周先生国庆节前在一家医疗机构进行了体检,昨天体检机构给他打了电话,电话里体检医生告诉他说:他的肝脏上长了水泡,可能需要治疗,让他尽快过来。周先生一下子慌了神,肝脏上怎么会出现水泡?自己怎么没有任何不适症状呢?这水泡会恶化吗?真的像体检医生说的那样需要治疗吗?
其实,所谓的“肝脏长水泡”一般是没有症状的,一般都是在接受超声波或CT检查而意外发现。只有非常少的情况下是因为水泡破裂、长得太大而压迫其他的脏器、胆管,或因为内部有出血情况或者是感染造成腹部疼痛以及黄疸,这时候患者去医院求诊,才被诊断出来的。

肝脏单纯囊肿,大多是先天因素引起
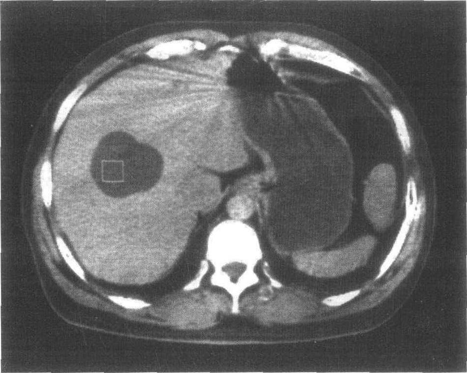
肝脏水泡实际上是一种通俗的说法,在超声波的诊断上是属于肝脏的无回音病灶,呈现在超声波上的标准图像是纯黑色的圆形构造,并且在超声波图像后端出现回音增强的情形,其实就是肝部的囊肿,或者称为肝囊肿。

肝脏出现单纯性囊肿的比例其实并不低,统计认为占了全人口数的3.6%,是一种相当常见的问题,所以当超声波的图像出现这种特征,医师就会推测该病灶为无害的单纯性肝囊肿,在我国某些地方也被俗称为肝脏水泡。
单纯性肝囊肿一般被认为是先天因素引起的,随着年龄的增加会缓慢增大而被检查手段发现,多数小于5公分,从性别上来说,女性比男性多。无症状的肝囊肿其实知道就可以了,并不需要特别的去处理,如果真的出现了需要诊断或治疗的情形,可以使用抽吸术、引流术、外科开窗术,或者是注入硬化剂来治疗。广泛地说,单纯性肝囊肿属于一种肝脏纤维囊肿病变,而肝脏的纤维囊肿病变,成因是肝内的胆管等发育异常导致的。

其他肝脏纤维囊肿病变需了解病因,及时干预
肝脏囊肿除了先前叙述的单纯性囊肿,还有其他的肝脏纤维囊肿病变,以及跟寄生虫感染有关的肝包虫囊肿,寄生虫感染在我国已经很少见了,但是肝脏的其他纤维囊肿病变还是偶尔可见。例如隐性遗传的多囊性肝脏病变在儿童期就可以显现,因为伴随着肾脏的隐性多囊性病变,是一种很快就会致命的疾病。显性遗传的多囊性肝脏病变,虽然有时也会伴随着显性多囊性肾脏病,不过预后却是好多了。在这类的人群中,如果使用女性激素的话,会加速囊肿增生。

多囊性肝脏病变中,肝囊肿的内膜跟胆管一般是类似,只有少数情形是鳞状上皮,而这罕见的情形则有可能衍生为鳞状细胞癌。其他可能并发癌症的情形,如肝内胆管错构瘤,Caroli's病(也称为先天性肝内胆管扩张症),有衍生为胆管癌的可能,其中先天性肝内胆管扩张症因为伴随着较大肝内胆管的不规则扩张,也常并发肝内结石、胆管炎等疾病。
肝脏紫癜病的患者则是所谓的血囊肿,肝脏出现了囊肿,这些囊肿中其实是血。轻微的肝脏紫癜病其实也没有症状,但是严重的肝脏紫癜病还是会造成肝衰竭、内出血。因为这个病症多是由于其他疾病或药品所引起,所以治疗的方法则是治疗引起肝脏紫癜病的疾病(比如有营养不良、结核病、艾滋病、癌症),或减少使用引发的药品(比如类固醇、女性激素等)。

发现肝脏囊肿,建议定期跟踪复查
另外,在肝脏出现囊肿的情形,也有可能是转移过来的、会分泌黏液的肿瘤。又或者是因为脂肪干扰了超声波的图像,在这种情形下,肝脏的囊肿就不会是纯黑色的,而是灰黑或淡灰色,跟其他的小型肝肿瘤就无法做区分。所以第一次发现的水泡如果不是太大,医师会建议至少3个月后必须要进行一次复查,以评价该囊肿长大的速度。快速增生的囊肿,或囊肿中可见隔间、小肿瘤的囊肿,要考虑切除或进一步检查。

像上面周先生的情况,确实应该去相关的医疗机构或者医院进行复查,了解肝囊肿的原因,如果只是单纯性的囊肿,那么可以不用治疗,只需要定期复查即可,但如果是其他原因的肝囊肿则需要了解病因再做处理。
还有一种情形要注意,是CT扫描时诊断中发现的肝脏囊肿。因为肝脏出现“水泡”实在是太常见了,所以对于CT扫描图像中不显影的病灶,影像学医生一样会认为是属于无害的肝脏囊肿,但实际上,转移到肝脏的肿瘤以及肝脏的淋巴瘤,同样也是不显影或显影不明显的。因此,临床医生对于超声波跟CT扫描影像诊断不一致的情形,还是会要求病人必须复查跟踪监测,或安排其他检查,以便确诊或者排除其他疾病。
#秋季健康不打烊##医生来辟谣#@头条健康