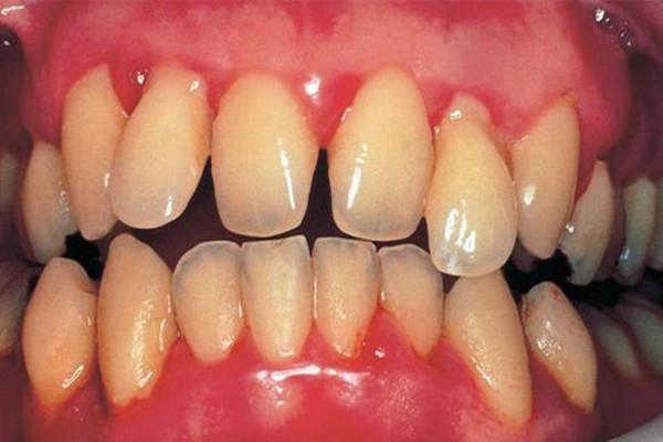
牙龈肿胀是相当常见的口腔问题,生活中引起原因多种多样,一般而言没过多久就会好转。但这看似不起眼的问题,情况严重时往往非常扰人,且也可能与疾病、癌症有关,若持续未改善,恐怕出现蜂窝性组织炎或病情恶化的危险,提醒人们多加留意。

牙龈为何会肿胀、发炎?常见4大原因 牙龈肿胀的问题最常见的就是因睡眠不足、口腔清洁不佳、酒精或辣物等刺激性食物,造成发炎或感染,另外也很常见的就是智齿所引起的牙冠周围炎。 智齿长出来时,运气好可以与磨牙和平共处,但很多时候是长不出来、畸形生长,牙齿间不断推挤,导致附近牙龈出现发炎的情况,使得牙龈不断肿胀,且难以消退。 除此之外,牙龈肿胀也可能跟疾病有关,像是糖尿病患者若病情控制不佳,也容易出现牙龈肿胀、牙周发炎的情况,且容易形成恶性循环,病情未妥善控制形成牙龈肿胀,牙龈肿胀使得糖尿病更加恶化。

说到疾病,相信民众也相当关注癌症,牙龈肿胀的表现在临床上和癌症的关系较浅。以牙龈癌来说,此癌症非常罕见,而口腔癌初期引起的白斑、红斑较常出现于口腔黏膜,出现牙龈肿胀时则较常出现于后期,可多留意,不必过度紧张,但若有发现化脓、恶臭、大规模且怪异的肿胀一定要特别注意。 除了上述以外,像是怀孕或经期导致的内分泌变化、或使用抗癫痫药物、类固醇药物等药物因素,也是有可能发生牙龈肿胀的问题,但通常多为慢性、较不严重,不过也可以多留意。

牙龈肿胀、发炎2状况尽早就医别再忍! 大部分会前往就医的民众,通常是牙龈已经非常不适。牙龈肿胀2~3天是正常的,但若超过3天没有缓解,不论是否忍得下去都建议尽早就医检查为佳,若有出现出血、化脓的情况更是不宜久拖。
牙科医生提示,超过3天没有趋缓,通常情况已经比较严重,若后续造成感染,口腔细菌又多,很有可能形成蜂窝性组织炎,处理起来将会更为棘手。另一方面也可能是其他疾病等状况的警讯,若置之不理,可能会让病情更加严重。

6招有助改善牙龈肿胀,可适度补充相关营养!
人们在牙龈肿胀开始还在观察时,可以使用 消炎、止痛类药物 ,或是使用丁香油等有 薄荷成分的药物 适度涂抹在牙龈肿痛处作改善。
除此之外,一般简单的 冰敷 也是很好的改善方式,但要注意是冰在脸颊,而不是在嘴巴。而含漱口水或温热的食盐水也有利于 口腔消毒 ,对于改善肿痛症状有帮助。还可以适度地多补充 维生素B、维生素C、叶酸 等,这些营养都有助于改善牙龈问题。
这段时间自然应避免饮酒、吃辣等 刺激性饮食 。也再次提醒,若是超过3天或视病情加剧、甚至是出血、化脓时就应尽早就医,不宜再拖。