宫颈癌是妇科常见的恶性肿瘤之一,也是导致女性死亡的主要疾病。
近年来由于宫颈癌筛查的普及和人们对自身健康状况的认知,使宫颈癌和癌前病变得以早期发现和治疗,使宫颈癌的发病率和死亡率明显降低。
导致宫颈癌最主要的原因就是HPV感染,TCT和HPV筛查都是宫颈癌的筛查项目,但检查内容并不一样,下面就让我们来好好了解一下吧。
关于TCT
1、什么是TCT?
TCT检查是液基薄层细胞检测的简称,是目前国际上最先进的宫颈癌细胞学检查技术。TCT是检查宫颈细胞的核是否发生了改变以此来判断是否有病变。与传统的宫颈刮片、巴氏涂片检查相比明显提高了标本的满意度及宫颈异常细胞检出率,同时还能发现部分癌前病变,微生物感染如滴虫、病毒、霉菌等。
2、TCT各项检查结果分析
① TCT细胞检测报告单分为鳞状上皮细胞的分析以及对腺上皮细胞的分析。
② 对鳞状细胞上皮细胞的分析分为未见上皮内病变、非典型鳞状细胞、上皮内低度病变、上皮内高度病变、鳞状细胞癌由轻到重几个层次,每个层次后面都有具体的描述。

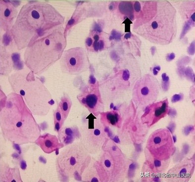
3、从镜下图片了解TCT

细胞基本正常,表示宫颈细胞未发生病变

箭头所指的细胞虽然也发生了核的改变,但没有那么严重,不能排除宫颈细胞没有发生病变,需定期复查。

箭头所指细胞核的周围出现了空晕,我们称其为“挖空化”,提示宫颈细胞发生了可疑鳞状细胞低度病变。

箭头所指细胞发生了核的改变,核浆比高度失调,变的“丑丑”的,表示宫颈细胞发生了鳞状细胞高度病变。
关于HPV
1、什么是HPV?
HPV又称人乳头瘤病毒,是导致宫颈病变和宫颈癌的主要原因。根据危险性的高中低,将可能导致宫颈病变和宫颈癌的HPV亚型称为高危型,最常见的是16和18型,致癌风险低的HPV称为HPV低危型,致癌风险位于两者之间的就是HPV中危型。
2、HPV检验报告单的分析

HPV的检查结果分为高危、中危、低危型,对于各个亚型,结果为阳性就是有对应亚型的感染,反之阴性就是没有,所以简单的来说,HPV检测就是检测是否存在人乳头瘤病毒感染。
需要特别注意的一点是,虽然HPV感染是导致宫颈病变的主要危险因素,但不代表感染HPV就一定会导致宫颈病变,还需要结合宫颈细胞学(TCT)及常规病理检查进一步明确诊断。
通过上面的解释,大家现在应该明白TCT是看结果的,HPV是看原因的。有些TCT正常的患者也需要进行HPV检查,因为TCT检查对于早期HPV感染者或者HPV持续感染者但没有上皮内病变的患者,不能准确判断是否感染了HPV,故因此只有两者相结合起来,才有助于医生做出最准确的诊断,为后续的预防和治疗提供依据。TCT和HPV是宫颈癌的筛查诊断,如还需要做出进一步的诊断,就需要进行阴道镜活检来做常规病理检查了。