#清风计划#
01 来自眼皮的烦恼
有句俗话,叫“左眼跳财,右眼跳灾”
有的时候,我们的眼皮会不受控制的跳动一下或者几下,这是没有什么大碍的,这是正常现象。
但是有些人,他们的眼皮会一直不停的跳动,甚至是一侧面部肌肉都在抽动。严重的甚至连睡觉都没法睡觉了。
我有一个这样的病人,她的眼皮就是在不停的跳动,跟她说话的时候,她好像在给你挤眉弄眼。最初,她还只是每天发作一小会儿,过几分钟就自行缓解。可是随着病情发展,她的症状越来越严重,眼皮不停在跳,还扯着嘴巴一起抽,连睡觉都受到了影响。你想想,要是你眼皮一直不停在跳,你能睡着不?
关键,还影响颜值

如果是这种情况,那就是一种病了,这种病叫面肌痉挛。
02 什么是面肌痉挛?
面肌痉挛是医学上的诊断专业用语,它还有一个更为通俗易懂的名字——面部肌肉抽搐,这就是指患者面部的肌肉不受控制,自己抽动。最早是眼皮抽动,往往是在紧张、劳累后出现,病情不断发展,可以导致一侧面部肌肉都抽动,而且无时无刻不在抽动。更有的严重者,甚至脖子都在跟着一起抽。

严重的面肌痉挛让患者痛不欲生
这种疾病最常见于中年女性。在人群中的发病率不高,女性发病率为每10万人有14人发病,男性只有7人左右。
但是,由于各种原因,导致这种疾病发病年龄正在逐渐年轻化。
03 控制面部肌肉的神经
我们面部的肌肉运动,是由我们的大脑进行控制。在我们的脑干,会发出一根名为面神经的神经。面神经会进入到我们的面部肌肉当中,将大脑发出的指令传达给面部的肌肉。
比如,当我们想要睡觉的时候,面神经就会把大脑要求闭眼的命令传递给控制眼皮的肌肉,我们就会闭上眼睛。

面神经从大脑发出后,分为很多分支进入我们的各个面部肌肉。
同时,面神经除了控制面部肌肉的运动以外,还负责收集我们舌头前部三分之二的味觉,同时还支配我们泪腺和腮腺的腺体分泌。

面神经也控制我们舌前三分之二的味觉
04.引起面肌痉挛的原因是什么?
根据引起面肌痉挛的原因不同,面肌痉挛分为继发性面肌痉挛和原发性面肌痉挛
继发性面肌痉挛是指脑袋里面长了一个肿瘤、囊肿或者炎症性包块,这个包块刺激到面神经之后,就会引起面神经异常放电,导致面部肌肉异常收缩,引起眼皮、嘴角不自主抽动的症状。
除了面肌抽搐以外,患者还会有头痛、恶心、呕吐、耳鸣等症状。
这种情况引起的面肌痉挛较为少见,大概占所有面肌痉挛的五分之一。
而最常见的是原发性面肌痉挛,这是由于有一根微小的小血管和面神经靠得太紧,导致小血管不断刺激面神经,引起面肌痉挛。
这一类型的面肌痉挛占了所有面肌痉挛中的绝大多数
原发性面肌痉挛不像继发性面肌痉挛,通常没有头痛、恶心、呕吐等症状

我们可以看见,这根血管和面神经紧密接触,刺激面神经不断放电
插播一个张医生小课堂 责任血管是什么意思?
责任血管是我们医学中使用的术语,就是指这个血管是引起病变的原因。比如在面肌痉挛中,某根小血管压迫到了面神经,引起面肌痉挛,那么这根血管就叫做责任血管
05.面肌痉挛要做哪些检查
通过典型的症状,医生大概可以判断出患者是面肌痉挛,接下来主要的矛盾问题就是要找出病因,看看是什么原因导致的面肌痉挛,好决定进一步治疗方法。
(1)肌电图

肌电图检查就是在面部插上几根针(电极),然后记录肌肉活动时,神经的放电情况,有助于帮助医生判断是否为面肌痉挛。
(2)颅脑磁共振检查
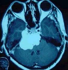
前面我们讲过,引起面肌痉挛的主要原因就是颅内的血管压迫面神经或者是颅内的占位性病变(肿瘤、炎症、囊肿等)压迫面神经导致,这个时候做磁共振就能够清清楚楚的发现颅内的病变。

比如这一副图,我们从磁共振上可以看到有一块巨大的肿瘤(白色高亮区域),这就是肿瘤引起的面肌痉挛。

我们再来看这一幅图,这是磁共振检查发现的,有一根小血管压迫(红色箭头所指的白色高亮条状影)压迫到了面神经
05.面肌痉挛如何治疗?
继发性面肌痉挛,就是颅内肿瘤、囊肿之类的占位性病变引起的面肌抽动,通常是采用手术将病变切除。
原发性面肌痉挛的治疗方法有很多,我给大家分别介绍一下
(1)服用卡马西平等药物
每天服用卡马西平(奥卡西平、安定等药物)控制症状,这是治标不治本的方法。通过卡马西平能够抑制面神经的放电,从而缓解症状。
这种疗法的好处就是不用手术,就吃药就可以,价格也很便宜。
不过有百分之二十的患者对这个药物无效,另外,有很多人在服用这个药物一两年之后,就没有效果了。
同时,卡马西平还有一些副作用,比如长期服用可以造成有些人肝肾功能损伤,还有就是起皮疹。
(2)注射肉毒素治疗
肉毒素,对,就是那个美容整形常用的明星药物。肉毒素能够使肌肉松弛不收缩,从而消除皱纹。这个原理也被应用到了治疗面肌痉挛上,面肌痉挛患者的面部肌肉不是一直不停在收缩吗?所以注射肉毒素让它们都消停消停

这个的优点是不用手术,主要就是给那些不愿意吃药,又不愿意手术的患者,或者吃药、手术后都没有效果的患者使用的。
缺点嘛,价格肯定比吃药贵。然后它的效果通常能维持8个月,8月后需要再次注射,随着时间推移,需要注射的剂量越来越大,能够维持的时间也越来越短。
(3)微血管减压手术
这是目前最为流行的手术治疗方法,很多患者在术后可以得到根治
治疗方法是在耳后切开一个长约10厘米的切口,打开颅骨,找到面神经和压迫面神经的血管

手术切口的位置和大小
找到压迫面神经的血管之后,轻轻得将血管和神经分开,然后再找两者之间垫上一块特制的小棉片,大功告成。

就像这样,在血管和神经之间垫上一块特别制作的小棉片
该治疗的费用大概在2万元左右。
注意,面肌痉挛不推荐使用针灸治疗
因为本来就是神经受刺激,如果再用针灸刺激有可能会加重症状。
我不是中医黑,面瘫我也提倡针灸治疗的,但是面肌痉挛不要针灸。
希望这一期的文章对大家有帮助,如果大家有想了解的疾病,可以留言告诉我,我会为大家回答大家想知道的健康问题。
往期文章回顾:
医生大白话辟谣:咳嗽、咳痰马上就要用镇咳药?医生说“不对”
32岁男子脑内肿瘤2年复发3次,为什么我们医生说这种肿瘤是最恶的
怎么老是长脂肪瘤?医生告诉你原因
医生大白话:一文读懂垂体瘤
辟谣:脑梗死后真的无药可救只能瘫痪?不到20%患者享用这项技术