01,AP-1控制依赖p11的抗抑郁药反应
译者:Lenore
关键词 :AP-1;SSRI;S100A10;抗抑郁药;转录
选择性血清素再摄取*制剂抑**(SSRIs)是最常见的治疗情绪障碍的处方药。尽管SSRI的生效机制尚不明确,目前普遍认为SSRI以提高大脑细胞外血清素水平来发挥治疗作用,并重塑抑郁症中失调的脑结构及功能变化。
为了确定其生效机制,本实验探查了此神经适应性过程是否由特定基因表达程序来调节。研究确定了由激活蛋白-1(activator protein-1, AP-1)复合物调节的转录程序,该复合物由c -Fos和c-Jun形成,在对SSRI的慢性反应发生之前被选择性激活。AP-1转录程序调节的变化包括S100a10(p11)在内的关键神经元重塑基因的表达,这一作用将神经元可塑性与抗抑郁反应联系了起来。
研究发现,AP-1的功能在体内抗抑郁作用中是必需条件。此外,研究结果解释了BDNF和FGF2的神经化学途径如何通过MAPK,PI3K和JNK的级联反应来调节AP-1功能,以此介导抗抑郁反应的疗效。本研究提出了一个连续分子网络来跟踪抗抑郁反应,并提供了一种可用于通过触发神经可塑性来加速或增强抗抑郁反应的新途径。

c-Fos和c-Jun在慢性氟西汀治疗期间有所上调
参考文献:Chottekalapanda, R. U., Kalik, S., Gresack, J., Ayala, A., Gao, M., Wang, W., ... & Greengard, P. (2020). AP-1 controls the p11-dependent antidepressant response. Molecular Psychiatry, 1-18. doi: doi.org/10.1038/s41380-020-0767-8
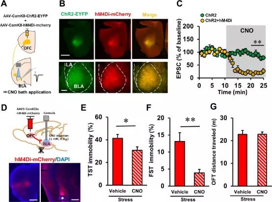
02,应激诱导AMPA受体插入OFC-BLA突触,并调节小鼠的情绪行为
译者:Sheena
关键词 :眼窝前额叶皮层、BLA、光遗传、应激
应激会增加如重度抑郁症类的神经精神疾病的风险。据报道,应激会引起各种神经细胞的变化,如突触传递和结构的改变。然而,应激引起的神经回路的改变和情绪行为的变化之间的因果关系还没有被很好地理解。
在本研究中,我们重点研究了从眼窝前额叶皮层(orbitofrontal cortex,OFC)到基底外侧核杏仁核(basolateral nucleus of the amygdala,BLA)的投射通路,并利用光遗传法和全细胞膜片钳方法研究了应激对OFC-BLA兴奋性突触传递的影响。我们使用重复尾部电击法诱导应激,以增加了应激相关行为。
我们发现应激后AMPA / N-甲基-D-天冬氨酸比值更大,并发现在OFC-BLA突触后插入了Ca2+可渗透性的AMPA受体(AMPARs)。这种应激诱导的突触和行为改变被蛋白激酶A的阻断所减少,蛋白激酶A在应激诱导的AMPARs靶向插入突触膜中起主要作用。
为了研究OFC-BLA通路突触传递的改变与应激相关行为之间可能的因果关系,我们对小鼠的OFC-BLA投射的进行了光遗传激活或化学遗传抑制。我们发现OFC-BLA传播的光遗传激活或化学遗传抑制分别增加和减少了应激相关行为。总之,我们已经证明应激改变了OFC-BLA通路的突触后特性。这些突触的变化可能是应激诱导行为改变的潜在机制之一。

化学遗传法抑制OFC-BLA通路,降低了应激小鼠的应激相关行为
参考文献:Kuniishi H, Yamada D, Wada K, Yamada M, Sekiguchi M. Stress induces insertion of calcium-permeable AMPA receptors in the OFC-BLA synapse and modulates emotional behaviours in mice. Transl Psychiatry. 2020;10(1):154. Published 2020 May 18. doi:10.1038/s41398-020-0837-3
03,中皮层BDNF信号介导锂的抗抑郁样作用
译者:Navy
锂已被用于治疗重度抑郁症,但这种治疗作用背后的神经回路机制仍然未知。在本研究中,作者证明了投射到内侧前额叶皮层(mPFC)而不是伏隔核(NAc)的腹侧被盖区(VTA)多巴胺(DA)神经元有助于锂的抗抑郁作用。投射特定的电生理学记录显示,高浓度的锂可提高mPFC-而非NAc-在受慢性不可预测的轻度应激(CMS)处理的小鼠中投射VTA脑区DA神经元的放电速度。同时,在CMS小鼠中,长期服用大剂量锂可恢复投射mPFC的DA神经元的放电特性,还可以挽救CMS诱导的抑郁样行为。
然而,长期的锂处理不足以改变投射NAc的VTA脑区的DA神经元的基础放电率。此外,mPFC-而不是NAc-投射的VTA脑区DA神经元的化学遗传学激活模仿了CMS小鼠中锂的抗抑郁样作用。VTA-mPFC区的DA神经元的化学活性的下调消除了CMS小鼠体内锂的抗抑郁样作用。最后,作者发现大剂量锂诱导的抗抑郁样作用是由中皮层DA环路中的BNDF信号传导所介导的。总之,这些结果证明了中皮层DA投射在锂的抗抑郁样中的作用,并为基于锂的抗抑郁治疗奠定了环路基础。

