“同影异病、同病异影”在胸部十分常见
“影像诊断”从经验医学步入循证医学
“基本征象”是构成胸部疾病重要的元素
”
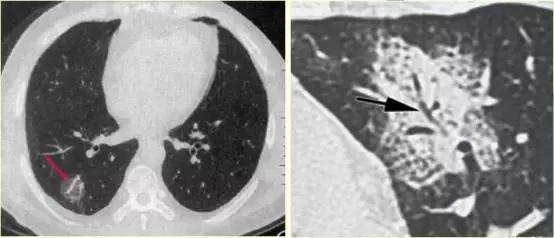
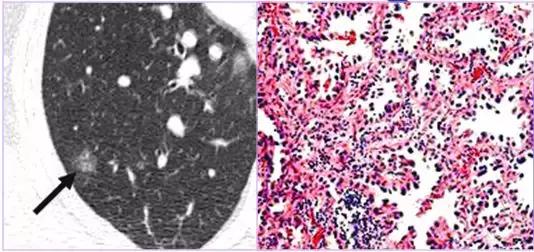
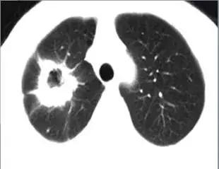
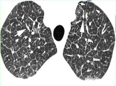
CT征象一:树芽征
由终末细支气管和肺泡腔内病变形成的小结节影与分支细线影构成的酷似春天的树枝发芽状,称“树芽征”(tree-in-bud)
CT表现:多在肺外围支气管末梢呈2-4mm大小结节与树枝状的高密度影。
意义:多表明有小气道病变如:细支气管炎症、弥漫泛发性细支气管炎及肺结核病灶或播散等

末梢细支气管扩张形成粘液栓——酷似“树芽征”

末梢细支气管与肺泡结核灶及播散——酷似“树芽征”

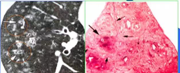
弥漫性肺小叶中心炎症——HE小叶间隔及小叶支气管周围浸润

末梢细支气管感染——HRCT与HE病理切片图显示“树芽征”

“树芽征”:活动性肺结核支气管播散;泛细支气管炎
CT征象二:轨道征与印戒征
1、“轨道征”:扩张支气管走行与CT扫描平面平行时
2、“印戒征”:扩张支气管与CT扫描层面垂直时
(正常同级别的肺动脉直径稍大于伴行的支气管内径)
CT表现:在肺野内显示为平行的线样高密度影或环形低密度影伴周围点状高密度影(直径小于前者)
意义:表明有支气管扩张、慢性支气管炎伴发的细支气管扩张等。

柱状支气管扩张(可逆问题)——“轨道征”

慢性支气管炎继发柱状支气管扩张——“轨道征”

柱状支气管扩张与扫描层面垂直——“印戒征”

柱状支气管扩张与扫描层面垂直——“印戒征”
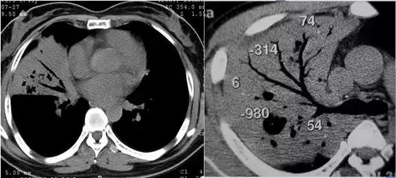
附:支气管粘液嵌塞
粘液支气管征或支气管粘液嵌塞:是由于扩张的支气管腔内分泌粘液无法排出或近端梗阻而郁积等原因所致。
CT表现:表现为分支状或指状致密影,呈指套征或“V”、 “Y”形征。
意义:表明有支气管扩张分泌粘液,支气管近端有梗阻粘液不能排出而郁积以及支气管闭索等。

意义:支气管扩张粘液分泌郁积,支气管近端梗阻等

分析考虑:扩张的支气管充满粘液呈纵行束状排列
CT征象三:磨玻璃密度影
磨玻璃密度影(GGO):CT表现为肺野低密度背景上略高密度影,边界可清晰也可不清晰,透过其中可显示肺纹理影,有时可见空气支气管征;GGO即可发生在肺间质,也可发生在肺实质病变;预示可能为病变早期。
完全型GGO:恶性占71.4%(其他可能为腺瘤样增生等)
混合型GGO:恶性占93.3%

