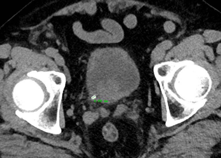
最近我们床位上遇到了一个 “老大难”患者 ,为什么说他是“老大难”呢?因为他有一颗输尿管结石, CT检查提示:左侧输尿管末端结石,结石直径4.84mm 。对于他的结石情况来说,的确最合适的 首选治疗方式就是通过药物的保守治疗方式 。但是一周下来,伴随着间断性的疼痛,在复查的时候发现结石并没有丝毫移动。

他苦恼的是,我按照医生所说去多饮水,多运动,为什么结石并没有排出?是我个人的原因?还是我的排石方式有问题?
什么是输尿管结石?
首先需要明确一点的是, 输尿管并不会自己长结石 。我们临床上最为多见的输尿管结石其实是肾结石掉落到输尿管以后换了一个名字而已。其实他的前身就是肾结石!

输尿管结石非常常见, 每11个人中就有1人患有泌尿系统结石疾病,并且更严重的问题在于,终生复发率约为50%。 输尿管结石常伴有明显症状,如肾绞痛和血尿。这也是为什么输尿管结石才会引起患者的高度重视的原因。因为疼痛让他们无法忍受!

什么是输尿管结石药物治疗?
药物排石治疗 是减少侵入性手术的一种治疗方式,具有避免手术干预、患者医从性高、降低患者费用的优点。 但是切记这种非手术治疗方式, 对于直径<5mm的输尿管结石,可首选的治疗方式;对于直径5~10mm的输尿管结石,可以在密切观察下选用此方法。
但是如果出现持续性的输尿管梗阻、感染,排石过程无明显的进展,或出现无法缓解的肾绞痛发作,则需要进一步进行外科干预。

药物排石治疗主要通过 促进输尿管平滑肌松弛来减轻其水肿或痉挛程度,从而帮助排石。5mm或更小的结石自发排出率为25%~51%。
常用药物一:α受体阻滞剂
常见的α受体阻滞剂有 坦索罗辛、阿夫唑嗪和赛洛多辛 等。主要作用方式时 通过松弛输尿管下段平滑肌,从而促进结石排出。 α受体阻滞剂可以 有效缩短患者结石排出的时间,同时可以减少患者对于镇痛剂的需求,并且可以显著缓解肾绞痛的发生 。对于手术患者,通过使用α受体阻滞剂可以 降低输尿管镜进镜的阻力,随之可以减少输尿管损伤风险,可以有效增加手术的安全性和可行性。

常用药物二:钙离子拮抗剂
钙离子通道拮抗剂 硝苯地平 ,具有促进排石作用,主要机制在于抑制内源性前列腺素的合成和细胞外钙离子流入平滑肌细胞, 从而抑制其收缩,缓解痉挛,增强输尿管的蠕动能力,使结石向远端排出。 同时服用硝苯地平也可以有效减少镇痛药物的需求, 总有效率高达96.08%。同时也可以作为体外冲击波碎石后的辅助治疗,具有良好的疗效、疼痛减轻和安全性。

常用药物三:中医药治疗
泌尿道结石属于中医 “石淋病” ,中医认为,该病的发生与湿、热、瘀、虚有关,结石使气血阻滞不通,不通则痛,引起急性肾绞痛。最常使用 海金沙、金钱草、滑石、冬葵子、车前子等,以清热、化湿、利尿为治疗原则。
当然中医药物治疗多位汤剂组合,使用泌尿排石汤组的排石效率更高!

总结一下,药物排石治疗目的在于使输尿管结石的排出率增加、排出时间缩短以及镇痛剂消耗减少。虽然会增加患者重复就诊率,但是可以减少手术干预及其伴随的风险!但是尝试口服药物治疗的方式时,对于患者仍然需要根据情况,当然必要的时候仍然需要手术治疗哦!
我是泌尿外科韶云鹏,一个专注泌尿外科科普的医生,如果文章对您或身边人有用,感谢点赞关注转发,谢谢!#谣零零计划##健康解密#
(此处已添加医疗卡片,请到*今条头日**客户端查看)