
更惊奇的是,大脑还逃过一劫……
“快来看,这患者真是命大,心脏开了一枪,竟然还活着。”
刚进办公室就听到这么一嗓子嚷嚷。
啥意思?心脏中枪了,还有活下来的?
在这太平盛世,这枪击伤可是罕见。赶紧凑过去,CT图像前已经围了一圈人。
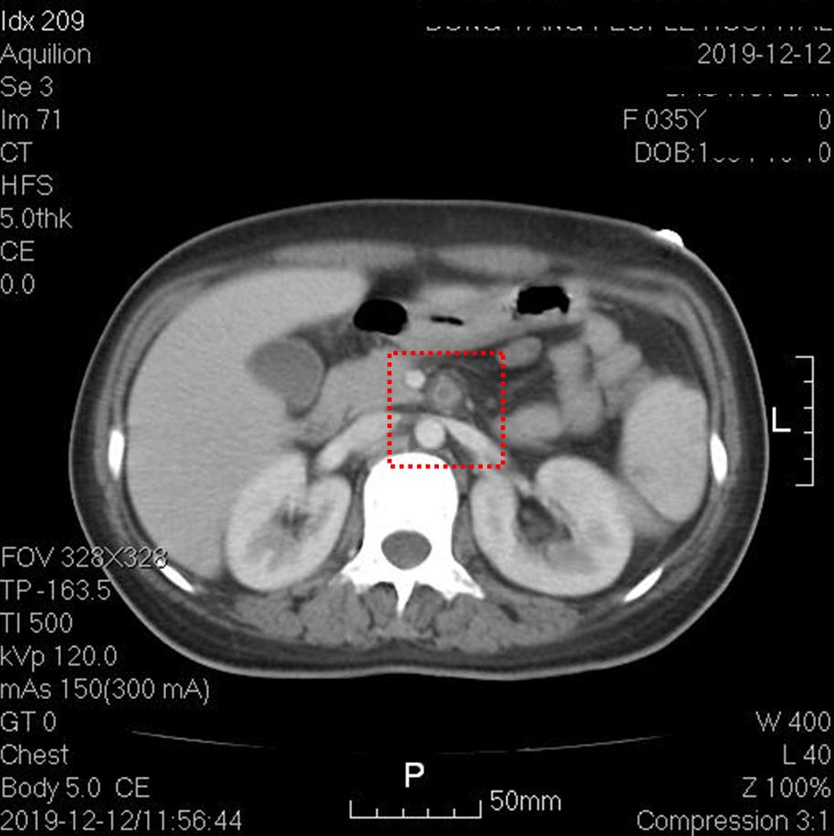
患者,女,35岁。

上图红框内为脾梗死。其他层面脾脏还可见数个楔形低密度灶。

上图红框内为左肾梗死。其他层面右肾也可见楔形低密度灶。

上图红框内为肠系膜上动脉根部,可见管腔内未增强,动脉周边组织稍模糊,提示存在炎症改变。其他层面肠系膜上动脉通畅。

上图红框内为右髂总动脉,可见一段长约2.5厘米的管腔闭塞。
这么多处血管出现闭塞,到底是什么病因造成的?是血管本身病变,如各种血管炎,引起动脉狭窄,严重导致闭塞,还是栓塞?栓塞来源是哪里?
答案已经有人发现。

心超心尖四腔心切面,多普勒超声可见二尖瓣返流、返流束较窄。 二尖瓣存在前叶A2、A3区脱垂。

胸骨旁左室长轴切面,显示二尖瓣上有赘生物,这赘生物其他多个切面也可以观察到。
另结合患者血培养阳性,为草绿色链球菌,故诊断明确,为亚急性感染性心内膜炎。
这脾肾肠多脏器加上右髂总动脉,都为心源性栓塞,栓子为二尖瓣赘生物脱落的菌栓。
这么多处栓塞,这不就是犹如从心脏发射出的一波*弹霰**吗?

这*弹霰**,*弹子**数量多是一奇,另一奇是,脑部竟然安然躲过了这一波袭击,经过头部CTA、磁共振检查,脑部安然无恙……
都说,这亚急性感染性心内膜炎变化多端,容易误诊、漏诊。这例也是。
患者2月前开始出现乏力、咳嗽、低热等诸多不适,数次就诊于不同专科门诊,但因为不适不显著,未引起特殊重视。
1周前,乏力加重并出现胸闷,予查血常规,发现血色素从2月前的115 g/L下降至87 g/L。
询问病史,虽然有胃纳偏差情况,但无血便、黑便、血尿等失血情况。
胸部CT可见右侧胸腔少量积液、心包少量积液,提示心力衰竭,同时脾脏可见楔形低密度影。
为了确认脾脏情况,予查腹部增强CT,进而发现了前述的诸多脏器栓塞。
患者入留观室,心脏听诊发现心尖区明显收缩期杂音,进而心超确认二尖瓣脱垂、返流、赘生物,然后血培养等检查确立亚急性感染性心内膜炎的诊断。
事后诸葛亮式分析,患者诸多不适,都可以用一元论来解释。
患者应存在二尖瓣脱垂的基础病变,2月前或更早出现草绿色链球菌感染,细菌在存在病变的二尖瓣上定植,形成赘生物,然后菌栓反复脱落、形成数波菌血症。
但可能患者自身免疫力良好、细菌毒力不强,故而症状并不是很严重。
多次就诊,因为没有进行细致的心脏听诊,而漏过了心尖区的杂音,也就没有往这个方向追踪。
当然,本人无意苛责。
这年头,即使是在心脏专科门诊,要进行质量良好的心脏听诊,也要受限于患者配合度、环境是否安静、时间是否充裕等,何况还有其他因素,胸部听诊还是有些难的。
这患者也正是奇,肠系膜上动脉栓塞了,却无肠道缺血,右髂总动脉栓塞了,也无右下肢缺血。
如此*弹霰**,脑部却奇迹般的豁免了。
要知道普通人每次心跳四分之一的供血可是向着脑部的。
接下来,治疗方案明确,长程、足量抗生素,加外科手术处理瓣膜病变。

