@头条健康 @丁香医生
对于脚踝骨折来说,能不能采取保守治疗的方法,什么样的骨折最好做手术治疗,对于很多脚踝扭伤造成骨折的朋友来说,都是一个很困扰的问题。最常见的现象是作为病人都希望能够保守治疗,毕竟谁也不想在自己身上开一刀啊,但是看病的医生却说最好是做手术治疗,这时候多数人心里就没底儿了,能不能保守治疗啊?医生会不会坑我啊?手术有没有后遗症啊?......一大推的疑问。今天杨医生就这个问题做一个系统的科普说明,相信会对大家有些帮助。
1,为了能够帮助大家理解,需要先解释一下踝关节的解剖。由于我们主要是谈骨折,所以用踝关节正位X光图像作为“模特”。
如图所示,胫骨下端、腓骨下端与距骨一起组成踝关节,其中胫骨下端构成踝关节的顶部和内踝;腓骨下端称为外踝;内踝、外踝以及顶部一起组成一个门形的结构包绕距骨,距骨所在的门形结构称为“踝穴”,距骨两侧的间隙分别称为内侧和外侧关节间隙,通常情况下内侧和外侧的间隙是均匀相等的。

踝关节正位X光图像,可以看到主要的解剖结构
踝穴结构有些类似于自行车的“前叉”,而距骨就好比是自行车的前轮,“前叉”从两侧固定轮子,允许轮子做前后滚动的动作,但是在侧向上要维持稳定。通常来说,距骨不容易发生骨折。我们常说的踝关节骨折,主要是外踝和内踝骨折,有时候会累及“后踝”(胫骨的下端后方,在侧位图像上可以看得比较清楚)。
2,那么什么样的骨折可以不做手术呢?有以下几种情况,是可以做保守治疗的。
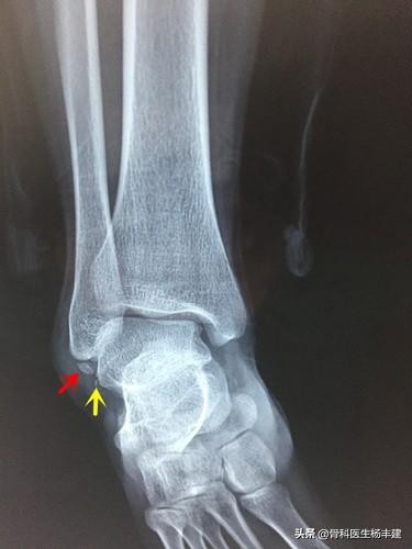
①撕脱骨折。所谓撕脱骨折,是指在踝关节扭伤时,比较大的外力作用,导致韧带与骨头相结合的位置产生比较大的撕扯力量,韧带与骨折附着处撕裂,并带了小片的骨质下来。这种损伤虽然称为骨折,但是其本质更类似于韧带损伤。这种情况多数情况下是不需要做手术的,通过石膏固定6周左右,然后进行功能锻炼,尽快恢复踝关节的灵活性即可。(需要说明,少数病人因为韧带撕裂太严重,会导致后期出现关节不稳的情况,需要做韧带重建手术。)

红色箭头以及黄色箭头处均为撕脱骨折,尤其是黄箭处的骨片极小,容易漏诊
②没有移位的单处骨折。
前面我们提到过,踝关节一旦出现骨折,往往会造成外踝或者内踝,甚至连同后踝的骨折。如果外力相对比较小,也可能会出现单处骨折,比如说单纯外踝的骨折。如果说至于单处骨折,并且骨折没有移位,踝穴两侧的关节间隙均匀,是可以采取保守治疗的,尤其是年纪稍微大一些的病人。(由于X光片的重叠效应,后踝骨折容易漏诊,关节周围骨折最好有CT检查)

红色箭头处显示外踝骨折,但几乎没有移位,踝穴两侧的关节间隙均匀,没有增宽的表现
3,那么什么样的骨折需要做手术呢?如果损伤造成了两处,甚至两处以上的骨折(比如说内踝、外踝同时骨折,甚至连同后踝一起骨折),踝关节的稳定性往往会遭到破坏,从而出现比较明显的移位,这种情况是需要做手术治疗的。

