赵女士是一家互联网公司的高层,平时收入也不低,每逢周末的时候,她都会约上三五好友,出去大吃一顿,日子过的舒舒服服,可是生活却给了她一个“惊喜”。
在一次公司组织的体检中,赵女士被查出来了一个2cm大小的子宫平滑肌瘤,但是她本身并没有感觉到任何异常,医生也告诉她这个肌瘤很小,还没有到达手术指征,也不需要进行任何处理,只用定期体检,观察肌瘤的变化以及增长速度就可以了,赵女士听完也放下了心。

就这样一直过了几年,这期间赵女士因为种种原因都没有参与体检。直到前几天晚上,赵女士躺在床上玩手机的时候,无意间摸到了自己的肚子上有一个突起的鼓包,用手按压的时候还能感到轻微的疼痛,这个把赵女士吓坏了,第二天一早就去了医院。
经过医生的一系列检查以后,发现原来那个2cm的肌瘤居然长到了12cm,医生怀疑是子宫平滑肌肉瘤,建议住院进行进一步治疗。
看到这里,估计就该有人问了,子宫平滑肌瘤和子宫平滑肌肉瘤不一样吗?他们不就差了一个字吗?我可以肯定的回答,是的,子宫平滑肌瘤和子宫平滑肌肉瘤虽一字之差,却有天壤之别。趁着头条健康联合广东省润希靖南抗骨癌基金会共同发起#被遗忘的癌症#活动,让我来讲一讲两者之间的“鸿沟”。

一字之差、天壤之别——平滑肌瘤与平滑肌肉瘤
子宫平滑肌瘤也就是子宫肌瘤,相信大家对于这个词语并不陌生,我们身边可能有很多女性朋友都有子宫肌瘤,医生也告诉她们,对于小的、影响不大的子宫肌瘤甚至可以不用去管它。
如果子宫平滑肌瘤加了一个字,变成子宫平滑肌肉瘤,那性质可就大不相同了。平滑肌瘤是一种良性肿瘤,而平滑肌肉瘤则是一种由平滑肌细胞引发的恶性肿瘤,最常见的部位就是子宫,但是在骨骼、血管、皮肤、腹膜等部位也会发生。

目前来讲,平滑肌肉瘤的发病率在软组织肉瘤中排名第二,仅仅低于脂肪肉瘤,可以占到全部软组织肉瘤的1/5。经过临床观察发现,平滑肌肉瘤的发生率会随着年龄的增加而增加,也就是说,这类软组织肉瘤在老年人中最为常见。
由于现在的科技水平和相关研究还不够完善,所以平滑肌肉瘤的病因和危险因素目前还不清楚,但是有相关研究人员猜测,它与免疫功能有一定的联系,因为像艾滋病患者、肾病、心脏病患者,他们的免疫力一般都比较低,而且平滑肌肉瘤也常在他们之中发生。

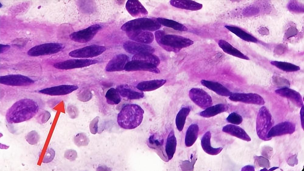
平滑肌肉瘤可以发生在任何组织器官上,就细胞形态而言,平滑肌肉瘤细胞和平滑肌细胞的差别还是非常大的。平滑肌肉瘤细胞整体是一个梭型,呈簇状排列,喜欢酸性环境,其细胞核长,染色很深,位于整个细胞的正中央。
平滑肌肉瘤和其他的软组织肉瘤一样,本身一般不会表现出什么异常的症状,只有当它生长的特别大,压迫到周围的组织器官的时候,才会产生一些器官被压迫到而表现出来的非特异性症状,如压迫到胃部,表现出恶心、呕吐、腹泻等。

在临床医学领域,还可以根据瘤细胞分化不同、核分裂象多少、肌原纤维丝的数量以及瘤细胞排列特点等将平滑肌肉瘤分为四个类型。分别是普通型平滑肌肉瘤、多形性平滑肌肉瘤、上皮样平滑肌肉瘤和伴有破骨细胞样巨细胞平滑肌肉瘤。
我们先来说说普通型平滑肌肉瘤。这种肉瘤的细胞呈长梭形,胞浆丰富,边界清楚,有不太清楚的平行肌原纤维丝。细胞核较大,体积和形状各不相同,两端呈钝圆形,看起来像雪茄烟一样。在肉瘤细胞之间,还有少量的纤维组织,纵横交错。

