女子从半年前开始反复腰疼,几经治疗却没能得到彻底解决,在湖南省人民医院查出,反复腰疼竟是一种发病率高达10%的妇科病作怪,并成功接受手术。

40岁的长沙市民陈女士因月经结束后2天又“卷土重来”,加上频繁右侧腰痛、尾骨胀痛,于2019年12月到医院看妇科,完善妇科相关检查后发现宫颈病变2度,接受了宫颈锥切手术。术后,患者异常流血的情况解决了,但腰痛的情况仍未好转。
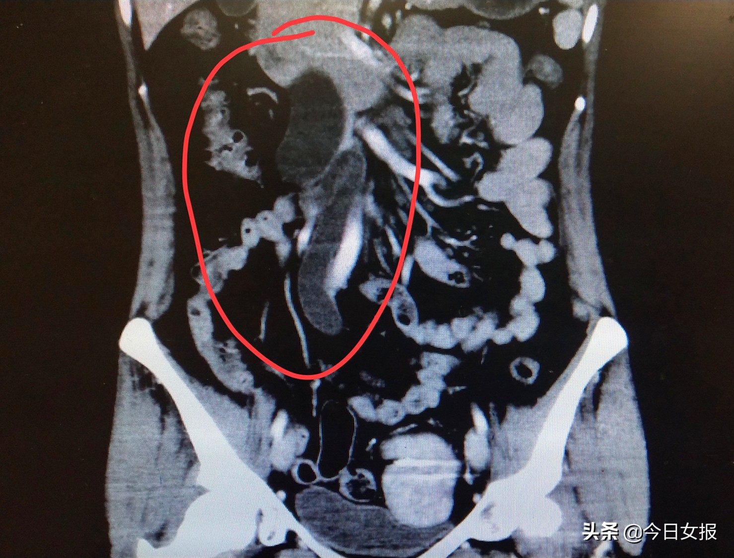
2020年2月,陈女士复查双肾B超显示:右侧输尿管狭窄、右肾重度积水。于2月初做了右输尿管镜检查+DJ管植入的手术,以扩张狭窄的输尿管并改善重度肾积水的情况。一个多月后,陈女士自觉腰痛无好转,提前到医院取掉DJ管,并于4月11日来到湖南省人民医院天心阁院区泌尿外科就诊。

李远伟主任医师检查发现,陈女士的阴道后壁有一个肿块,考虑右侧输尿管狭窄、右肾积水可能与此肿块有关,于是邀请妇科黄薇副主任医师会诊。做了妇科检查发现,患者阴道后方直肠前方右侧有一个硬硬的包块,初步考虑为深部子宫内膜异位症,这应该就是导致她输尿管扩张、肾积水的主要原因。
黄薇副主任医师组织科内大讨论,同时邀请泌尿外科李远伟主任医师、普外科刘祺主任医师,麻醉科等多科专家讨论后,于4月22日在全麻下为陈女士施行剖腹探查术。术中发现,右侧盆壁输尿管下段明显增厚,上段输尿管明显增粗,术中病理检查明确为子宫内膜异位症。黄薇副主任医师联合泌尿外科刘哲主任医师为患者施行右侧盆壁肿块切除、右输尿管粘连分离、右侧输尿管部分切除再植术。手术过程顺利,患者术后腰痛症状明显好转。

“子宫内膜异位症是指具有生长功能的子宫内膜组织出现在子宫腔以外部位所引发的病症,是育龄期女性常见的妇科疾病之一,平均每10位育龄期女性中就有1人患病,痛经、月经失调、不孕是最常见的症状。”
黄薇副主任医师提醒,虽然子宫内膜异位症为良性病变,但可侵犯全身任何部位,异位的子宫内膜组织就像行走的种子,走到合适的地方就生根发芽,扎根到膀胱会出现尿频、尿痛甚至尿血;扎根到肠管会出现腹泻、便秘、便血;扎根到皮肤会出现包块;甚至可以扎根在鼻腔出现流鼻血等症状。有一个显著特征就是,上述症状的出现具有明显的周期性,症状发作都是在月经期,月经一走就恢复正常。
但陈女士属于深部浸润型子宫内膜异位症的一种特殊类型——输尿管内膜异位症,出现了输尿管狭窄及肾功能损害,所以腰痛持续出现,而不是与月经周期同步,从而增加了诊断的难度。
黄薇提醒,育龄期女性如出现以上周期性的症状应到医院就诊;此外,如出现频繁腰痛、异常阴道流血、痛经、*交性**痛、不孕等症状时,也应及时到医院检查,以排除子宫内膜异位症,避免深部内异症导致其他组织功能的严重损害。
文、图:今日女报/凤网记者 李诗韵 通讯员 梁辉 李琴
编辑:小Y