内外踝均有骨折,并有明显移位,是手术治疗的指征
①手术治疗的目的主要是对移位的骨折进行解剖复位。所谓解剖复位,是指把骨折移位完全纠正,最好复到与骨折前一模一样。

解剖复位就如同拼图的最后一块一样,务必要“严丝合缝”!
②骨折复位后,还需要关节下胫腓联合的宽度,以及踝穴两侧关节间隙的宽度。如果出现骨折完全复位,但是两侧关节间隙的宽度不对称,说明距骨的位置有问题,很可能存在下胫腓联合的脱位,也是需要修正的,通常使用螺丝钉收紧下胫腓联合。

手术前可见内侧踝穴明显增宽,距骨向外侧移位。手术中使用长螺钉收紧下胫腓联合,推挤距骨归位。
4,手术治疗的好处体现在哪些地方呢?主要有以下几点:
①手术可以完全将骨折复位。踝关节对于关节面的平整度要求很高,如果踝关节骨折后,存在一定程度的移位,愈合以后关节面就会不平整,容易造成关节老化加快。
打个比方说,对于踝关节、膝关节这种负重的关节来说,关节面的平整对于整个关节来说,就好比是公路质量对于汽车轮胎关系一样。行驶在正常公路上的汽车,轮胎可以使用3-5年;但是如果汽车一直行驶在坑坑洼洼的“搓板路”上,那么轮胎很可能1年就得换了,甚至还会损伤汽车的悬挂。

天天走这样的路,轮胎没有不坏的道理。如果关节骨折后出现不平整,对关节磨损的道理与此类似
所以,踝关节骨折的手术称为“毫米级”手术,意思是说,这个手术对于骨折复位的精准度不允许出现1-2mm的偏差。
②手术治疗后可以早期进行关节活动,避免出现关节僵硬。
成年人的关节通常固定3周以上就会出现不同程度的僵硬,虽说拆除石膏以后,可以通过功能训练恢复一大部分,但是仍然有一部分病例会残留关节僵硬。对于踝关节来说,如果出现一定程度的关节活动功能障碍,可能导致下蹲动作困难,蹲不到底,影响日常生活。

踝关节僵硬造成下蹲困难,会影响使用蹲式马桶
③手术治疗避免关节长时间制动,避免出现关节软骨营养供应不足。
关节软骨内没有血管,软骨的营养供应依靠关节活动时,通过挤压作用,软骨组织与关节液进行物质交换,获取营养,释放代谢废物。如果关节长时间不能动,这种通过挤压关节软骨进行的物质交换过程就会受阻,关节软骨的营养供应受到影响,造成关节软骨损伤。在使用动物制作关节炎模型的时候,就有一种方法是利用这种原理,将动物的膝关节固定3-6周就可以看到明显的软骨损伤了。
5,踝关节骨折手术治疗有哪些特点或者说注意事项呢?相比于其他部位的骨折来说,踝关节骨折有其自己的特点,需要了解:
①踝关节骨折后,如果损伤比较严重,往往会出现明显的软组织水肿,甚至出现大片的水泡,称为“张力性水泡”,是因为过度水肿造成的。所以,做手术不能急,往往需要先用石膏固定脚踝1-2周,抬高,并适当使用消肿药物进行消肿处理,等水肿大部分消退,皮肤开始出现皱纹的时候做手术才比较安全。

踝关节骨折后出现张力性水泡是非常常见的现象,打开石膏很可能会发现更多的水泡
②踝关节周围软组织比较少,可以说是一个“皮包骨头”的位置,这样的位置手术后容易出现皮肤坏死,甚至感染。手术前充分的消肿是非常必要的,绝对不能心急。
③手术后,早期进行脚踝关节屈伸活动锻炼。手术后4~6周内应该做到脚踝的活动范围与正常一侧大体一致。手术后6周~3个月内部分重负活动,一直到手术3个月以后才逐步进行负重。
6,总结:
i,撕脱骨折保守治疗;无移位的单处骨折可以考虑保守治疗,石膏固定6周后开始关节功能训练;
ii,大多数的多处骨折,有移位的骨折需要手术治疗;毫米级复位、早期活动锻炼对于踝关节功能的恢复非常重要。
iii,踝关节骨折后,如果出现软组织水肿,手术一定不能着急,需要先石膏固定,抬高,消肿1-2周,开始出现皮纹后再做手术比较安全。此处切记,欲速则不达。