“汤圆”兔的恢复胃肠道阻滞病例

视频加载中...
病程第一天(四月17号):
周六白天在外带娃上课一天,刚坐下点单等上菜,18:00收到我妈的语音:“白天的兔粮没少,最喜欢吃的葡萄干也没吃,把手伸到窝里去摸它,不扑人了。”我立刻赶回家,看它厕所里只有夜间的五六粒大便,没有白天的大便,小便是有的。
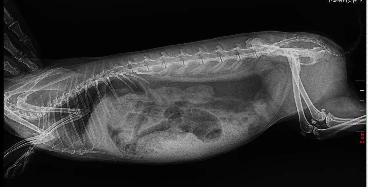
没有犹豫,立刻带它到当地动物诊所拍片,

医生看出来是胀气


表示对治疗兔子并不在行,教我怎么按摩它的肚子。我就坐在诊所帮“汤圆”按摩腹部,那是第一次“汤圆”在我身上趴那么久,它平时太凶悍了,连抓都很难抓到,从来没有一次在我怀里安稳呆过5秒钟。半小时后我要求再次拍片,显示气体有所移动。


这时候即使去上级医院的扬大动物医院晚间也无急诊,江都也并没有医生对兔子在行,我只好当晚回家帮它继续按摩,用杆子追着它强迫它间断活动。
看它晚间喝水还是正常的,小便也有,不停的蹲厕所

但是没有大便出来,坐立不安,情绪紧绷。我着急但是并没有好办法,按摩到12:30,它虽然有磨牙声,但是没那么大声。

我满腹担忧也只能先睡了。百度了怎么喂药,之前没有给兔子喂药的经验,所以“汤圆”今天拒吃,我觉得自己目前没有喂药的本事,只能心存侥幸的期望按摩有效,就这样错过了喂药的最佳时间。家里“多维糖”,乳酶生,海佩特动物专用电解质,美国贝克益生菌营养膏“帮你壮”,日本品高“化毛膏”,马卡的强化营养液“黄水绿水”,爱宝高营养草粉,这些养兔必备的急救药我都有。