不知不觉,大街上的人都穿起了大棉袄,是的没错天气逐渐转冷,这时候一定要注意身体保暖,走在路上都不敢张嘴,冷风一吹,牙齿隐隐作痛酸溜溜的;难道天冷了,牙齿也会怕冷?

最近总感觉自己牙齿冷感觉很冰,甚至偶尔喝口冷水牙齿就不好受,天气转凉牙齿难道也怕冷么?说到底还是牙齿太敏感了。
牙齿敏感
牙齿敏感是当我们享受“冷、热、酸、甜”的美食时,牙齿会突然像抽筋一样酸爽无比,深吸口气都有痛感,大多数情况下牙齿上的牙釉质和牙本质会保护牙神经不受打扰,但如果遇到蛀牙、牙龈退缩、过度磨损等问题,导致这层保护壳受损,牙本质就暴露在外了,外界随便刺激一下,牙齿敏感就来了。

- 牙龈萎缩:刷牙力度太大、牙周炎都会导致牙龈萎缩。
- 牙冠釉质磨损:紧咬牙或磨牙、刷牙时横刷力量过大,距离过长、频繁使用含酸性物质的漱口水、过量食用酸性物质,这些都可导致釉质腐蚀。
- 牙齿龋坏:又叫长虫牙,是牙齿中的细菌腐蚀牙齿引起的疾病。
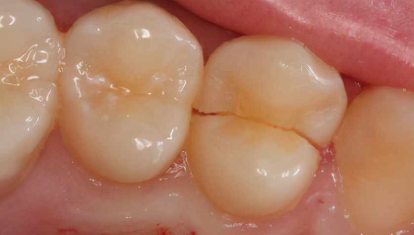
- 牙隐裂:咀嚼坚硬的食物等可以导致牙隐裂。

如何预防?
随着牙齿健康观念的普及,我们都知道牙齿健康不仅是口腔问题,还与全身健康都有紧密联系;如何预防牙齿敏感呢?
- 正确刷牙:选择刷毛圆钝的软毛牙刷,日常使用较低摩擦值的含氟牙膏或抗敏感牙膏刷牙。
- 专业干预:定期就诊,向口腔专家询问关于缓解牙齿敏感的口腔护理建议,内源性酸来源的患者建议治疗全身疾病。及时诊治牙周疾病、夜磨牙症、牙齿过度磨耗等相关疾病。
- 养成好习惯:减少酸性食物和饮料的摄入,进食酸性食物和饮料后及时漱口,至少1 小时后再刷牙。