反映了肺气腔不完全充盈或轻度肺间质的增厚等改变

完全型GGO 混合型GGO

完全型(pGGO)——肺腺癌

完全型(pGGO)——非典型腺瘤样增生

GGO —外伤;GGO—肺间质纤维化
CT征象四:肺实变影
肺实变(consolidation):是指肺泡腔内的气体被病理性液体或细胞替代的状态。
CT表现为:形态与大小不一的很高密度影,边界多不清,累及大叶时叶间裂处清晰;透过其中不能见到肺纹理影;有时可见空气支气管征。
可见于:普通肺炎性疾病、肺结核、肺创伤、肺不张、肺肿瘤等。

小叶性肺实变与节段性肺实变-均为肺结核

大叶性肺实变与支气管气像—大叶肺炎VS干酪肺炎

大叶性肺实变:肺结核—大叶干酪肺炎-虫蚀空洞

支气管肺泡癌-“肺炎型”肺癌
CT征象五:结节与肿块
肺孤立结节(SPN)是:肺实质内一个不伴有肺门或纵隔淋巴结肿大、肺不张或肺炎的圆形或卵圆形致密影,直径£2.0cm,有足以测量其直径的、有一定锐利度的边缘,病变内可有钙化或空洞。直径>2.0cm者称为肿块。
肺结节/肿块——单发或多发;良性与恶性。
直径<5mm称微结节(2~3mm粟粒结节)
直径5~10mm称小结节
>10mm者统称结节
肺CT发现小结节一定要测量大小,很有意义!
小结节良性可能性大,较大结节则倾向恶性
直径<5mm结节仅1%为恶性(动态观察)(有一项研究表明,没有一例小于5mm的结节是恶性的)
直径5~10mm者25%~30%为恶性
CT扫描检出肺内小结节处理建议原则
1、直径<5mm肺微结节随访间隔6~12个月
2、直径5~10mm肺小结节3个月、6个月分别进行CT复查(最好LDCT),若无生长,则每年复查CT即可
3、直径≥10mm肺结节,应行肺活检或手术治疗
4、多发肺结节(2~6个)处理原则同孤立结节
5、随访中若肺结节增长较块,应活检或手术切除
随访时关注肺结节生长速度很重要,但不能教条
倍增时间:结节容积软件;或结节直径或半径每增加26%(或直径增加1.25倍),相当体积增加一倍
一般,倍增时间在20~450天之间者常为恶性病变,而倍增时间少于20天或大于450天者常表明为良性



CT征象六:空洞与空腔
空洞(cavity)是肺内病变坏死液化,经引流支气管排除及气体进入而形成的透亮区。
空腔(aircontaining space)是肺内正常生理腔隙的病理性扩大。
空洞(cavity)分型 :
虫蚀样空洞(无壁空洞)
薄壁空洞(≤3mm)
厚壁空洞(>3mm)