参考文献:Liu, Tang, Wang, Song, Yang, Hu, Wang, Xu, Liu, Yang, Montgomery, Zhang, Han, Ding, Cao (2020) Mesocortical BDNF signaling mediates antidepressive-like effects of lithium. Neuropsychopharmacology (2020) 0:1–10; https://doi.org/10.1038/s41386-020-0713-0
04,抑郁症——一个未被认识到的预防阿茨海默病中痴呆症状的靶点
译者:UTCS
关键词:阿茨海默症;痴呆症状;抑郁症;预防靶点
人们普遍认为,我们可以通过对相关风险因素的管理,改善阿茨海默病(AD)中病人痴呆症状的发病情况。虽然最近几项关于预防认知能力下降的治疗方针和多领域干预试验涉及到了生活方式因素和风险疾病(如:高血压和糖尿病),但从系统性来讲这些治疗方针和试验缺乏对抑郁或抑郁症状的既定风险因素的关注。
本文对将抑郁症与AD、认知功能减退联系在一起的流行病学研究和生物学机制研究进行了综述。我们还着重介绍了抗抑郁治疗对AD病理的影响,包括:抗抑郁药物对神经发生、淀粉样蛋白负荷、tau病理和炎症的分子作用。
我们提倡把预防认知衰退和痴呆症状的关注点转移到抑郁和抑郁症状上来。我们认为对抑郁症状的早期治疗可能会影响到AD的病程,并且会影响到患者发生痴呆症状的风险,我们建议对此进行临床试验。

抑郁症患者发生炎症对AD病理的影响
参考文献:Dafsari F S, Jessen F. Depression—an underrecognized target for prevention of dementia in Alzheimer’s disease[J]. Translational Psychiatry, 2020, 10(1): 1-13.
05,无用的争议:英国媒体关于药物疗法和精神疗法治疗抑郁症的报告
译者:Kagima
关键词:抗抑郁药物;媒体;新闻;精神疗法;公众;疗法
背景:所有人都明白,媒体会影响公众观念,并且媒体对于精神病学的报道相较于其他医学方面的报道会更加负面。目前,还没有相关对于对比媒体关于抗抑郁药物以及其他治疗抑郁症疗法报道之间差异的研究。本研究首先假设在头条以及文章中,关于抗抑郁药物治疗相较于精神疗法的报道会更加负面。
方法:本研究囊括了2013年7月11日以及2018年7月11日之间,太阳报,每日镜报,每日邮报,每日快报以及卫报的在线文章内容。两位评估者分别独立地评估文章的标题以及内容,并评价文章对于抗抑郁药和精神疗法的态度(积极/消极/中立),该评价具有较好的评定者间可信度(inter-rater reliability)。
结果:本研究中包含了221篇在线文章。其*共中**有184篇文章有关于抗抑郁药物治疗,其中27篇(15%)为正面评价,68篇(37%)为负面评价,89篇(48%)为中立态度;另外还有173篇头条有关于抗抑郁药物治疗,其中24篇(14%)为正面评价,64篇(37%)为负面评价,85篇(49%)为中立态度。相较于精神疗法,抗抑郁药物治疗得到了更多的文章报道。
有关于精神疗法的文章共有132篇,其中48篇(36%)为正面评价,3篇(2%)为负面评价,81篇(61%)为中立态度;另外还有53篇头条有关于精神疗法,其中16篇(30%)为正面评价,2篇(4%)为负面评价,35篇(66%)为中立态度。费希尔精确检验(Fisher's exact test)结果显示,在文章中(p = 2.86 × 10-15)以及在头条中(p = 2.79 × 10-6)关于抗抑郁药物疗法和精神疗法的报道态度是有显著性差异的。
结论:尽管两种治疗方法有着相似的疗效,但在英国媒体中对于抗抑郁药物的报道相较于精神疗法的报道要更加负面化。这可能潜在地鼓励患者不选择抗抑郁药物疗法,并且还可能会让正在服用药物的患者选择停药。

媒体头条以及文章中关于抗抑郁药物治疗及精神疗法报道态度的统计
参考文献:Pathak, A., Lim, E., & Lawrie, S. (2020). Needlessly controversial: the reporting of pharmaco- and psycho-therapy for the treatment of depression in the UK media. Psychological Medicine, 1–6. https://doi.org/10.1017/s0033291720001427
排版/校对:小时/Simon(brainnews编辑部)
前文阅读
1,091期抑研报|青少年抑郁症不可忽视的问题:抽烟,喝酒,少睡眠
2,090期抑研报|养育环境与重度抑郁的患病风险