发病特点
- 儿童主发:占75%-85%,好发年龄5-15岁。
- 发病高峰:75%发生在15岁以下,次高峰为24-30岁。
- 性别差异:男女比例为2:1。
发生部位
- 儿童:小脑蚓部,引起阻塞性脑积水。
- 成人:常见于小脑半球的背侧面。
常见症状
- 头痛、呕吐、步态不稳
- 共济失调、视力减退
- 体检:视乳头水肿、闭目难立等。
病程特点
- 发展迅速,手术易复发。
- 对放疗敏感。
病理特征
- 髓母细胞
- 高度恶性、发展迅速
- WHO分级:IV级,华山神经病理分为4级。
- 细胞学特征:丰富、稠密排列,多向分化能力。
影像学表现
CT表现
- 病灶形态:圆形/卵圆形,边界清楚。
- 密度:多数略高,可见轻度瘤周水肿。
- 效应:儿童引起占位效应,可合并阻塞性脑积水。
- 增强后:均匀强化,囊变、坏死则不均匀强化。
MRI表现
- T1WI:等/略低信号,T2WI上呈等/高信号。
- 边界:清晰,瘤周轻度水肿。
- 增强后:均匀强化,典型“小囊大结节”征象。
- 成人表现:MRI与CT表现均不典型。





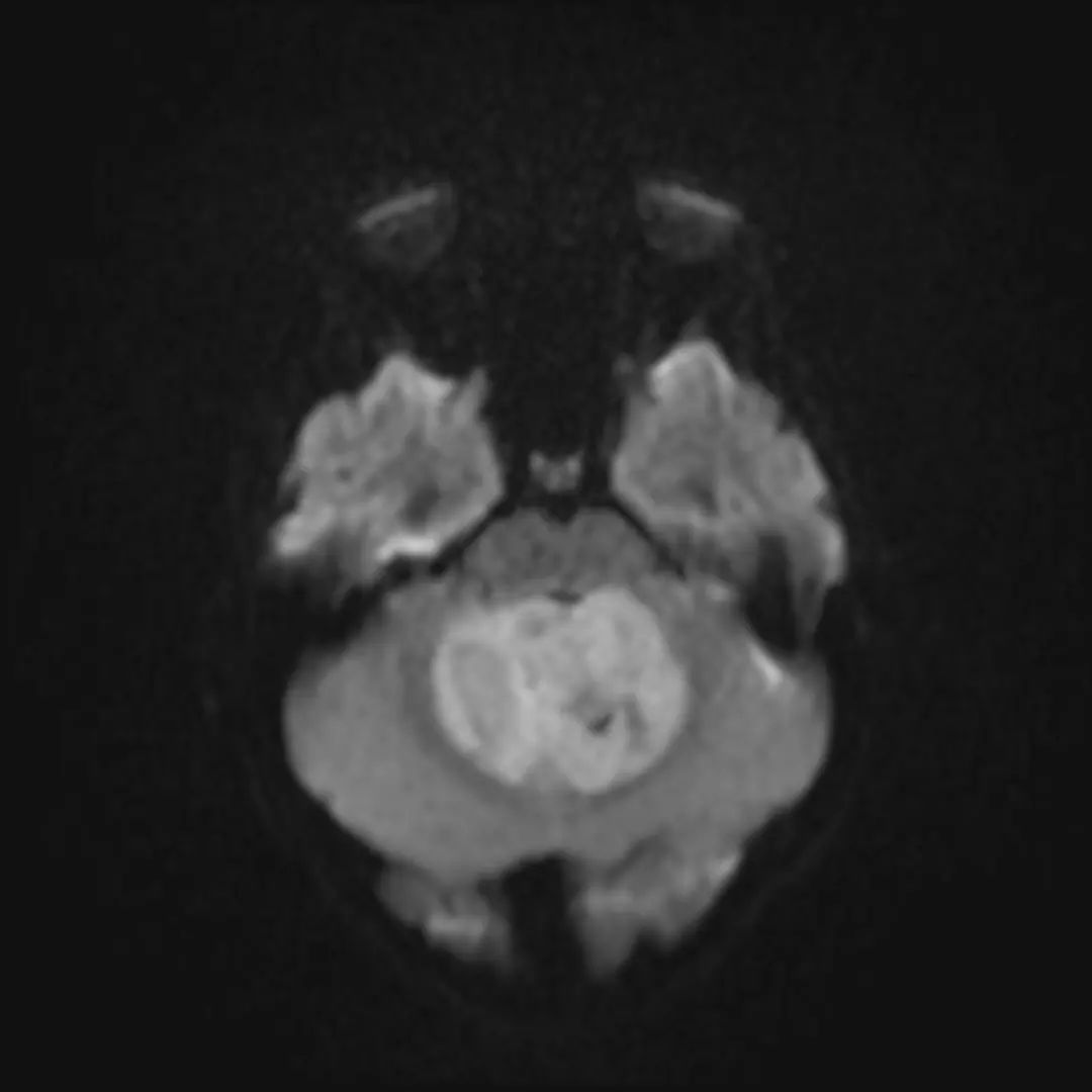
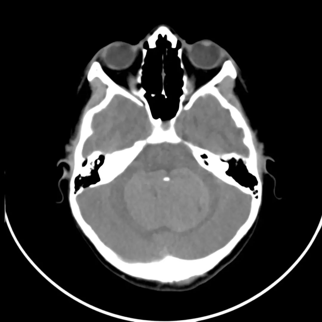
中线小脑肿块,充满第四脑室并压迫脑干和小脑。与周围正常小脑相比,肿瘤在T1 WI上呈低信号,在T2 WI上呈轻度高信号,不均匀强化,呈囊/坏死成分,弥散受限。病理髓母细胞瘤。
鉴别诊断
室管膜瘤
- 好发部位:第四脑室,50%显示钙化。
- 增强后:轻到中度不均匀强化。
小脑星形细胞瘤
- 特征:多为毛细胞型,壁结节强化。
血管母细胞瘤
- 特征:50-60岁,蛇形流空影。
小脑转移性肿瘤与小脑出血
- 特点:多发于40岁以上,结合病史与影像学鉴别。