其次是多形性平滑肌肉瘤。
从它的名字中我们就可以看出来,这种瘤细胞的大小和性状都各不相同,细胞核异型性非常显著,核分裂现象十分常见,大部分区域的细胞没有固定的排列方式,杂乱无章。
然后我们再来说说上皮样平滑肌肉瘤。
这类瘤细胞胞弥散呈片状或排列呈结节状,结节大小不一,结节内的细胞多少也不等。细胞核较大,呈圆形或者椭圆形,位于细胞中央,染色质密集粗大,核仁小而圆。

最后是伴有破骨细胞样巨细胞平滑肌肉瘤。
它是最不常见的一种平滑肌肉瘤类型,通常在普通型平滑肌肉瘤附近可以看到一些,其细胞体积较大,胞浆丰富,嗜酸性,核呈圆形或卵圆形,大小较一致。
无论什么类型的平滑肌肉瘤都没办法直接进行判断,需要通过手术取得活体样本,然后根据显微镜下的细胞类型,有丝分裂情况以及有无坏死这些病理检查方法来诊断。虽然影像学技术不能直接用于平滑肌肉瘤的确诊,但是可以起到一定的辅助作用。

比如,核磁共振检查可以帮助确认肉瘤的位置以及肉瘤和周围组织器官的联系,尤其是神经和血管之间的联系;CT检查可以用来观察平滑肌肉瘤的浸润程度和转移情况。而且最近的一项研究发现,CT检查可以帮助鉴别血管平滑肌肉瘤和腹膜后平滑肌肉瘤。
由此可见,平滑肌瘤和平滑肌肉瘤虽然就相差了一个字,可是性质却大不一样。平滑肌肉瘤是一种恶性肿瘤,可以分为四种类型,还没办法直接诊断,那么,万一患上了平滑肌肉瘤,该如何治疗呢?

平滑肌肉瘤该怎么治疗?
目前平滑肌肉瘤的治疗原则是以外科手术切除治疗为主,然后以放疗、化疗为辅,根据平滑肌肉瘤的类型和部位的不同,制定个性化的治疗方案。
1、外科手术治疗
和其他类型的软组织肉瘤一样,外科切除手术是最主要的治疗方法,外科手术治疗的目的就是完全切除肉瘤。
然而,一般来说,平滑肌肉瘤通过外科手术完全切除的难度极大,这是因为肉瘤的体积通常较大,局部可能还与周围的组织器官紧密粘连,解剖复杂。所以说,手术并不是唯一的治疗手段,后续的放化疗也要跟上。

2、放疗
放射治疗平滑肌肉瘤的主要目的就是控制肉瘤的发展,从而保护周围的组织器官,减少局部复发,但是放射治疗不能从根本上提高生存率。因此,放射治疗当作姑息治疗,缓解病人的痛苦。
3、化疗
化疗就是化学药物治疗,它和放疗一样,都是辅助治疗平滑肌肉瘤的手段。一般情况下用不到化疗,但是在平滑肌肉瘤危及生命的时候,就可以通过化疗来控制病情。
此外,化疗对不同类型的平滑肌肉瘤的治疗效果也不尽相同。与内脏平滑肌肉瘤相比,化疗对于子宫平滑肌肉瘤的治疗控制效果就相当好。比如说,常用的蒽环类药物——阿霉素,单独使用即可达到10%~25%的缓解率。
另外,多提一点,和放疗相比,化疗的范围更广,也是其一大优势哦。

写在最后
总而言之,平滑肌肉瘤不同于平滑肌瘤,它是一种恶性肿瘤,可以分为普通型平滑肌肉瘤、多形性平滑肌肉瘤、上皮样平滑肌肉瘤和伴有破骨细胞样巨细胞平滑肌肉瘤这四种类型。
对平滑肌肉瘤进行治疗时,通常时以外科切除手术为主,放疗、化疗为辅,根据病人的具体情况而制定个性化的治疗方案,总而提高治疗的成功率。

参考文献:
[1]武洋,苗润晨,张兴,张月浪,马小华,刘昌.原发性肝平滑肌肉瘤诊断与治疗[J].中华肝脏外科手术学电子杂志,2021,10(06):618-621.
[2]丛梦雪,胡一村,张晓勃,沈雄虎.下腔静脉平滑肌肉瘤的诊治研究进展[J].山东医药,2021,61(34):111-114.
[3]王旭,卢晓峰,张朋宾,李勇男,高秉仁.原发性下腔静脉平滑肌肉瘤的诊疗进展[J].实用临床医药杂志,2021,25(15):119-123+127.
[4]谢淦,张帆,陈吉,陈亚红,刘海艳.子宫平滑肌肿瘤的病理学研究进展[J].临床与实验病理学杂志,2020,36(11):1324-1327.