小王今年26岁,平素月经不规律,经期腹痛、腹胀逐渐加重,现在尿频、憋不住尿等不适。单位健康查体时向医生诉说了病痛,医生建议其超声检查一下子宫、附件。
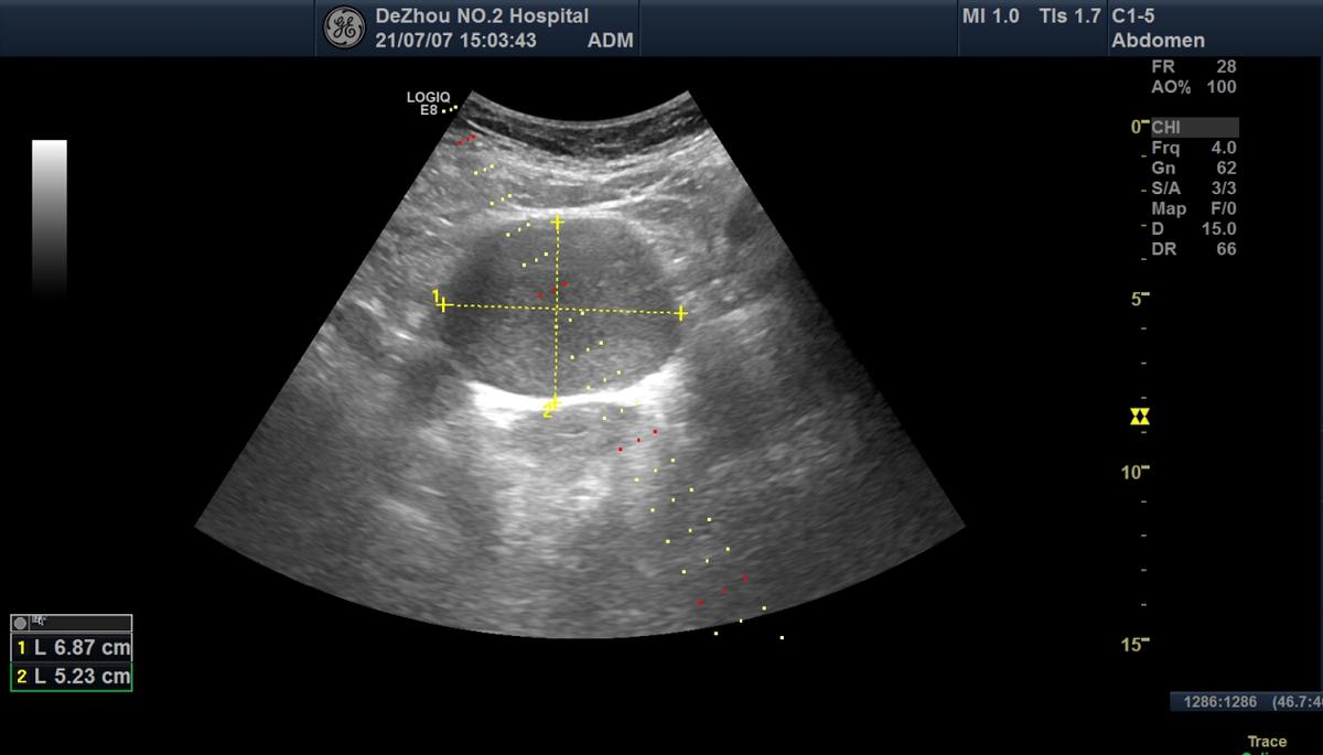
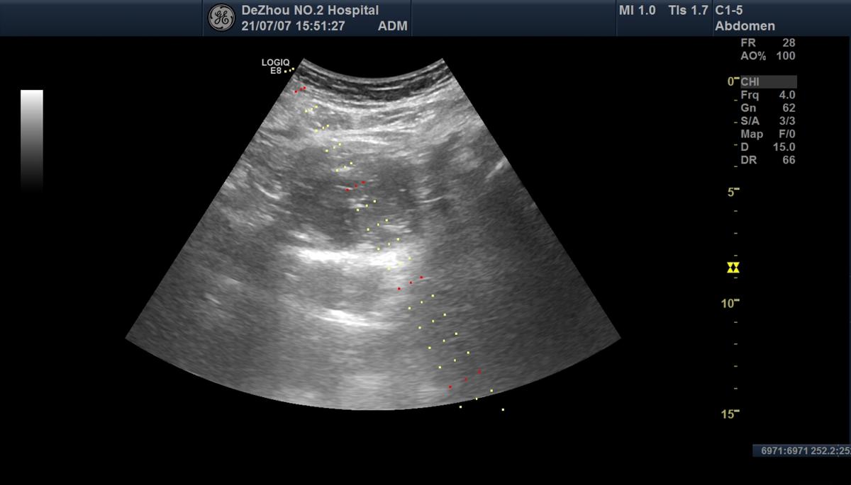
超声检查发现:子宫大小形态及内部回声正常,右侧附件区可见6.9×5.2cm大小的囊性肿物,与右侧卵巢相连,呈圆形,壁厚,表面光滑,内部透声差,可见细密的点状回声,囊内无分隔,后方回声有增强,肿物可随体位移动至膀胱上方。超声提示:右侧卵巢囊性肿物 考虑子宫内膜异位囊肿(巧克力囊肿)。
医生建议:子宫内膜异位囊肿是指功能性的子宫内膜细胞生长于卵巢,伴随生理性月经周期出血、积血而形成囊肿样改变。因囊内陈旧性积血多呈“巧克力样”改变,临床上常称为“巧克力”囊肿。小王生长的囊肿较大且移动范围大,已经出现了经期不适症状、压迫膀胱造成尿频、有囊肿急性扭转的风险。鉴于小王未婚,有形体美和未来生育需求,治疗方式可选用介入超声引导穿刺硬化治疗术或腹腔镜手术。
小王经过慎重考虑,又咨询了在外地当医生的亲戚,决定行介入超声下硬化治疗。

