支气管扩张是一种气管结构破坏性疾病,大部分是继发性的,很多是其他疾病特别是感染性疾病的后遗症,有些则是间质性肺病之类的肺部疾病中气管受到被动牵拉造成。这个疾病本身不仅仅是支气管管腔的增大,更重要的是气管内部特别是气管壁上内衬的假复层纤毛柱状上皮的破坏,令支气管乃至周围肺组织完善的微环境受到损伤,失去对外界细菌的免疫功能,从而导致一系列症候群。下面和大家一起学习一下这个疾病。

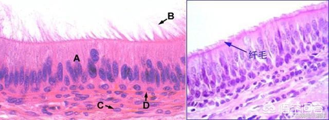
支气管的正常结构
正常支气管管壁并不是光秃秃的,管壁上长满了一层很复杂的细胞结构,叫做假复层纤毛柱状上皮,这个名词的含义分三部分,一个是假,这里的意思是虽然看上去细胞很分多层,但每一个细胞的脚都连接在管壁上,而真正的复层则是像砖墙那样一层一层码上去的,每一层细胞有自己的根。纤毛(B)则是指最上面长着的一层头发,这些头发并不是静止不动的,而是同时朝着一个方向摆动,形象的来说就像一排搬运工,负责排除分泌物和外来物包括细菌PM2.5等,柱状上皮则是指最上面一层细胞都是长柱状的(A),但上皮绝不仅仅是只有这些细胞,下面还有很多其他功能各不相同的细胞,假复层纤毛柱状上皮各个结构各司其职,共同保证气管内微环境的稳定和局部免疫力的屏障作用。

支气管如何保持无菌
支气管扩张是一种感染性疾病,长期排除大量黄痰,这是因为支气管内部结构遭到破坏造成的,那么正常支气管是如何保持无菌的呢?这个和支气管内部几个关键结构有关,我们知道虽然空气经过鼻腔咽喉部后很多病原微生物,有毒有害颗粒物已经被过滤清除,但吸入气管支气管的空气仍然含有少量细菌,这时候支气管内壁的假复层纤毛柱状上皮就发挥作用了,首先支气管内壁各种细胞会分泌很多液体,有的分泌比较稀的浆液来保持支气管内部湿润,有的分泌粘液,这个粘液就有一定的粘附颗粒物的作用,包括细菌在内的很多颗粒物被粘附,不能进一步进入的肺内,黏液中含有一些免疫细胞分泌的抗体IgA,该抗体可以迅速结合病原体进行免疫清除,这是第二个屏障,接下来这些含有杂质的粘液堆积在支气管表面怎么处理呢,这时候主要靠气管搬运工——纤毛,纤毛不断的向咽喉的方向摆动,将气管内的分泌物包括其中的细菌不管是死的还是活的统统打扫到咽喉部,最后排出体外,很多人说我并没有什么感觉,这是因为人每天会做无数次的吞咽动作,很多到达咽喉部的粘液都被吞咽下去了。

哪些疾病会导致支气管扩张
中国是结核大国,患结核病的人口甚至超过了欧洲一些国家的总人口,而结核病恰恰是支气管扩张的一个重要原因,很多人结核痊愈后仍然咳嗽不止,甚至出现咯血就是遗留的支气管扩张造成的,另外,各种肺炎不管是细菌性的,病毒性的还是真菌性肺炎,都有可能在感染控制痊愈后遗留支气管扩张的毛病,还有一些遗传性疾病,比如纤毛不动综合征很重要的表现就是支气管扩张和顽固性的肺部感染,其主要发病原因就是全身带纤毛的结构和细胞没有活力,气管纤毛没活力粘液排不出就总是感染,感染久了就支气管扩张,精子的尾巴没有活力就不育。女性还有一个容易发生的支气管扩张成为中叶综合征,好发于右肺中叶,这个右中叶支气管管腔窄,根部周围有较多淋巴结包绕,在感染时很容易肿大压迫支气管导致其中的分泌物不能排除,久而久之就演变成支气管扩张和肺不张。

支气管扩张到底能不能治愈:能!
支气管扩张到底能不能治愈呢,这个要看治愈的标准,如果是想完全恢复肺部的正常结构,让其焕然一新如幼年,那是不可能的,因为肺说到底是一个不可再生的脏器,不像肝脏切除一部分还能长出新的,破坏的支气管就无法再长出新的来代替他,如果是通过药物或者手术的干预,让症状不发作,长期保持稳定是很有可能的。比如局限于一部分肺的支气管扩张完全可以通过手术根治,切除坏的肺,剩下的肺就不会再出现支气管扩张的症状,还有一部分人虽然曾经有过支气管扩张,但支气管位置特殊出于上肺,其中的分泌物可以因重力作用自行流到结构完好的支气管部位而排出,在消炎治疗平时注意保养的情况下,也可以长期不发作,相当于治愈,我本人左上叶有一根支气管扩张,曾经发生过严重的肺部感染,感染治好后基本上没有太多症状。

如何保养控制支气管扩张的症状
支气管扩张不但是管腔直径的增大,更重要的是内部结构的破坏,导致其中的粘液难以排除,一方面粘附在里面的细菌不能被消灭排除另一方面,粘液成分都是高营养物质,富含蛋白质,只要发生堆积不能排除,很快就长满细菌,成为细菌的乐园,所以支气管扩张者重要的保养措施就是体位引流,每天像青蛙一样趴在床上,头低屁股高抬起来形成一个倒痰的姿势,家人用半握的空心掌帮忙拍背,努力的轻咳(已能够咳出痰液的最小力度)将痰液排除, 每天10-15分钟早晚各一次,可以大幅度的减少肺部感染的发生次数和平时咳痰的量。

支气管扩张对于很多人来说是一个非常痛苦的疾病,可以说是一生的折磨,它短期内不会威胁到生命,但长期反复的感染,让人的生活无质量可言,严重的病例每天吐出大量痰液在公共场合也不断的咳嗽,非常影响形象,一旦加重起来,发热就能让人卧床不起。尽早采取措施积极治疗,平时注意体位引流则能控制病情,保持平稳不发展。
