将实性的囊壁、囊隔行移动式完全消融,通过术前术后超声造影、弹性成像结果比对,鉴定出患者体内的包虫完全灭活。手术利用微波消融术,创口仅2毫米,体现出精准、微创、时间短和疗效佳的优势,减少了患者痛苦且不留疤痕,更具备不损伤正常肝功能的优点,有效防止了包虫囊液外溢引起患者过敏性休克的风险。术后该患者恢复良好,无后遗症,第二天即可下地自由活动。

郭建琴主任介绍,微波消融治疗就是在彩超等影像方法引导下,将一根特制的微波针,经皮穿刺到病变中心区域。微波针尖部位有一个“微型微波炉”,释放的微磁场可使周围分子高速旋转运动并摩擦生温,使组织凝固,脱水坏死,从而达到治疗目的。这种方法定位准确,直接作用于病变细胞,疗效好,安全性高。

省人民医院介入超声科利用微波消融术在囊性包虫病治疗成功应用,开辟了肝包虫囊肿微创治疗的又一新途径,填补了国内这一领域的空白,相信这项技术的应用将成为我省肝包虫病患者的福音。
超级链接:
青海省人民医院介入超声科,是集超声诊断与介入治疗为一体的独立的临床科室,是青海省人民医院为适应当代影像引导微创治疗新技术的发展而成立的新学科,是省内超声引导微创治疗领域的领头学科。
科室能够充分发挥学科优势,将微波、射频热消融、粒子植入等技术在肝、肾、子宫、甲状腺等多脏器实体瘤的治疗中提供了新方法,为患者开辟了一条微创、安全、有效的治疗新途径,提高患者生存质量,延长生存期。目前,介入超声诊疗以作为囊性病变的首选方法,良、恶性肿瘤非手术治疗的重要手段而推广,可与外科手术相媲美。