超声医生对小王的卵巢囊肿进行了术前评估,认为符合介入超声引导穿刺硬化治疗适应症。文献报道超声引导下穿刺硬化治疗术有效率93%左右,治愈率90%左右。效果满意。
进入术前准备。
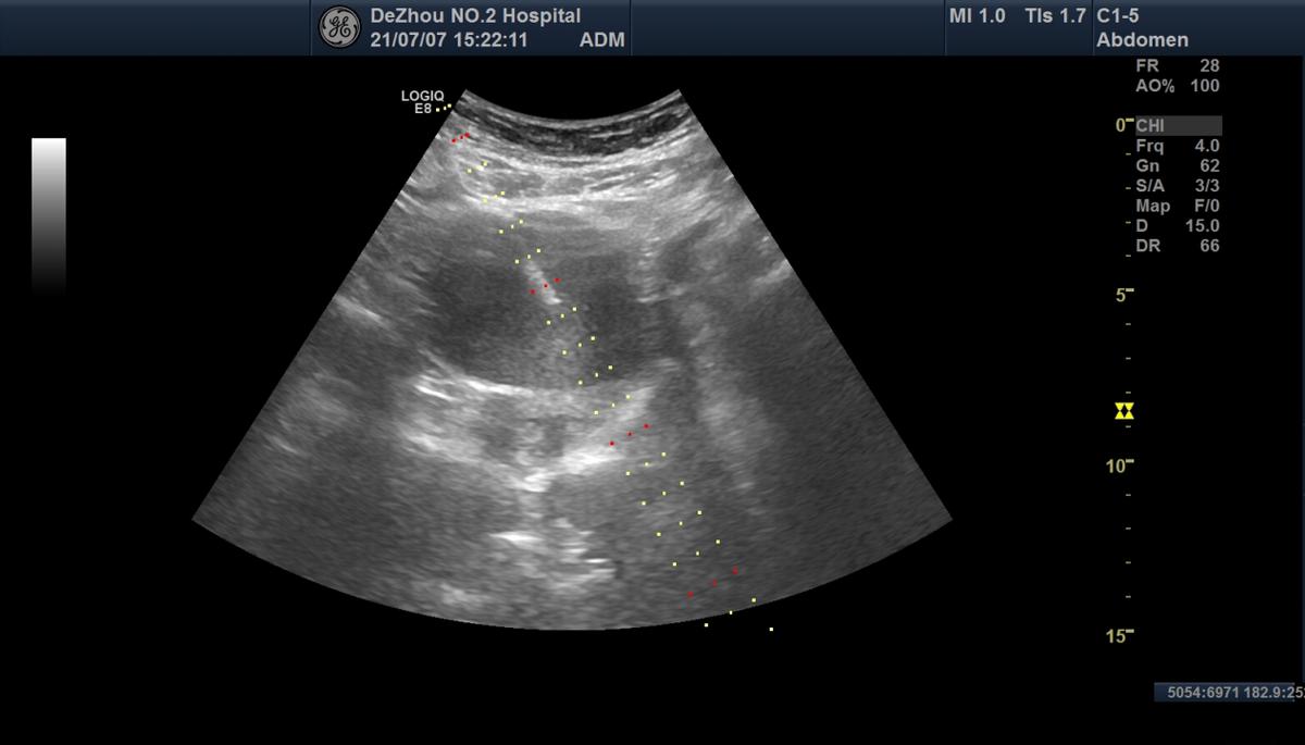
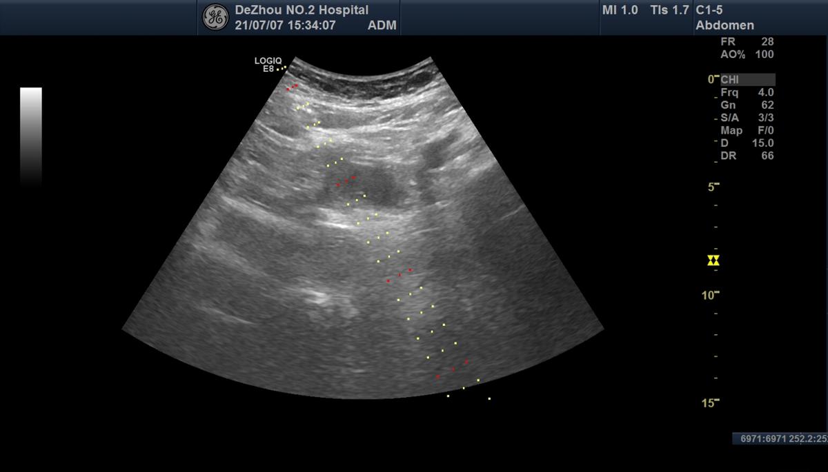
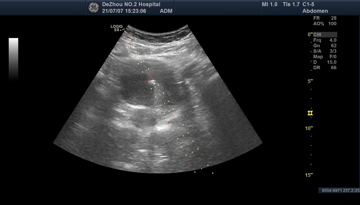
患者仰卧位,彩超扫描下腹部确定穿刺路径,消毒铺巾,安装穿刺引导架,局部麻醉,采用18G PTC穿刺针,经皮肤进入囊肿内,抽出巧克力色粘稠囊液174ml,用0.9%的生理盐水200ml分4次冲洗囊腔至冲洗液清亮,无水乙醇硬化剂50ml注入囊腔内保留(反复抽吸)10分钟抽出。拔针敷贴,治疗结束。
治疗用时36分钟,术中患者无异常不适。术后观察30分钟无异常离院。

