——“例精图治”第三届中青年医生病例演讲比赛总决赛季军病例

苗琨 华中科技大学同济医学院附属同济医院
病例介绍
患者,男性,69岁,主因“反复胸闷、胸痛5年余,再发加重伴呼吸困难1天”于2015年2月1日入院。
现病史
患者2010年活动时突发心前区胸闷、胸痛,症状不能缓解,入我院诊断为“冠心病,急性下壁心肌梗死”,行冠状动脉造影提示“三支病变”,于2010年5月行冠状动脉搭桥术。术后使用阿司匹林、阿托伐他汀,患者胸闷、胸痛症状偶有发作。本次入院前一天5时左右无诱因突发胸痛、胸闷、呼吸困难,不能平卧,持续不能缓解,遂再次我院就诊。
既往史
高血压病史30年,最高190/120 mm Hg,使用药物血压控制欠佳。糖尿病病史14年,一直口服药物及胰岛素治疗,控制欠佳。吸烟史30余年,平均10支/天,10年前诊断为“慢性阻塞性肺病(COPD)”。
体格检查
体温36.2℃,脉搏84次/分,呼吸20次/分,血压153/89 mm Hg。神志清楚,精神一般,半卧体位,全身皮肤、巩膜无黄染,颈软,颈静脉无怒张。双下肺可闻及湿啰音,前胸部正中可见一明显手术瘢痕。心律齐,各瓣膜听诊区未闻及明显病理性杂音。腹软,无压痛及反跳痛,肝脾肋下未及,Murphy征阴性。双下肢无水肿。
辅助检查
入院心电图示:窦性心律,心率60~70次/分,V4~6导联ST段压低>0.1 mV,下壁导联异常Q波,提示存在心肌缺血(图1)。24小时Holter示:窦性心律,最小心率55次/分,最大心率105次/分,平均心率80次/分。房性早搏5575次/全程,成对房早3次,短阵房性心动过速85阵次。室性早搏2608次/全程,成对室早57次,短阵室性心动过速1阵次。监测全程可见下壁、侧壁导联ST-T改变。辅助检查结果如表1所示。

图1. 心电图:V4~6导联ST段压低>0.1 mV,下壁导联异常Q波
表1. 辅助检查

入院诊断
-
冠心病,陈旧性下壁、后壁心肌梗死,冠状动脉搭桥术后,再发非ST段抬高心肌梗死,killip Ⅱ级
-
高血压3级,极高危组
-
慢性阻塞性肺病,肺部感染
-
2型糖尿病
诊疗经过
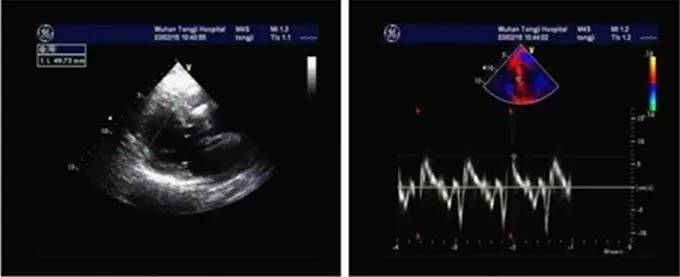
患者入院后完善超声心动图检查(图2),结果显示心脏形态正常,结构无明显变化,仅存在左室节段性室壁运动异常[二尖瓣口左房侧以及三尖瓣口右房侧收缩期可见轻度反流血流信号及湍流频谱;二尖瓣口舒张期血流频谱测值:E峰96 cm/s,A峰58 cm/s;左室射血分数(LVEF)66%;室间隔二尖瓣环处E' 10 cm/s,A' 10 cm/s,S 7 cm/s]。但值得注意的是,虽然看似心功能尚可,但与患者症状不符,而其关键点就在于该患者存在射血分数保留的心力衰竭(HFpEF)。

