近日,百色市人民医院关节与运动医学科主任陆吉利在上海召开的骨科机器人“天玑II”揭幕及“大师论道”会议上,向来自全国各地的骨科同道们介绍百色市人民医院关节与运动医学科使用骨科机器人开展手术的情况,分享新科技给患者带来的好处,得到全国同行好评。
陆吉利指出,从2019年8月起,科室团队使用广西首台天玑骨科机器人为双侧股骨头坏死的患者进行微创保髋手术,受到社会各界的广泛关注,手术效果令人满意,人民网、广西科协等媒体还给予专门报道。
陆吉利介绍,保髋手术是一项经典的矫形外科手术。在人工关节置换术发展之前,多种保髋术式已经开展了数十年,但是直到最近10年左右,成人保髋手术才被大众认可。人工全髋关节置换术(THA)是目前公认治疗晚期股骨头坏死(ONFH)的有效方法,但也面临术后假体周围骨折、感染、翻修等现实问题。在ONFH的早中期阶段,保留患者自身髋关节具有很高的临床意义和社会价值,特别是年轻患者。百色市人民医院很早以前针对早中期股骨头缺血坏死进行了系列治疗,在三维C臂定位下机器人辅助经皮股骨转子微创减压、坏死病灶清除、*压打**植骨术已形成品牌手术,效果显著。
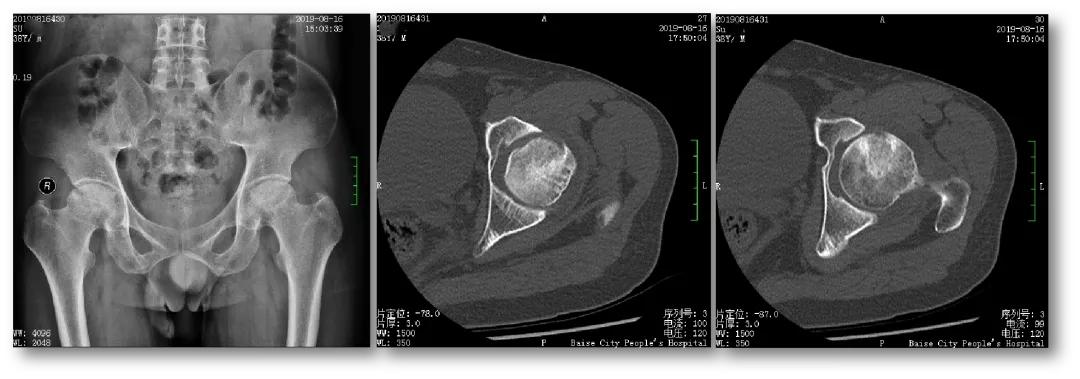
案例一
云南的苏先生今年38岁,出现双侧髋关节疼痛、活动受限1年多,被 明确 诊断为“双侧股骨头坏死”,坏死处于ARCO分期3期。在当地医院使用多种办法治疗,无明显效果,而后转到百色市人民医院关节与运动医学科。在患者及其家属强烈的保髋愿望下,科室选择了骨科机器人辅助下的微创保髋治疗,术后效果良好,患者满意。

术前辅助检查

术后3个月复查
案例二
35岁的覃先生,也是双侧股骨头坏死,经同事介绍到关节与运动医学科住院,选择左侧人工全髋关节置换术、右侧机器人辅助下保髋治疗,术后效果良好,患者及其家属非常满意。

术前辅助检查

右侧保髋、左侧THA
目前关节与运动医学科在股骨头坏死患者保髋方面,一般选择股骨头坏死早期(ARCO 0-1期)、中期(ARCO IIa/b期),ARCOIII期及其以上需要谨慎,必要时也是需要进行关节置换。
骨科机器人应用优势
骨科机器人具有精准、微创、智能、低辐射等运用优势。与传统手术相比,机器人手术透视时间减少了80%,提高手术效率的同时,也明显减少射线辐射。

传统保髋手术切口很大


使用机器人保髋切口只有豌豆大小