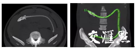
6月8日上午,31岁的男性来到江苏省中西医结合医院肛肠科门诊就诊,自述当天早上9点,一条活黄鳝钻进了他的肛门里!肛肠科副主任中医师葛永盛了解后得知,当时患者已腹胀2小时,查体发现肚子相对较软,直肠空虚,没有粪便也没有发现异物。全腹CT检查示,此时黄鳝的头端在结肠肝区,尾端位于乙状结肠,黄鳝长度大约在40公分。

40公分黄鳝从肛门进入,钻进肚子
“针对这种情况,考虑三种治疗方案,一是在内镜下取出,二是由腹腔镜辅助取异物,三是通过剖腹探查。由于病人就诊比较及时,暂时没有腹部体征,而且结肠是一个厌氧环境,黄鳝很有可能已经因缺氧而死亡,所以最终我们选择了在内镜下行结肠异物取出术,手术切口较小,也利于患者的术后恢复。”葛主任说道。初定治疗方案后,葛主任和其医疗团队进行了一系列的术前准备,术中发现黄鳝已经死亡,葛主任利用圈套器抓住黄鳝的尾巴,把黄鳝从患者肚子里拖了出来,整个手术过程只花了十分钟的时间。术后病人无不适症状,病情稳定,生命体征平稳,留急诊观察,行抗感染治疗。

有异物不慎入体,千万不要羞于就医
“肛肠科每年临床上都会遇到一些在结直肠里塞一些瓶瓶罐罐,甚至是铅笔等异物的病人,有的人羞于去医院,时间长了产生腹痛腹胀的症状,甚至已经发展至肠梗阻、穿孔,到那时就需要行肠切除、肠造口。在这里提醒大家,往体内塞异物是一种非常危险的行为,如果没有采取一些急救措施,时间长了会危及生命。
在游先生的病例中,幸运的是黄鳝已经死了,如果黄鳝还活着,在外界刺激下,它会往更深的地方行进,如果黄鳝在摄食过程中咬住直肠进行旋转,万一把肠腔咬通,造成穿孔和多发的肠瘘,就非常危险了。”葛主任提醒道。生活中如果不小心坐到异物上,或者把异物塞进了体内,千万不要忌讳就医,及时去专科进行治疗,而不能等到时间长出现肚子痛等严重症状了才去医院,这样治疗起来会很棘手,对于患者来说也非常危险。 以上来自:交汇点 通讯员 罗鑫 殷舒月;新华日报·交汇点记者 仲崇山
检索发现类似案例还不少:
广东东莞黄江医院收治了这样一名男性患者,据他表示,自己已经腹胀一周,腹痛近5小时了!而仔细一查他的腹痛的原因,更令人吃惊...
听信偏方
男子将黄鳝塞入下身治便秘险丧命
广东东莞一名50多岁男子受便秘困扰。文化程度不高且缺乏医疗常识的他想到了坊间传的偏方--“黄鳝”可通便,于是他便到菜市场买了一条活黄鳝,从下身肛门处塞入体内。

谁知,便秘症状不仅没有缓解,肚子反而愈发疼痛。

医生介绍道,该男子前来就诊时表情痛苦、心情烦躁,再加上其血压下降,表现为感染性休克。医生通过腹部CT检查初步判断他的腹腔有异物。

随着时间的推移,这名男子已经疼得无法与人正常交流了。医生根据他的症状、体征,结合腹部CT检查,判断为消化道穿孔。通过腹腔镜探查,医生这才看清,男子腹中的异物竟然是一条黄鳝!

主治医生表示, 黄鳝进入了患者的腹腔后已经死亡,致该患者的腹腔污染非常严重, 有大量淡绿色的渗液,腹壁、肠道、肝脏等多处附着大量的脓苔和粪便。 可以确定患者是黄鳝所导致的“乙状结肠破裂”。
最终,医生通过手术取出了男子腹中这条长约40厘米的黄鳝。经过院方及时医治,男子现已康复出院。
新闻多看点

盲目信偏方治病,后果很严重。而用黄鳝来治所谓的便秘已非先例,媒体早在今年1月就报道过一起。
为了治便秘
五旬男子生吞两条活黄鳝
1月9日中午,一名在南京务工的51岁男子因腹痛难忍,被工友从工地急急忙忙送到江苏省中医院急诊室。
医生经过询问,才明白了腹痛的来龙去脉。原来,1月8日中午,他听信了一个土方,以为吞食活黄鳝能够治疗慢性便秘和前列腺炎,便一下生吞了两条黄鳝……

过了不久,男子就开始剧烈腹痛,但他一直忍着,因为是外来务工人员,家里又没亲戚在身边。直到第二天中午,实在痛得受不了了,他这才呼唤工友去医院。
检查发现,男子的肠道穿孔、弥漫性腹膜炎、感染性休克,情况十分危急。由于他的家人不在身边,医生紧急开通绿色通道进行抢救。

参与救治的江苏省中医院普外科副主任医师孙海舰介绍道:“ 在靠近下腹部的腹腔里面,有游离的两条很粗的黄鳝,取出来以后继续探查,附近乙状结肠,距离腹膜大概10厘米处有一个接近2厘米的穿孔,黄鳝吞进去是活的,肠道又比较薄弱,一撕咬就会钻出来。

经过紧急手术,该男子被转往重症监护室继续治疗。
来源:看看新闻Knews
【版权声明】本平台属公益学习平台,转载系出于传递更多学习信息之目的,且已标明作者和出处,如不希望被传播的老师可与我们联系删除