图2. 超声心动图检查
2016年ESC急性和慢性心衰诊断和治疗指南对心衰进行了新分类,LVEF<40%定义为射血分数下降的心衰(HFrEF),LVEF 40%~49%定义为EF中度下降的心衰(HFmrEF),LVEF≥50%定义为HFpEF。HFpEF的诊断还应具备相应症状和/或体征、钠尿肽水平升高以及下列标准之一:①相关结构性心脏病(左室肥厚和/或左房扩大);②舒张功能不全,即超声所示e'下降(<9 cm/s)和/或E/e'比值升高(>15)。本例患者心脏结构无异常,LVEF 66%,e' 5 cm/s,E/e' 19,e'/a' 0.5,故HFpEF诊断成立。
HFpEF机制较为复杂,心血管疾病(房颤、高血压、冠心病、肺动脉高压)和非心血管疾病(糖尿病、慢性肾病、贫血、缺铁、COPD、肥胖)均可引起该病的发生。令人遗憾的是,目前尚无有效治疗可以降低HFpEF的发生率和死亡率,治疗的主要目的是利尿剂缓解症状,治疗合并症。
针对该患者情况,制定了治疗方案(表2):第1天以缓解症状为主,静脉使用硝酸甘油及呋塞米利尿,同时考虑患者此次合并感染,所以加强了抗感染、平喘和化痰治疗;第4天时停用了甲强龙和安赛玛;在此期间,冠心病治疗(阿司匹林、氯吡格雷、阿托伐他汀、低分子肝素)必不可少,还使用了口服利尿剂、控制血糖药物,另外还有ACEI和β受体阻滞剂,考虑患者有糖尿病病史,而且血糖控制不好,可能存在微血管病变,故加用了尼可地尔;另外,由于患者血压控制不好,在第3天时加用了硝苯地平控释片,同时将比索洛尔剂量由2.5 mg po qd加至5 mg po qd;第6天,心率和血压控制尚可的情况下,将比索洛尔剂量又加至7.5 mg po qd;第6天复查示白细胞降至5.73×109/L,NT-proBNP 900 pg/ml,cTnI 0.23 ng/ml。
表2. 治疗方案

考虑患者基础疾病仍为冠状动脉病变,下一步诊疗方案需解决以下3个问题:①明确患者冠状动脉及桥血管新的病变情况?②若存在新的病变,可否再尝试开通血管?③若病变无加重,如何调整药物方案?
待患者病情稳定后,准备行冠状动脉造影检查。为了明确桥血管开口部位,首先行冠状动脉CT血管造影,结果显示:冠状动脉搭桥术后改变;LIMA-LAD、Aorta-D1、Aorta-RCA管腔通畅,未见明显狭窄闭塞,远端血管显示可;LCX管壁多发钙化斑块,管腔狭窄约80%~90%;左室后下壁心肌密度减低,明显增厚,多考虑陈旧性心肌梗死所致;双侧胸腔积液;主动脉粥样硬化(图3)。

图3. 冠状动脉CT血管造影
进一步行冠状动脉造影示:LAD严重钙化,近中段狭窄约99%,中段闭塞;LCX开口及近段可见钙化,狭窄约95%;RCA开口狭窄80%,中段瘤样扩张,远段次全闭塞。行主动脉至回旋支及后降支,内乳动脉至前降支桥血管造影,均未见明显狭窄(图4)。

图4. 冠状动脉造影
修正诊断
-
冠心病,陈旧性下壁、后壁心肌梗死,冠状动脉搭桥术后,再发非ST段抬高心肌梗死,KillipⅡ级
-
2型糖尿病,糖尿病心肌病,心功能Ⅳ级
-
慢性阻塞性肺病,肺部感染
-
高血压3级,极高危组
调整用药方案
该患者既不能置入支架,也不能再次进行搭桥手术,应该如何处理呢?遵循“大处”着眼,“小处”着手的原则,“大处”即指南,翻阅各大指南,借鉴糖尿病合并冠心病指南指导该患者的治疗。指南要求此类患者血压应控制在<140/85 mm Hg,HbA1c<7.0%,LDL-C<1.8 mmol/L。该患者以上三种指标分别为150/89 mm Hg、8.2%和1.89 mmol/L,为使患者各项指标能够达标,对其用药进行了调整。
用药方案为:降压(培哚普利8 mg po qd、硝苯地平控释片30 mg po qd、呋塞米20 mg po qd、安体舒通20 mg po qd)、控制心率(比索洛尔片7.5 mg po qd)、抗血栓(阿司匹林100 mg po qd、氯吡格雷75 mg po qd)、调脂(阿托伐他汀20 mg po qn)和降糖(二甲双胍500 mg po bid、诺和灵30 R 12 U ih tid、甘精胰岛素10 U ih qn),另外使用尼可地尔5 mg po tid。
值得注意的是,根据指南建议,我们使用了相关药物,但更重要的是如何掌握用药的时机和剂量。在患者住院期间能够耐受的情况下,及时加用β受体阻滞剂,同时不断加大剂量。希望能够使患者心率达标,延长心脏舒张期、增加冠状动脉血供,从而达到心肌供需氧和能量的平衡,改善心绞痛、恶性心律失常和心衰的发生。
1年随访时,患者胸闷、呼吸困难偶有发作,心率70次/分,血压138/70 mm Hg,HbA1c6.6%。复查Holter示:窦性心律,最小心率62次/分,最大心率104次/分,平均心率76次/分。偶发房性早搏74次/全程,成对房早2次。偶发室性早搏90次/全程。监测中未见缺血型ST-T异常改变。患者心率仍未达标,所用β受体阻滞剂仍未达到最佳剂量,遂将比索洛尔剂量加至10 mg qd。
诊疗体会
此病例的主要特点为冠状动脉搭桥术后再发心肌梗死、心衰,同时伴有高血压、糖尿病、COPD、脑梗死等多器官功能障碍。虽然患者基础疾病较多,但最终表现形式为HFpEF。在手术尝试开通病变血管失败情况下,如何调整用药方案更加关键,需要强调用药的时机和靶剂量问题。另外,如何制定最佳的个体化用药方案,提高患者依从性也是医疗服务过程中一个永恒的话题。
评委点评