99%的读者都看了↓↓↓
☑小心,你吃的这些药可能会引起高血压!
☑ST段抬高不一定是心梗,这5种心电图必须鉴别!
☑23岁女孩心脏停搏3天救活!出现这几种情况,医生建议你去查个心电图……
☑这3类心内科常用药,极易引起不良反应!
☑被特朗普气出“心碎综合征”?史上第一例出现了……
☑这种病易猝死,最全心电图特点都在这!
想找文章?点击下方输入关键字就可以 啦↓↓↓
参考文献:
[1].Seferovic PM, Fragasso G, Petrie M, Mullens W, Ferrari R, Thum T, Bauersachs J, Anker SD, Ray R, Cavusoglu Y et al: Sodium glucose co-transporter-2 inhibitors in heart failure: beyond glycaemic control. The Position Paper of the Heart Failure Association of the European Society of Cardiology. European journal of heart failure 2020.
[2].Hallow KM, Helmlinger G, Greasley PJ, McMurray JJV, Boulton DW: Why do SGLT2 inhibitors reduce heart failure hospitalization? A differential volume regulation hypothesis. Diabetes, obesity & metabolism 2018, 20(3):479-487.
[3].Yurista SR, Sillje HHW, van Goor H, Hillebrands JL, Heerspink HJL, de Menezes Montenegro L, Oberdorf-Maass SU, de Boer RA, Westenbrink BD: Effects of Sodium-Glucose Co-transporter 2 Inhibition with Empaglifozin on Renal Structure and Function in Non-diabetic Rats with Left Ventricular Dysfunction After Myocardial Infarction. Cardiovascular drugs and therapy 2020, 34(3):311-321.
[4].Iborra-Egea O, Santiago-Vacas E, Yurista SR, Lupon J, Packer M, Heymans S, Zannad F, Butler J, Pascual-Figal D, Lax A et al: Unraveling the Molecular Mechanism of Action of Empagliflozin in Heart Failure With Reduced Ejection Fraction With or Without Diabetes. JACC Basic to translational science 2019, 4(7):831-840.
[5].Li C, Zhang J, Xue M, Li X, Han F, Liu X, Xu L, Lu Y, Cheng Y, Li T et al: SGLT2 inhibition with empagliflozin attenuates myocardial oxidative stress and fibrosis in diabetic mice heart. Cardiovascular diabetology 2019, 18(1):15.
[6].Verma S, Mazer CD, Yan AT, Mason T, Garg V, Teoh H, Zuo F, Quan A, Farkouh ME, Fitchett DH et al: Effect of Empagliflozin on Left Ventricular Mass in Patients With Type 2 Diabetes Mellitus and Coronary Artery Disease: The EMPA-HEART CardioLink-6 Randomized Clinical Trial. Circulation 2019, 140(21):1693-1702.
[7].Brown AJM, Lang C, McCrimmon R, Struthers A: Does dapagliflozin regress left ventricular hypertrophy in patients with type 2 diabetes? A prospective, double-blind, randomised, placebo-controlled study. BMC cardiovascular disorders 2017, 17(1):229.
[8].Pabel S, Wagner S, Bollenberg H, Bengel P, Kovacs A, Schach C, Tirilomis P, Mustroph J, Renner A, Gummert J et al: Empagliflozin directly improves diastolic function in human heart failure. European journal of heart failure 2018, 20(12):1690-1700.
[9].Packer M: Do sodium-glucose co-transporter-2 inhibitors prevent heart failure with a preserved ejection fraction by counterbalancing the effects of leptin? A novel hypothesis. Diabetes, obesity & metabolism 2018, 20(6):1361-1366.
[10].Shigiyama F, Kumashiro N, Miyagi M, Ikehara K, Kanda E, Uchino H, Hirose T: Effectiveness of dapagliflozin on vascular endothelial function and glycemic control in patients with early-stage type 2 diabetes mellitus: DEFENCE study. Cardiovascular diabetology 2017, 16(1):84.
[11].Chilton R, Tikkanen I, Cannon CP, Crowe S, Woerle HJ, Broedl UC, Johansen OE: Effects of empagliflozin on blood pressure and markers of arterial stiffness and vascular resistance in patients with type 2 diabetes. Diabetes, obesity & metabolism 2015, 17(12):1180-1193.
[12].McMurray JJV, Solomon SD, Inzucchi SE, Kober L, Kosiborod MN, Martinez FA, et al. Dapagliflozin in Patients with Heart Failure and Reduced Ejection Fraction. The New England journal of medicine. 2019;381(21):1995-2008.
本文首发:医学界心血管频道
本文作者:文烈心
责任编辑:董小雯
版权申明
本文原创 如需转载请联系授权
- End -

点个分享,让更多人知道!