疾病:大叶干酪性肺炎

疾病:继发型肺结核

结核球厚壁空洞

肺脓肿厚壁空洞

肺鳞癌厚壁空洞

空腔病变
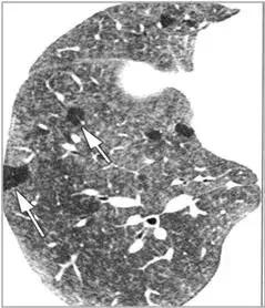
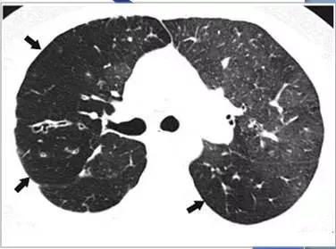
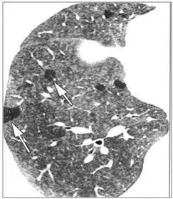
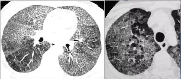
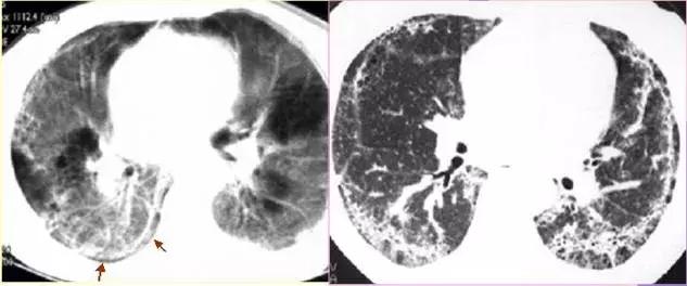
CT征象七:马赛克灌注
马赛克灌注(Mosaicperfusion)
在HRCT上,由于气道疾病或肺血管性疾病引起相邻的肺区血液灌注上的差别而出现的不均匀肺密度区,称马赛克/镶嵌性灌注。常见于造成局部气体滞留或肺实质通气不良疾病中 。

HRCT示略高密度磨玻璃密度影和低密度马赛克灌注区

由于气体储留引起的马赛克灌注

小气道病变引起两侧肺的马赛克灌注

由于气体储留引起的马赛克灌注

小气道病变引起两侧肺的气体潴留
CT征象八:碎石路征
碎石路征(Crazy paving appearance):在HRCT上,表现为地图状分布的、重叠有网状的光滑细线影的磨玻璃影;最常见于肺泡蛋白沉着征。
细线影为小叶间隔水肿增厚,或蛋白样物质沉积于邻近小叶间隔的气腔内所致。

碎石路征(Crazy paving appearance)

碎石路征:肺泡蛋白沉着症(PAP)

碎石路征:肺泡蛋白沉着症(PAP)
CT征象九:空气新月征
肺内空洞或空腔内的球形病灶与洞壁之间形成的新月形透亮影称为“空气新月征”。
空气新月征曾认为是曲霉菌球的特异征象,特点是随着体位的变动,空洞或空腔内的霉菌球可移动,但始终位于近地位。也可见于其他疾病(其内球形病灶可能不移动)

仰卧与俯卧位CT扫描,霉菌球始终处于近地位,空气新月征位于上方
同影异病:案例

“空气新月征”也可见于肺结核病例,常伴有钙化,多不随体位而变动
CT征象—附:晕轮征
晕轮征(halo sign):是指结节周围环绕的类环形的磨玻璃样密度影。通常代表肺出血与水肿。一般是侵袭性真菌病的早期征象;也可见于炎症、肿瘤与结核病等疾病中。

霉菌球周围晕征

肺泡癌周围晕征

霉菌球周围晕征

侵袭性肺曲霉菌病
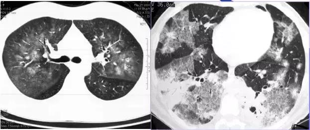
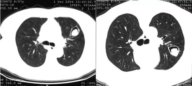
CT征象十:肺间质征与蜂窝肺
胸膜下线表现为:在胸膜下1cm之内,与胸膜走行平行,厚约几mm,长约数cm的弧形细线影,多见于肺间质纤维化等病变中。
小叶间隔线……
蜂窝肺表现为:两肺内大小数mm~数cm,壁菲薄的多发呈蜂窝状的透亮影,多见于肺间质纤维化病变的晚期。

肺间质性病变常有肺小叶间隔增厚

间质性肺水肿——肺小叶间隔增厚

肺癌性淋巴管炎HRCT表现及镜下病理所见

肺间质纤维化——胸膜下弧线影

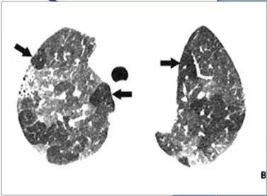
肺间质纤维化晚期——两肺蜂窝影

两肺弥漫蜂窝影-肺淋巴管肌瘤病,均为女性
来源:医脉通
【版权声明】本平台属公益学习平台,转载系出于传递更多学习信息之目的,且已标明作者和出处,如不希望被传播的老师可与我们联系删除