姜一农 教授
大连医科大学附属第一医院
这是一个能够展示内科医生水平的病例,通过非常仔细和全面的随访以及严格的用药调整,使患者症状缓解,生活质量改善。整个演讲过程表述清楚,口齿伶俐,展示了良好的临床思维及临床基本功,展现了大学附属医院医生的综合能力和个人表达能力。稍有疑议之处有以下几点:最后总结认为该患者是HFpEF,但诊断时将心衰放在了糖尿病诊断中,为什么没单独列出HFpEF诊断?患者此次入院存在两个主要矛盾,一是再发心肌梗死,另一个是心衰,COPD、糖尿病都不是主要矛盾,应该把急性冠状动脉综合征放在第一诊断,HFpEF为第二诊断。治疗方面,我很同意药物使用靶剂量,只是对血压值存在疑议,这例患者冠心病较重,桥血管并未完全开通,舒张压应该稍高一些,因为冠状动脉灌注主要在舒张期,舒张压太低可能会对冠状动脉血流产生影响。我个人认为,舒张压应在75或80 mm Hg以上。另外,该患者已经做了造影,为什么还要再做CT血管造影?冠状动脉造影是观察桥血管较好的方法。血管钙化严重,通过CT血管造影观察血管通畅情况,效果会大打折扣。对于糖尿病患者、钙化较重的患者,最好选择造影。治疗方面,钙通道阻滞剂使用的是硝苯地平,若担心血压降得过低,可不加用硝苯地平,之前使用的几种降压药足以降压。

郭丽君 教授
北京大学第三医院
该患者诊断为心衰,使用硝苯地平应该没有适应证,目前的钙通道阻滞剂中,只有氨氯地平和非洛地平是有适应证的。当然,我们也不反对该患者使用硝苯地平,因为他的射血分数没有受到明显影响。总体来说,心衰患者若使用硝苯地平应予以说明。苗医生报告完病例之后,诊断心衰,然后分析各种原因,其实没有必要,因为患者最初入院是因为急性冠状动脉综合征,已被明确诊断非ST段抬高心肌梗死,从临床思路来说,应首先对急性冠状动脉综合征进行危险分层,分析在不同分层下应如何处理,该患者危险分层可能达到高危,伴有心衰,而且CABG术后,应该先做急诊造影。因为他是一例冠心病患者,做过搭桥,常规会考虑是由冠心病造成的心衰,其他疾病可能仅起到辅助作用。另外,既然已经进行了冠状动脉造影,就要高质量完成,必要时可向上级医生寻求帮助,而不是转而采用CT血管造影补救。

黄峻 教授
南京医科大学第一附属医院
这个病例非常典型,基本病因是急性冠状动脉综合征,这次发作的病因也是心肌缺血、急性冠状动脉综合征,所以高血压和糖尿病可能不是这次发作的主要原因,虽然糖尿病已有14年,但肌酐、蛋白尿都没有明显增加,所以对心肌的影响也不是主要的。这例患者的预后可能较差,因为作为基本病因的急性冠状动脉综合征、冠心病没办法再处理,已做过搭桥,但仍反复发作胸痛,不能再行二次搭桥。处理急性心衰时,使用了甲强龙,其实可能没有必要,因为患者这次发作的主要原因并不是COPD,没有支气管痉挛表现。总之,这是非常典型的以冠心病为主引起的舒张性心衰。

吴平生 教授
南方医科大学南方医院
这是一个很好的病例,优点不再多说,有几处商榷的地方。第一,标题用的是复杂性心力衰竭,心衰分类中并无此诊断,苗医生的意思应该是病因比较复杂,所以改为复杂病因的心力衰竭可能会更妥当。第二,这例患者在急性期使用了双联抗血小板,同时用了低分子肝素,还用了欣维宁,应该在做了造影见到血栓后才使用欣维宁,未造影之前千万不能盲目使用。我曾见过一例未遵循这个原则导致患者出血死亡的病例。第三,之前有个病例有支气管哮喘使用了β受体阻滞剂,这例患者有COPD也使用了β受体阻滞剂,按照指南,COPD不是禁忌证,是相对禁忌证,但支气管哮喘是禁忌证。但现在有些患者哮喘用了β受体阻滞剂反而有治疗效果,但我们还要把握好基本原则。
(来源:《国际循环》编辑部)
版
权
声
明
版权属《国际循环》所有。欢迎个人转发分享。其他任何媒体、网站如需转载或引用本网版权所有之内容须在醒目位置处注明“转自《国际循环》”