超声确定穿刺路径

准备超声引导下穿刺

穿刺针进入巧克力囊肿内

抽吸囊液

抽尽囊液

冲洗囊腔

抽吸出的部分囊液

注入硬化剂

抽出硬化剂
嘱患者回家后适当卧床休息,禁食4小时,1周内清淡易消化饮食,2天内不洗澡,3天内不从事重体力劳动,6个月、12个月来院复查。
《卵巢子宫内膜异位囊肿超声引导穿刺硬化治疗专家共识》指出,“卵巢巧克力囊肿手术治疗是目前常用方法,但存在卵巢组织丢失、卵巢储备功能降低、术后5年复发率高等难点”。“介入超声引导穿刺硬化治疗,是治疗卵巢巧克力囊肿的重要方法,能以最小损伤和代价达到痛经缓解、囊肿消除、生育成功和生活质量改善的效果”。“卵巢巧克力囊肿穿刺硬化治疗丰富了囊肿治疗方法,改善治疗效果,提高患者生活质量”。
《子宫内膜异位症的诊治指南》中指出,“年轻需要保留生育功能的卵巢子宫内膜异位囊肿,可进行手术或超声引导下穿刺术,术后药物治疗或辅助生殖技术治疗”;对于复发性囊肿,“建议首选囊肿穿刺术及辅助生殖技术治疗”。
哪些巧克力囊肿适合超声引导下穿刺治疗?
首先,根据临床、影像学及实验室检查综合判断,符合子宫内膜异位囊肿(巧克力囊肿)诊断标准。


- 囊肿直径>4 cm;不愿或不能再次手术者以及囊肿合并感染者。
- 囊肿直径>4 cm;有生育愿望、备孕或体外受精-胚胎移植(IVF-ET)前,不愿或不能手术者。
- 囊肿直径>4 cm;无生育愿望、不愿或不能手术者。
- 囊肿破裂而生命体征正常者,不愿或不能手术者。
- 囊肿合并妊娠3个月以上,囊肿挤压妊娠子宫、膀胱或结肠等,引起大小便不适等症状和体征者。
哪些巧克力囊肿不适合行超声引导下穿刺治疗?
1、不能排除伴有恶性肿瘤病变的囊肿。
2、无安全穿刺路径,经采取辅助措施后仍不能避开大血管、肠管等重要脏器者。
3、患者一般状况差,不能配合完成穿刺过程者。
4、患者正值月经期、排卵期和(或)正在抗凝药物治疗期间。
5、有严重出血倾向,凝血机制障碍者。
超声引导下穿刺治疗有可能出现哪些并发症?
术中和术后常见的并发症有出血、感染、发热、疼痛、硬化剂不良反应等,一般给予临床观察或对症处理,应用止血药、抗生素、退热药等。
如何评价治疗效果?
术后囊肿大小变化可作为疗效判断依据,囊肿体积缩小率=(囊肿治疗前体积-复查时囊肿体积)/治疗前囊肿体积。
囊肿体积不变或增大为无效;囊肿体积小于原体积1/2为有效;囊肿体积小于原囊肿体积2/3以上为显效;囊肿完全消失为临床治愈。
《卵巢子宫内膜异位囊肿超声引导穿刺硬化治疗专家共识》指出,“在治疗方法的选择上应始终坚持以改善患者的临床结局为中心,仔细权衡,力求个体化、阶梯化、精准化,充分考虑各种方法的不良反应。在此基础上,积极探索和推广介入超声引导穿刺抽液硬化治疗巧克力囊肿的临床应用”。“介入超声引导下穿刺巧克力囊肿抽液硬化剂治疗作为局部治疗方法之一,具有微创精准、简便安全、成本低、恢复快的优势,在巧克力囊肿治疗中可以发挥重要的治疗作用”。
作者单位:德州市第二人民医院 石洪柱 赵维勇 李爱华 杨伟伟 王雪莹